Patients who have neurotrophic keratopathy (NK) often present when a small epithelial defect has worsened or become infected because these patients lack the corneal sensation to present in a timely manner. Such cases emphasize the importance of sensory nerves to the health of the cornea and the downward cycle from the inability to heal. The ocular surface relies on corneal hemostasis, based on the corneal nerves, sensory-mediated reflexes, and production of trophic factors to preserve its integrity.
The prevalence of NK is estimated at 1.6 to 4.2 cases per 10,000, but due to underdiagnosis, this number is likely higher.1,2 The etiology of NK is infectious, especially herpetic keratitis, but it also includes prior ocular surgery, ocular surface burns, drug toxicity (as seen with glaucoma drops, for example), and chronic ocular surface injury, including dry eye disease and contact lens wear. Additionally, certain ailments, such as corneal dystrophies, diabetes, nervous system disorders (e.g. Parkinson’s disease), and genetic conditions, such as Mobius syndrome, can also cause NK.3 Often, there is an overlap of etiologies. NK presents a particular challenge in patients due to its diverse range of clinical presentations and the classic limitations to treatment.
Signs and Symptoms
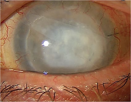
The Mackie classification system is used to stage NK, based on severity (see Table 1). When one thinks about NK, he or she usually thinks about stage 2 disease, which presents as an ulceration. This clinical appearance of a nonhealing epithelial defect, due to lack of corneal nerves, is unique. The trophic ulcer presents with gray, thickened borders and heaped-up epithelium at the edges, which is unable to move across the ulcer base. These ulcers may have a triangular or ovoid appearance with rolled edges (see stage 3 disease in Table 1).
| STAGE | SIGNS |
|---|---|
| 1 | Dry corneal epithelium Superficial punctate keratopathy Corneal edema Cloudy epithelium |
| 2 | Recurrent epithelial defect, oval or circular |
| 3 | Corneal ulcer with stromal involvement Stromal melting Corneal perforation |
However, it is important to recognize signs at stage 1, prior to the presentation of a true epithelial defect, so doctors can intervene earlier to prevent the condition from worsening. Signs of stage 1 are corneal epitheliopathy, scattered facets of dried epithelium, and superficial punctate keratitis. The NK diagnostic clincher is that these findings exist with little to no symptoms of ocular discomfort. This “stain without pain” situation is underrecognized, leading to its underdiagnosis, as NK patients may present with complaints of blurry vision without any symptoms that match the clinical findings during the exam.
For this reason, all patients who have ocular surface changes should be checked for corneal sensation. In our practice, for example, all patients, including cataract and cornea evaluation patients, undergo topography with careful examination of the mires. Any abnormality signifies a stop to the clinic, and the eyecare provider comes to examine the patient. In addition, no cornea patient receives eyedrops prior to seeing a provider, so sensation can be checked and appropriate corneal diagnostic testing, such as tear osmolarity (TearLab), matrix metalloproteinase 9 testing (InflammaDry, Quidel), meibography, or topography, may be considered.
Cornea sensation can be checked with a tissue or cotton swab or quantitatively with Cochet-Bonnet testing. In my clinic, checking both corneas with a tip of cotton swab and asking for patient feedback seem adequate for most patients.
Latest Treatments
Although NK is a frustrating disease, the good news is that there have been advances in NK treatment options. Treatment is available topically, via in-office procedures and surgical options (see Table 2 for a full list).
| TOPICAL | IN-OFFICE PROCEDURES | SURGERY |
|---|---|---|
| Oxervate | Therapeutic contact lenses | Tarsorrhaphy |
| Serum tear drops | Scleral lenses | Sutures/glued amniotic membrane transplants |
| Antibiotic drops | Punctal occlusion | Conjunctival flap |
| Steroid drops | Nonsurgical eyelid closure | Direct neurotization |
| Tear substitutes | In-office amniotic membrane | N/A |
• Plasma tears
Autologous serum eyedrops are utilized for a myriad of ocular surface disorders, such as severe keratoconjunctivitis sicca, graft-versus-host disease, chronic stromal herpetic keratitis, Stevens-Johnson syndrome, and ocular surface burns, as well as a multitude of other conditions. Human serum is similar in pH and osmolarity to human tears and provides components, such as vitamin A, fibronectin, epidermal growth factor, and transforming growth factor, which can help to heal the ocular surface.4 These components of serum may have anti-inflammatory properties that allow for improved healing of the ocular surface. One study shows an improvement in NK signs and symptoms in 68% of subjects.
• Contact lenses
Although contact lenses can be a cause of NK, they can also be a treatment option in that soft bandage lenses can act as a barrier and promote healing. That said, they may cause long-term issues, such as infection, due to overnight wear. Scleral lenses, in contrast, can be used to promote more rapid healing and offer a long-term treatment option. Several studies show that overnight scleral lens wear is a way to heal epithelial defects, along with concurrent antibiotic drops in the contact lens reservoir. Additionally, once the cornea heals, scleral lenses can act as a protective mechanism to prevent future complications from NK, such as current infections and stromal scarring. A caveat: If any epithelial defect is not noted by the patient, it could result in infection or even corneal perforation in the setting of scleral lenses.
• Amniotic membrane
Amniotic membranes (AMs) have been used for decades for in-office and surgical treatment of conditions of the ocular surface, such as dry eye disease. The membrane comprises three layers: epithelium, basement membrane, and stroma. It has anti-inflammatory and antimicrobial properties and low immunogenicity, which can be beneficial to the eye. The DREAM study shows its use in dry eye disease in a variety of conditions, including NK.5 When used as a graft, an amniotic membrane provides a scaffold for re-epithelialization.
In-office use includes freeze-dried AM or fresh AM on a symblepharon-like ring. These in-office AMs can be quickly accessed but may not provide lasting effects to heal the epithelium all the time. Surgical options include the use of a fresh AM, which can be sutured or even glued. Multilayered AM can be used in an inlay technique or even to fill in areas of deep corneal defects. I often utilize AMs in the clinic first, followed by surgical placement of AM in conjunction with tarsorrhaphy or a scleral contact lens.
• Tarsorrhaphy
Mother nature’s best barrier is, in fact, the eyelid. Tarsorrhaphy is an excellent way to heal a cornea that has a nonhealing epithelial defect, regardless of the etiology. However, tarsorrhaphy is often not a cosmetically acceptable long-term option for patients.
• True nerve regeneration
In 2018, Oxervate 0.002% (cenegermin-bkbj, Dompé) was FDA approved in the U.S. for the treatment of NK. Oxervate is recombinant human nerve growth factor (NGF) utilized in one drop in the affected eye six times per day for 8 weeks. NGF is an endogenous protein found in human tears, and it is involved in stimulating the regeneration and survival of cornea sensory nerves. In addition, NGF promotes sensory-mediated reflex tearing and stimulates differentiation and survival of corneal epithelial cells.
One study showed that 69.6% of patients who used Oxervate achieved less than 0.5 mm of lesion staining at 8 weeks, compared with 29.2% who used a placebo treatment.
Additionally, 80% of patients who had complete healing of the cornea in the 8-week period remained healed at 48 weeks after treatment.6
• Direct neurotization
Neurotization transfers a healthy donor nerve segment to tissue to re-establish either motor or sensory innervation. In corneal neurotization, a donor nerve segment is used to provide nerve function for the cornea. Direct neurotization most frequently utilizes the supraorbital and supratrochlear branches of the frontal nerve, while indirect approaches utilize the sural nerve. The surgery involves a multispecialty approach.
Diagnostic Diligence
Early recognition of NK in patients is the key to better outcomes, especially as new treatments become available. In fact, one study shows that advanced presenting stage, diminished corrected distance visual acuity, and advanced aged are correlated with a worse final outcome.7 The treatment options mentioned above have been shown to help these patients, with Oxervate and corneal neurotization addressing the condition’s pathology, providing an attractive long-term solution. CP
References
- Mastropasqua L, Massaro-Giordano G, Nubile M, Sacchetti M. Understanding the pathogenesis of neurotrophic keratitis: the role of cornea nerves. J Cell Physiol. 2018;232(4):717-724.
- Sacchetti M, Lambiase A. Diagnosis and management of neurotrophic keratitis. Clin Ophthalmol. 2014;8:571-579
- Dua HS, Said DG, Messmer EM, et al. Neurotrophic keratopathy. Prog Retin Eye Res. 2018;66:107-131.
- Rauz S, Koay SY, Foot B, et al. The Royal College of Ophthalmologist guidelines on serum eye drops for the treatment of severe ocular surface disease: full report. Eye (Lond). 2017;32(1):44-48.
- McDonald MB, Sheha H, Tighe S, et al. Treatment outcomes in the Dry Eye Amniotic Membrane (DREAM) study. Clin Ophthalmol. 2018;12:677-681.
- Pflugfelder SC, Massaro-Giordano M, Perez VL, et al. Topical recombinant human nerve growth factor (cenegermin) for neurotrophic keratopathy: a multicenter randomized vehicle-controlled pivotal trial. Ophthalmology. 2020;127(1):14-26.
- Saad S, Abdelmassih Y, Saad R, et al. Neurotrophic keratitis: Frequency, etiologies, clinical management and outcomes. Ocul Surf. 2019 Nov 20. [Epub ahead of print]







