Our patient was a 44-year-old African-American male with a past medical history of hypertension and a past ocular history of bilateral congenital cataracts status post cataract extraction with insertion of IOL OU in 2002, trauma with posterior dislocation of his posterior chamber IOL (PCIOL) OS in 2016. This required pars plana vitrectomy/lensectomy (PPV/PPL) and endo-panretinal photocoagulation (PRP) with decision to leave him aphakic OS. He re-established care with ophthalmology in 2021 with 1 year of decreasing vision OD as well as increased floaters associated with flashes for 3 months.
WORK-UP AND DIAGNOSIS
Examination of our patient revealed the following:
- Distance VA without correction: 20/60 PH 20/50 OD, 20/200 PH NI OS
- Pupils: Minimally reactive surgical pupil with no APD OD, 9 mm fixed and dilated pupil OS
- IOP (applanation): 17 mm Hg OD, 20 mm Hg OS
- MRx: -2.25 sphere OD | -2.75 sphere OS
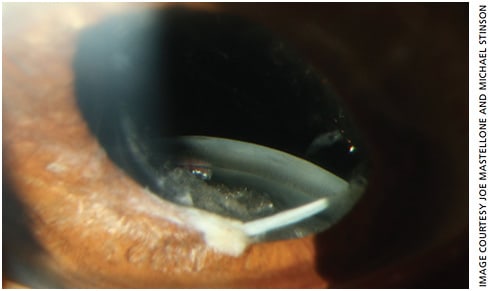
Slit lamp exam was notable for iris atrophy and transillumination defects from 10-3 o’clock OD. Downward gaze by the patient revealed a complete inferior dislocation of the posterior chamber IOL OD (Figure 1).
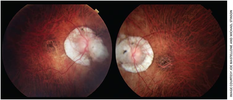
Dilated fundus exam was notable for myopic degenerative changes including 360° of scleral crescent, RPE atrophy, posterior staphyloma and lacquer cracks bilaterally; 360° lattice of both eyes with no holes, tears or detachments (status post PRP OS) (Figure 2).
Due to his clinical exam findings, we obtained the following imaging:
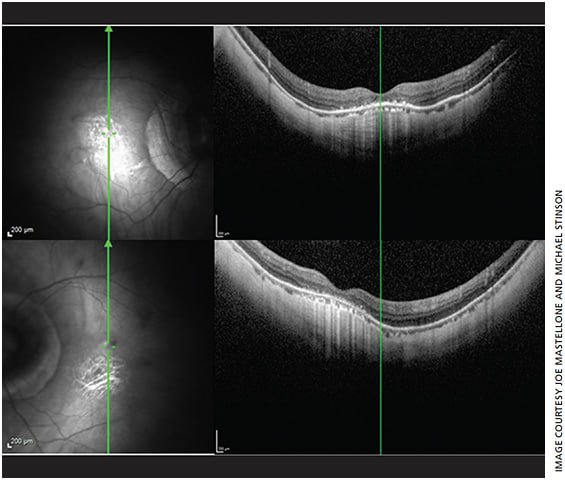
- OCT of the macula revealed multiple degenerative changes consistent with pathologic myopia (Figure 3). OCT of the optic nerve was not able to be interpreted due to the extent of the scleral crescent.
Figure 3. SD-OCT images of the right (top) and left (bottom) maculae exhibiting dome-shaped configuration adjacent to posterior staphyloma and peripapillary atrophy. Presence of choroidal thinning, outer segment atrophy, mild RPE atrophy and foveal exudates are consistent with diagnosis of pathologic myopia. Image taken with a Heidelberg Spectralis. - Given combination of a subluxated IOL and myopic stigmata in the posterior segment, we diagnosed our patient with spontaneous IOL subluxation OD secondary to zonular insufficiency from pathologic myopia.
IOL DISLOCATION AND PATHOLOGIC MYOPIA
Insufficient zonular support is a well-known cause of dislocation or decentration of IOL after uncomplicated cataract surgery (0.19-3%). Various methods exist to recenter or reposition a dislocated IOL. Severe intracapsular dislocation in the setting of zonular instability may be managed with haptic fixation to the sclera, including scleral suture fixation, Yamane technique and glued IOL. Complete dislocation of the PCIOL requires PPV/PPL to retrieve the lens/capsule complex with the goal of either removal or fixation to sclera.1
The rate of IOL dislocation is increased in patients with high or pathologic myopia due to zonular instability.1 Components of pathologic myopia include high myopia (> -6.00 D or AL >26.5), diffuse/patchy chorioretinal atrophy, lacquer cracks, CNV, posterior staphyloma, lattice degeneration, zonular instability and thinning of the sclera/choroid/retina.2 These components must be taken into account when attempting to devise a safe and effective surgical plan.
BACK TO OUR PATIENT
This patient was evaluated by a cornea specialist who performed IOLMaster (Zeiss) measurement, which revealed long axial lengths (AL) of 31.8 mm OU, and IOL calculation for scleral-fixated sutured IOLs were found to be -4.00 sphere, a power not readily available on the commercial market. The decision was made that the patient would be best left aphakic not only due to unavailability of appropriate lenses but also due to surgical risks associated with his pathologic myopia. The surgical complication rate has previously been shown to increase 1.22-fold for every 1.0-mm increase in AL.3 Associated scleral thinning may lead to difficulty securing scleral-sutured IOLs by both the double-fixation technique with Gore-Tex sutures and with the Yamane technique due to suture breakage and/or erosion and difficulty performing partial-thickness scleral passes.1 Associated lattice and vitreoretinopathy confers higher risk of retinal tear or detachment during surgery. IOL placement in patients with AL of greater than 29 mm is associated with a 1.3-8% risk of retinal detachment and AL greater than 30 mm with 1.1% risk of retinal break.4
Furthermore, our patient’s clinical exam suggested that maculopathy would inherently limit his refractive potential; maculopathy has previously been suggested to be the strongest limiting factor of best-corrected visual potential in patients with pathologic myopia.5 The presence of maculopathy, staphyloma and elongated AL of 31.8 mm limit the patient’s refractive potential, increase his risk of hyperopic surprise and decrease the reliability of AL measurements.4 It was inferred that this was why the patient had been previously left aphakic OS after his prior IOL dislocation and subsequent PPV/PPL/endo-PRP OS.
Our patient was ultimately referred to a retinal specialist, who performed a scleral depressed exam confirming absence of retinal holes, tears or detachments. The decision was made to perform PPV/PPL/endo-PRP OD with plans to leave the patient aphakic. Patient’s residual myopia (less than -3.00 D sphere in each eye) will be corrected with spectacles. OM
REFERENCES
- American Academy of Ophthalmology. Section 11: Lens and Cataract. Postoperative IOL Complications. In: Basic and Clinical Science Course, 2020-2021. American Academy Of Ophthalmology; 2020:187-192.
- Ohno-Matsui K, Lai TYY, Lai C-C, Cheung CMG. Updates of pathologic myopia. Prog Reti Eye Res. 2016;52:156-187.
- Fesharaki H, Peyman A, Rowshandel M, et al. A comparative study of complications of cataract surgery with phacoemulsification in eyes with high and normal axial length. Adv Biomed Res. 2012;1:67.
- McCarty CA, Livingston PM, Taylor HR. Prevalence of myopia in adults: implications for refractive surgeons. J Refract Surg. 1997;13:229-234.
- Akar S, Gok K, Bayraktar S, et al. Phacoemulsification in high myopia. Saudi Med J. 2010;31:1141-1145.







