Case Study
The Use of NSAIDs Pre- and Postop in Treating CME
BY STEVEN M. SILVERSTEIN, M.D.
A 74 year-old male with a 15 year history of non-insulin-dependent diabetes presented for a routine cataract procedure. There were no intraoperative complications and he did very well post-procedure. At the time of his 1-month postoperative exam, his vision had declined to 20/70. Optical coherence tomography (OCT) revealed classic cystoid macular edema (CME).
Treatment
The patient was treated with prednisolone acetate and ketorolac tromethamine 0.4% (Acular LS, Allergan) q.i.d. He returned in 4 weeks, at which time his vision had improved to 20/25. He was instructed to taper his medications. However, he discontinued them on his own when he felt that his vision had recovered to its baseline. Three weeks later, the patient returned emergently, as the CME had recurred and his vision had decreased to 20/60. He was placed again on 1% prednisolone and ketorolac 0.4% q.i.d., returning 4 weeks later showing no evidence of CME on OCT, with 20/20 visual acuity (VA).
Highlighting the important points of this case, the patient developed CME 1 month after uncomplicated cataract surgery. He is diabetic, but is well-controlled, with no history of diabetic retinopathy. Over the past several years, the role of topical NSAIDs for the treatment and prevention of perioperative CME has become better understood.
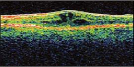
Figure 1. Typical cystic spaces confirming the diagnosis of CME (abnormal).
Figure 2. Normal macular anatomy showing the healthy foveal concavity and no evidence of edema or cystic changes (normal).
Using NSAIDs Pre and Postop
I had the opportunity to be involved in the largest NSAID/cataract patient study to date, lead by John Whittpenn, Jr., M.D. The study, entitled A Masked Comparison of Ketorolac 0.4% Plus Steroid vs. Steroid Alone for the Prevention of Macular Leakage in Cataract Patients1 was first revealed at the 2006 annual meeting of the American Academy of Ophthalmology.
The study was a randomized, investigator-masked, multicenter clinical trial and examined 546 patients without any known risk factors for CME undergoing routine cataract surgery, similar to the previously mentioned case. Patients were randomized to 1 of 2 groups: Group 1 received preop and postop ketorolac 0.4% plus postop steroids. Group 2 received steroids only postop. Outcome measures included comparison of OCT changes, final VA, contrast sensitivity and adverse events.
Data analysis focused on three important conclusions: first, the OCTs were evaluated by a masked retinal specialist with extensive experience interpreting OCT data. Patients were graded as having definite or probable CME at the 1 month visit. No patient in group 1 (the group receiving ketorolac 0.4% and steroid) had CME. In group 2 (steroid alone), 2.4% of patients had definite or probable CME at the 1 month visit. Second, patients in group 1 were significantly less likely to develop any retinal thickening during the postop period and were more likely to have a better outcome as measured by both VA and contrast sensitivity. Finally, data from the study demonstrated that retinal thickening of more than 10 µm significantly affected visual function as measured by contrast sensitivity. It also showed a strong trend toward a significant reduction in VA.
| The use of perioperative NSAIDs should become the standard of care. |
Eric D. Donnenfeld, M.D.,2 and colleagues, conducted a study in which they assessed the clinical benefit, relative efficacy and pharmacokinetic-response curve of preop and postoperative ketorolac 0.4% to improve outcomes during and after cataract surgery. One hundred patients were randomized in a double-masked fashion to 4 groups of 25 to receive a placebo or ketorolac 0.4% for 3 days, 1 day or 1 hour before phacoemulsification.
All treatment groups received ketorolac 0.4% for 3 weeks postop. Outcome measurements included: preservation of preoperative mydriasis, phacoemulsification time and energy, operative time, corneal clarity, endothelial cell counts, postoperative inflammation, intraoperative and postop discomfort, complications and incidence of clinically significant CME.
Maintenance of pupil size with 3 day preop ketorolac 0.4% dosing was significantly better than with 1 day preop dosing, which was significantly better than with 1 hour or placebo dosing. No patient receiving ketorolac 0.4% for 1 or 3 days preop developed CME compared with 12% of patients in the placebo group and 4% in the 1 hour group. Three day and 1 day dosing of ketorolac 0.4% reduced surgical time, phacoemulsification time and energy and endothelial cell loss and improved VA in the immediate postoperative period compared with 1 hour pre-dosing and placebo. The study concluded that preop use of ketorolac 0.4% for 3 days or 1 day provided optimum efficacy and superior outcomes compared to 1 hour pretreatment or placebo.
Conclusion
My colleagues and I concluded that ketorolac 0.4% should be used routinely in all cataract patients to maximize the final visual result and minimize the risk of CME. It is very important to note that these results should not be automatically applied to all other NSAIDs. Each agent has distinct differences. While the study has shown that ketorolac 0.4% is highly successful in achieving the desired outcome for cataract patients, similar large randomized studies should be done with the other NSAIDs before attributing similar properties to them.
Our understanding of the importance and relationship among subclinical CME, contrast sensitivity, VA and patient function/satisfaction is still relatively in its infancy. However, the overwhelming sentiment suggests, especially in this era of premium presbyopic and aspheric IOLs, that the use of perioperative NSAIDs should become the standard of care.
As our research demonstrates, with a deeper understanding regarding the role of macular thickening, even in the absence of CME as it pertains to visual function, this class of medications will continue to become more invaluable as a routine surgical tool.
References
1. Wittpenn Jr., JR, Silverstein SM, Hunkeler JD, et al. A masked comparison of Acular LS Plus steroid vs. steroid alone for the prevention of macular leakage in cataract patients. Poster presented at: The Annual Meeting of the American Academy of Ophthalmology; November 12, 2006; Las Vegas, Nev.
2. Donnenfeld ED, Perry HD, Wittpenn Jr., JR, et al. Preoperative ketorolac tromethamine 0.4% in phacoemulsification outcomes: pharmacokinetic-response curve. J Cataract Refract Surg. 2006; 32:14741482.
|







