Spotlight ON TECHNOLOGY & TECHNIQUE
The Spectralis Combines OCT and Confocal Laser Angiography
By Leslie Goldberg, Associate Editor
The Spectralis HRA+OCT
(Heidelberg Engineering, Vista, Calif.) provides clinicians with unprecedented detail of the structure of the retina and detects previously unrecognized structures. This spectral-domain optical coherence tomograph combines OCT imaging with confocal laser angiography. The device captures more than one view, combining high-resolution cross-sectional images of the retina with any of these imaging modalities: fluorescein angiography, indocyanine green angiography, autofluorescence, red-free or infrared. One device can now be used to track the early, middle or late stages of a disease with patients sitting at a single station, says the company.
Speed and Capturing Abilities
The Spectralis SD-OCT scans the retina 100 times faster than time-domain OCT. This spectral-domain system scans the retina at 40,000 scans per second, creating highly detailed images of the structure of the retina.
The ability to scan images at 40 kHz helps reduce eye movement artifacts and increases patient comfort, providing cleaner images that what can be obtained from other OCTs, says Heidelberg. TruTrack image alignment technology provides eye tracking and guiding of the SD-OCT. This feature aligns images in the same exam and finds the same location in subsequent exams to track subtle changes over time.
"I am particularly impressed with the ability of Spectralis to detect subtle findings," notes Jeffrey Heier, M.D., staff vitreoretinal specialist, Ophthalmic Consultants of Boston, and president, Center for Eye Research and Education Foundation, Boston. "Compared to time-domain OCT, the images show increased resolution across all retinal layers, especially at the RPE where subtle differences are especially meaningful.
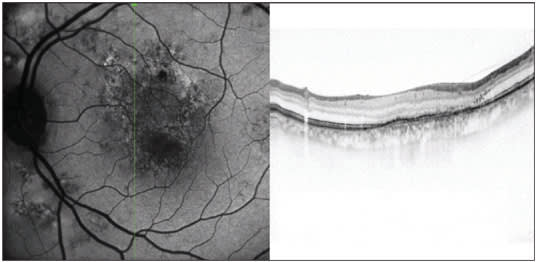
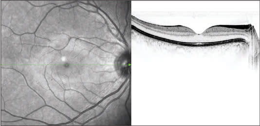
"Three-D volume scans are helpful for identifying pathology in suspicious areas," he continues. "Volume scans are a series or stack of parallel B-scans, which are aligned to one of the instrument's reference fundus images, such as infrared or autofluorescence. If a suspicious area is seen, I can literally page through the B-scans to look for any signs of pathology. (Figures 1 and 2)
Figure 1. This reflectance image from the Spectralis is an example of simultaneous imaging.
PHOTOS COURTESY OF HEIDELBERG ENGINEERING
"Not having had previous experience with laser angiography, I was surprised with the excellent quality of fluorescein images," adds Dr. Heier. "The combination of autofluorescence, fluorescein angiography and spectral-domain OCT volume scans in one instrument lessens the likelihood of missing pathology."
Imaging and Viewing Options
With Heidelberg Engineering's TruTrack imaging alignment technology, the reference scan and cross-section are captured simultaneously, creating an accurate, reliable reference point for both the location and the eye movement correction of the cross-sectional scan. The reference image can be a fluorescein angiogram, an indocyanine green angiogram, an infrared image, a fundus autofluorescence image or a red-free image.
The different viewing options enable users to select the modality that best suits each patient's pathological situation. The options include:
■ Color modes (red and blue). Images can be displayed in multiple viewing options, including both red (enhanced view of intra- and subretinal layers) and blue (enhanced detail around the RPE) scale color modes.
■ Grayscale modes (positive and negative). These images offer greater detail for the experienced user.
■ 3-D Viewing. 3-D modeling capabilities create detailed 3-D volume scans, with the ability to glide through the 3-D model from any direction.
Operator Independence
Dr. Heier says it is extremely important that the device be operator-independent. "Reproducibility is critical to evaluating disease progression and/or treatment responses. The Stratus (Carl Zeiss Meditec, Dublin, Calif.) depends on the photographer's ability to manage the patient and obtain the appropriate image," he says.
Figure 2. This figure shows an autofluorescence reflectance image with CNV and choroidal hemangioma.
"The Spectralis is operator-friendly and easily learned," Dr. Heier continues. "The speed with which OCT images are obtained significantly aids the photographer, especially with difficult patients. Therefore, high-quality images are easily obtained with a moderate amount of training."
Image With Confidence
"Simultaneous imaging and volume scans allow the clinician to directly evaluate specific areas with confidence that abnormalities have been isolated or ruled out," says Dr. Heier. "In addition, true registration of particular areas allows the clinician to re-examine the same area from visit to visit with confidence that any changes are real, and not simply the result of shifting the scan location or patient movement." OM
For more information about the Spectralis HRA+OCT, visit Heidelberg Engineering's Web site at: http://www.HeidelbergEngineering.com.







