STRATUS OCT: RETINAL IMAGING AND ANALYSIS
What OCT Sees in the Posterior Segment
An updated look at the integral role of Stratus OCT in clinical practice.
By Peter K. Kaiser, M.D.
Posterior segment OCT imaging has become an important and, in many ways, indispensable tool for both general ophthalmology and vitreoretinal practices. In my retinal practice, I rely on the capabilities of the Stratus OCT system to help me make treatment decisions and manage patients in a wide range of conditions. It is particularly helpful with:
■ Any form of macular edema
■ Central serous retinopathy
■ Epiretinal membranes
■ Macular holes
■ Pseudoholes
■ Lamellar holes
■ Choroidal neovascularization (CNV).
OCT's role in the management of CNV due to age-related macular degeneration (AMD) has dramatically increased with the advent of treatments that target vascular endothelial growth factor (VEGF).
It is possible to perform several different scan types with the Stratus OCT instrument. Personally, I prefer the Cross Hair scan for obtaining a histopathologic view. It provides both horizontal and vertical high-resolution images. Along with the Cross Hair Scan, I obtain a Fast Macular Thickness Map. It provides an overall topographic view of what is occurring in the retina, which is useful for planning and monitoring treatments.
The Cross Hair scan reveals several important characteristics relevant to diabetic macular edema (DME), which is the condition we explore first here.
The most common characteristic associated with DME on OCT is sponge-like swelling. In its presence, OCT shows a blunted foveal depression and darker outer retinal layers.

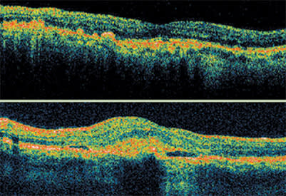
These scans show Stratus OCT images before and after laser treatment for diabetic macular edema. After treatment, the foveal depression returns and the outer retinal layers return to a more normal linear appearance. The outer layers are also less dark, indicating improvement in the sponge-like swelling.

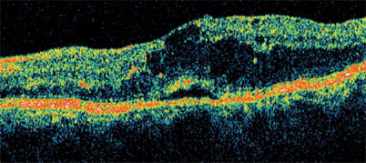
Laser treatment becomes less effective when cysts are present, as in this case of diabetic cystoid macular edema.
Another characteristic that we look for in DME is the presence of cysts. When cysts develop in the macula, laser treatment becomes less effective. Steroids or anti-VEGF agents are usually a better treatment choice. Over time, cysts coalesce and become larger and larger. The larger they become, the less likely it is that treatment will improve visual acuity, even when the retinal anatomy is normalized.

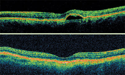
Diabetic macular edema with serous retinal detachment responds very well to treatment with steroids.

Using the Stratus OCT is an excellent way determine that subclinical posterior hyaloid traction is the cause of tractional retinal detachment and diabetic macular edema. Note the tent-like appearance of the tractional retinal detachment. Surgery is the best treatment choice.
The Stratus OCT is also useful for visualizing the several types of retinal detachments associated with DME. Serous detachments, which appear more concave in shape, generally respond well to steroid treatment. However, tractional retinal detachments, which have a tent-like appearance, do not respond to medical therapy. For any improvement to occur, the hyaloid must be surgically removed.
Stratus OCT high-resolution imaging is a reliable way to plan surgery for epiretinal phenomena, such as macular hole, lamellar hole or pseudohole. It clearly shows the full-thickness defect of a macular hole, the anvil-like appearance of a lamellar hole and the blunting of the reflex with a pseudohole. A pseudohole can be due to an epiretinal membrane, which is visible on OCT. Also, a sharp demarcation to the fovea is indicative of a pseudohole.

Stratus OCT images clearly show the full-thickness defect of a macular hole, the anvil-like appearance of a lamellar hole and the blunting of the reflex with a pseudohole. In contrast, on clinical observation and in red-free images, the three conditions look very similar.

A stage 1 macular hole is not a full-thickness defect, as this image shows.

Stratus OCT shows the opening in this stage 2 macular hole.

Stage 3 macular holes are full-thickness defects.

As seen here, stage 4 macular holes are full-thickness and the hyaloid is not attached. In some cases, the hyaloid may be outside the OCT image.
Distinguishing between the three types is difficult with red-free images and clinical observation because they all tend to look as if they are full-thickness defects. Only full-thickness holes require surgery. However, surgery may be performed if an associated epiretinal membrane is present.
The Stratus OCT is useful in staging macular holes. For example, stage 1 holes are not full-thickness and usually resolve on their own. A hole that is not full-thickness but has an opening in it is a stage 2 hole. At this stage, treatment is generally peeling of the hyaloid with gas bubble.
Stage 3 holes are full-thickness. Stage 4 holes are full-thickness without the hyaloid being attached. In both cases, peeling the internal limiting membrane increases the closure rate. In some cases, whether a hole is stage 4 is not evident because the hyaloid can be outside the OCT image.
For the general ophthalmologist, the Stratus OCT aids in the decision to refer a patient for treatment of wet AMD. It clearly shows the difference between drusen and CNV; therefore, it can be used to detect conversion from dry to wet disease. Early referrals are more important than ever because we now have treatments that can actually improve vision in some patients.
When I see drusen, perhaps a "lumpy-bumpy" fovea but no hemorrhage, and a patient is complaining of metamorphopsia, my first step is to image with OCT. I look at those results before deciding whether I need a fluorescein angiogram (FA). When we think subtle fluid is present but we are not sure, imaging with OCT can tell us with certainty.

The difference between drusen and CNV is clearly delineated with the Stratus OCT. Therefore, for the general ophthalmologist, it is a useful tool for deciding when to refer for treatment a patient whose dry AMD has progressed to neovascular disease.

In this patient with a pigment epithelial detachment and cystic changes, FA showed a minimally classic retinal angiomatous proliferation lesion. OCT confirmed that re-treatment was not necessary.

The appearance of a tear in the RPE. The adjacent "scrolling" of the RPE and an area of its absence are also visible.

In this patient with a pigment epithelial detachment and cystic changes, FA showed a minimally classic retinal angiomatous proliferation lesion. OCT confirmed that re-treatment was not necessary.

This patient received five treatments with pegaptanib sodium (Macugen), but active disease remained. Following treatment with bevacizumab (Avastin), vision and appearance of the retinal anatomy on OCT improved, but some fluid still remained. Treatment with ranibizumab (Lucentis) further improved vision and led to resolution of the retinal fluid. The patient is now being followed with OCT as the sole imaging modality.
In addition to serving as proxy for FA in determining if fluid/leakage is present, the Stratus OCT is multifunctional in the management of AMD. It:
■ Delineates anatomy in equivocal cases with FA and in cases with dense media opacity
■ Is effective for longitudinal monitoring of patients with active disease
■ Determines the need for re-treatment with anti-VEGF therapy.
In addition, the technology allows the physician to see tears of the retinal pigment epithelium (RPE) and is more sensitive than biomicroscopy for detecting subtle neurosensory and pigment epithelial detachments.
It is important to note that the Stratus OCT's automated algorithms should not be used for AMD. AMD complicates proper detection of the retinal boundaries. The new version of the software, version 5, is scheduled for release soon, and it makes improvements in this area. The operator will be able to redraw the white lines, and the analysis will adjust accordingly.
As a retinal specialist, I use the Stratus OCT in AMD to determine if fluid is present in the retina. That tells me if the disease is active and requires additional treatment or if I can simply continue to follow a patient. This is especially true in the case of anti-VEGF therapies.

The Stratus OCT continued to detect AMD disease activity after the patient was treated with PDT and bevacizumab. After one injection of ranibizumab, OCT showed a normal retinal appearance and vision improved to 20/30.
According to what is emerging as the standard practice, I re-treat whenever any one of the following criteria is met since the patient's last visit:
■ Decreased vision with increase in retinal thickness
■ Increased retinal thickness > 100 μm
■ Increase in cystoid spaces
■ Increased subretinal/sub-RPE fluid.
Given the utility of the Stratus OCT, a question that arises is if it can replace other imaging modalities in the management of AMD. At this time, the answer is no; multiple imaging modalities are complementary.
For example, on OCT, we can see CNV and CNV patterns, but we can't determine its type. The device's specificity is approximately 60%. Therefore, we still require angiography for diagnosis and guiding some types of treatments.
The first steps in my protocol for AMD management are obtaining a baseline OCT and FA to ensure the condition is, in fact, AMD. If I plan to treat with photodynamic therapy (PDT), it needs to be guided by FA. However, if I'm treating with an anti-VEGF agent, FA beyond baseline is not necessary. I obtain OCT scans at each follow-up visit to check for signs of recurrence. If signs of active disease are not evident and I plan to use a laser-based treatment like PDT, I obtain another FA. If not, I continue to monitor the patient with the Stratus OCT. The cases presented on this page illustrate this approach. OM