SPECTRAL OCT
Spectral Domain OCT for Imaging the Retina
With unprecedented resolution and detail, this technology promises to improve patient care as well as add to our understanding about the natural history of eye disease.
By Thomas Connor, MD
► Spectral domain optical coherence tomography (OCT) is still in its relative adolescence, yet the potential of this technology to enhance the assessment of retinal pathology is evident. When used as a complementary technology to other modalities — such as fluorescein angiography or ultrasound imaging — spectral domain OCT adds a new level of information and precision to guide patient management.
Registration is the Key Difference
Whereas time domain OCT allows us to look at tissue in 2-dimensional horizontal sections, spectral domain OCT provides full 3D imaging that greatly increases the amount of information available for analysis. With spectral domain OCT, we can collect data over a wider region, map topography, and perform point-to-point comparisons. This is possible because of image registration.
Registration enables the clinician to identify anatomic landmarks, such as specific blood vessels, and return to those exact locations in later imaging studies. The advantage of registration is obvious: We can be sure that we're evaluating the same exact region over time, an essential factor when assessing stability, progression of disease or response to treatment. Time domain OCT doesn't permit point-to-point mapping.
In addition, because of 3D imaging and registration, spectral domain OCT more closely resembles the kind of anatomical imaging that's familiar to us because of our work with other modalities, such as fluorescein angiography, and therefore may represent a more intuitive form of data presentation than is delivered with time domain technology.
OCT Applications in Retinal Disease
Spectral domain OCT achieves incredible resolution. The technology can analyze tissue layers as thin as 4 to 5 microns, thereby approaching the level of detail seen on histologic examination. The greater resolution of individual tissue layers combined with topographic mapping and point-to-point registration offer distinct advantages in assessing a range of ocular pathology.
With spectral domain OCT, we can scan through the full imaging study to select the individual B-scan that corresponds exactly to the region of interest based on the appearance of the fundus. This represents a significant improvement over time domain imaging, where the information available to us is much more limited.
In conditions of retinal vascular abnormalities, including diabetic retinopathy and retinal vein occlusion, spectral domain OCT gives us a new standard for following retinal edema. 3D imaging permits the calculation of area, and thus volume, and allows comparison of both specific locations on the retina, as well as overall regions. In contrast, time domain OCT provides direct information only about retinal thickness, not volume, which can be problematic or deceptive when comparimg scans from one visit to the next.
In choroidal vasculopathies, such as age-related macular degenration (AMD), polypoidal choroidal vasculopathy (PVC) and oculohistoplasmosis, spectral domain OCT allows us to perform point-to-point comparisons of specific layers of the choroid, retinal pigment epithelium (RPE) and retina, as well as the potential spaces between these layers.
In all of these conditions, the ability to examine the tissues of the eye more deeply and more precisely means we can identify pathologic changes earlier, which, in many cases, will enable us to begin therapy sooner, monitor response to therapy more effectively and, consequently, achieve better patient outcomes.
The scans shown here illustrate the utility of spectral domain OCT for imaging a range of pathology (Figures 1–3).
Figure 1. A 79-year-old man with new onset blurred vision and distortions is diagnosed with age-related macular degeneration. Time domain OCT (left) failed to demonstrate clear signs of exudation, but spectral domain OCT (right) reveals retinal thickening and intraretinal cystoid spaces.
Figure 2. Vitreoretinal interface traction is seen in a 59-year-old woman with a history of diabetic retinopathy and macular edema. She has undergone scatter and focal laser treatments. OCT demonstrates surface traction distorting the macula.
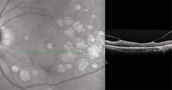
Figure 3. Ocular histoplasmosis and choroidal neovascularization is seen in a 55-year-old woman with a history of POHS in the fellow eye, now with blurred vision and distortions. OCT demonstrates a deep area of histo spots and adjacent subretinal fluid.
Case Proves Utility of Spectral OCT
A patient with a history of treatment for AMD presented to our institution from a community ophthalmologist. The patient reported a noticeable deterioration in vision, however, a time domain scan showed no appreciable change in the status of the retina. Using spectral domain imaging, we were able to more completely evaluate the area around the fovea. By doing so, we documented the presence of new areas of subretinal fluid and intra-retinal edema. This confirmed the need for further treatment, allowing us to confidently pursue a clinical strategy that wasn't clear based on time domain analysis.
Evaluating Eye Disease Over Time
In cases of choroidal vascular disease, retinal vascular disease and retinal degenerations, spectral domain OCT allows us to examine fine tissue sections in high definition, giving us the ability to parse out specific layers or structural bodies to advance our understanding of disease pathophysiology and determine prognostic indicators. For example, we can evaluate the pattern of drusen and, with special software and 3D reconstructions, we can view of the layers of Bruch's membrane and RPE. By following the evolution of these structures in a population of patients over time, we may ultimately be able to identify those who are at increased risk of progressing to neovascular AMD, thus allowing us to follow higher-risk patients more aggressively.
Using an OCT Database to Better Define Normality
One key to expanding the use of spectral domain OCT is understanding what constitutes normality. At Medical College of Wisconsin, we're in the process of compiling a database that will give us this information. We expect to collect data from more than 500 individuals with normal vision. We'll evaluate retinal layer thickness, topographic norms and other parameters, and we'll seek to define these values across various patient characteristics, such as age and gender. Once analyzed, this information will allow us to make greater use of the large amount of information that's now available for the first time as a result of spectral domain OCT.
Incorporating Spectral OCT Into a Retinal Practice
In addition to its clinical utility, spectral domain OCT is a practical tool, and one that can be easily integrated into a clinical practice. Even though these machines gather large amounts of information, they do so rapidly, comfortably and efficiently. The speed of image acquisition is particularly advantageous, in some cases as much as twice as fast as that of time domain OCT. The systems are fairly easy to operate and require little additional training of a photographer. Overall, spectral domain OCT is a very nimble and convenient test to perform in a typical patient care setting.
That said, the question remains whether this technology is an essential addition to a retinal practice at this time. The answer is probably not. I expect that spectral domain OCT soon will supplant time domain OCT as the must-have technology. Presently, however, clinicians are still providing an acceptable level of care with time domain OCT. Of course, if you're equipping a new practice and you're interested in having state-of-the-art capabilities, you may want to consider spectral domain OCT technology, because this is definitely where the standard of care is heading.
Looking to the Future
Spectral domain OCT has been available for broad clinical use for only a short time. Many questions remain to be answered about how best to apply the technology, but we're already seeing a burst of research that will help define the role of this modality in routine patient care. In addition, the amazing resolution afforded by spectral domain OCT will undoubtedly contribute to our knowledge of the natural history of retinal disease by allowing us to view fine structural changes in vivo and thus better understand how disease develops.
From a technical standpoint, we can expect to see new capabilities and functionality added to today's machines. The integration of other imaging modalities into a single system would be of particular value, especially the combination of spectral domain OCT and fluorescein angiography. Such a dual-mode system would allow us to take angiographic data and analyze them point-to-point in horizontal sections, adding greatly to the quality of information for anatomical assessment. Another improvement is the availability of a hand-held probe that can be used for pediatric patients or patients in the OR who can't sit at a slit lamp device. Many such innovations already are available.
The speed, resolution and registration of spectral domain OCT are powerful functions for retinal mapping and volumetric measurements, and provide information that time domain OCT cannot match. In the next few years, spectral domain OCT will undoubtedly take its place among the essential tools in retinal disease assessment and management. nMD
| Dr. Connor is associate professor of ophthalmology at the Medical College of Wisconsin. You can reach him at tconnor@mcw.edu. |







