Oculoplastics: Shaping a Marketing Plan
Experts share tips to develop a thriving oculoplastic practice.
BY DIANE DONOFRIO ANGELUCCI, CONTRIBUTING EDITOR
Comprehensive ophthalmologists and oculoplastic surgeons provide an ever-expanding range of cosmetic and functional procedures to their patients. Depending on the physician's level of training, services run the gamut from Botox and filler injections to facelift surgeries.
"Our subspecialty has really become transformed from oculoplastics and eye plastics to oculofacial, meaning we're doing more surgery than just eyelid surgery," says Mark S. Brown, M.D., Oculo-Facial Consultants, Mobile, Ala.
According to John D. McCann, M.D., Ph.D., medical director for the Center for Facial Appearances, Salt Lake City, the field of oculoplastic surgery has moved increasingly toward cosmetic procedures rather than simply functional surgery. "The annual gathering of the American Society of Ophthalmic Plastic and Reconstructive Surgeons used to focus almost exclusively on reconstructive surgery, but now the meeting devotes 50% of the time to cosmetic surgery." He believes this 50/50 split reflects many oculoplastic surgeons' practices today.
Given the range of other professionals who offer these cosmetic services — ranging from general plastic surgeons to commercial spas — you can't afford to be complacent, however. For the oculoplastics and cosmetics portion of your practice to thrive, patients and other professionals need to know the range of services you offer. Read on for expert advice on how you can get a leg up on the competition.
Know What Sets You Apart
Ophthalmologists are set apart from other specialties by their training. "Ophthalmologists are the best-trained group of physicians to perform cosmetic eye lid surgery," Dr. McCann says. "Not only do people want to look better after they've had cosmetic eyelid surgery, they want to have eyelids that work well and they want to have normal and comfortable vision." Furthermore, he says, ophthalmologists have the longest history of using Botox [botulinum toxin type A, Allergan], which was originally approved by the FDA for ophthalmic indications. "Plastic surgery on the face is very different than doing plastic surgery on the rest of the body," he says. "It carries a much greater requirement to pay attention to fine details and really be able to do microsurgery, and I think ophthalmologists are clearly the best microsurgeons in the world."
To differentiate himself from the competition, Dr. Brown has developed brand recognition in his marketing efforts as being the eyelid or face specialist — and explains his strengths to patients. "It's very important to educate the population in your environment that your training is as an ophthalmologist with additional training as a plastic surgeon in that area and that you have specialized knowledge of the eyelids," Dr. Brown says.
Weigh Your Marketing Options
Internal marketing delivers the best return on your marketing dollar, says Stuart R. Seiff, M.D., professor emeritus, University of California, San Francisco, and president-elect of the American Society of Ophthalmic Plastic and Reconstructive Surgery. "If you look at the amount you have to spend versus the amount you get back, you do way better by marketing to a population that knows you, and that's been shown over and over again," he says. "For instance, if you're a comprehensive ophthalmologist and you want to do more Botox and fillers, the best thing is to target an announcement or an e-mail blast to your patient population that you've now incorporated that into your practice. It will cost you almost nothing and everything you bring in is gravy. The math is simple. On the other hand, if you do radio advertisements that you're doing Botox and fillers, you may bring in a number of people, but the overhead that you incur for that may exceed or may completely use up any revenues you bring in," Dr. Seiff says.
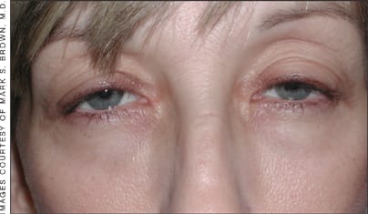
|
|
| On the left, the patient before surgery. On the right: After her blepharoplasty and ptosis repair. | |
Steven G. Yoelin, M.D., in private practice in Newport Beach, Calif., has limited his cosmetic procedures to facial injectable procedures such as botulinum toxin type A and dermal filler injections. "I find these procedures extremely rewarding and enjoyable for me to perform, and they are very much desired by my patients," he says. He focuses on providing superior care, relying primarily on word-of-mouth advertising to develop, grow and maintain his injectables practice.
Although Dr. Yoelin does not use marketing strategies, he informed his patients that he was offering injectables; after that, he waited for them to reintroduce the topic, which was something that interested many of them. "At that point, numerous patient referrals were generated and very quickly ‘the tail began to wag the dog,’ in the sense that the overwhelming majority of my injectables-related patients were being generated via referrals. At this point, 95% of my injectables-related patients have been referred to me."
To build enthusiasm for your services, Dr. Seiff says, you may want to offer your staff your products and services. His staff members who have had Botox or filler injections often share their experiences with his patients. "They're sort of the testimony to the techniques," he says. "They'll talk to the patients about it often before you ever get into the room." When you're getting started with a procedure, you may want to consider discounting patient procedures to build word-of-mouth referrals, he says.
Staff education is also important. "We have common things that patients ask us, like ‘Why should I come to your practice and get Botox injections?’" Dr. McCann says. "And we have a standard scripted message that staff members can pull up on the computer screen while they're talking to the patient." As they chat with prospective patients over the phone, they also e-mail them electronic brochures about the practice and services that might interest them.
In educating your patients, take advantage of office wait times by displaying informational brochures, question-and-answer sheets and before-and-after patient photos in the waiting and exam rooms. In Dr. Brown's practice, patients can watch videos explaining the services and procedures he offers.
When developing your marketing plan, think about whether you want to implement external marketing strategies. Because this option can be expensive, you'll need to choose the medium that will reach as many patients as possible. Dr. Brown has found television ads to be "incredibly effective." "We had done radio commercials for a while, and I thought that the number of different stations in the community is just vast and the chance of a particular person listening at a particular moment in time was small, whereas I have found that TV commercials were very effective."
Dr. Brown also recommends having a significant Web site presence and including your practice on a Web site group directory. He lists his practice on eyeplastics.com. "Just having your own practice alone on a Web site doesn't mean that patients will find you in your area unless they already know your name, in which case you're really providing internal marketing or education and not external," he says.
Once patients have found your site, your staff must be prepared for callers. When Dr. McCann's practice first established its Web site, his staff had not yet been well trained to convert callers who saw the site into patients; they were more used to scheduling patients referred by doctors. "Making an appointment for a person referred by a physician is a very different skill than being able to explain to people who only know that they like your Web site why they should choose your office," he says.
Strengthen Referral Ties
Marketing to professionals should be an integral part of your plan, Dr. McCann says. "Most of your patients are already sent to you by other physicians, so why not build upon that strength?" he says. "One concept that many practices use is to appoint someone to be a practice ambassador and to go around visiting the offices of those who refer patients to you."
To make it easier for doctors to refer patients, Dr. Brown sends area doctors brochures and referral pads printed with his name and phone number, his assistant's name and phone number, and a map to his office.
In building referral relationships, be visible in your community—medically and socially, Dr. Seiff advises. His practice also educates optometrists about proper referrals, helping them recognize pathology and to refer patients appropriately. "We have found that to be very effective," he says. 49"I probably get a couple of referrals for oculoplastics problems a week from the community optometrists."
Strong communications are key in building referrals. "I was trained to be very diligent about writing referral letters, and we have an electronic medical record system," Dr. Brown says. "While I'm seeing the patient in the exam room, I have dictated or transcribed my letter to the referral doctor and it gets sent over by the time the patient is in the parking lot." To make it easier for optometrists and ophthalmologists to reach him, he provides them with his cell phone number. "I don't want there to be any obstacle for them referring a patient to me," he says.
Dr. McCann and Dr. Brown both send before-and-after photos to referring doctors, and Dr. McCann also sends the photos to patients, who often share them with their friends.
As you build relationships with referring doctors, it's important to strengthen their trust that you will include them in their patients' care and return their patients to them, especially if you're in a competing comprehensive ophthalmology practice.
In the end, of course, first-rate outcomes are essential in increasing your referrals. "Excellent outcomes will allow and enable an injectables practice to prosper as soon as it is launched," Dr. Yoelin says.
Consider Your Budget
Before you start crunching numbers to develop your marketing budget, Dr. McCann suggests beginning with a marketing plan that focuses initially on internal marketing. "Internal marketing is so much more cost-effective than external marketing," he says. "It's a waste of resources doing external marketing if you haven't maximized your internal marketing."
"Obviously a Web site is key these days," Dr. Seiff says. "You don't have to spend a fortune on it." He explains that a Web site and maintenance may cost $10,000 for the initial design and setup, with annual costs typically less than $500, but a radio and television budget can cost $10,000 per month. "But you've got to do a lot of Botox and fillers to make up for that $10,000 a month if that's what you're advertising." To save money, he recommends rolling advertising for aesthetic services into your marketing efforts for other procedures.
In building his marketing plan, Dr. Brown met with cable television, local television and newspaper representatives. "I got all of their proposals and then I gave their proposals to their competition, and I said, ‘What do you like about this plan and what don't you like about this plan?’" he says. Although their answers obviously were biased, they helped him weigh the options.
Evaluate Your Results
To assess the results of your marketing plan, Dr. McCann recommends tracking patients from the first time they call your office. "We find that if you ask patients how they learned of your practice on the day of the first appointment, many actually can't remember," he says. "If you track, you need to be able to track things down to the details of how much revenue is generated from each referral source." He believes any marketing tactic should reap at least a fivefold return.
To track the success of his TV commercials, Dr. Brown's practice created a phone number and listed it only in those ads, tracked every call that came in over that number and verified that it was cost-effective. "We've taken that to the next level this past year, and I've acquired more than a dozen different toll-free numbers and put them in different Yellow Page ads because I want to know; if I'm getting two phone calls over the whole year, then that ad is not worth keeping." In addition, during appointments staff members ask all patients how they heard about Dr. Brown.
Refine Your Image
Because you will be competing with dermatologists and cosmetic surgeons, as well as with commercial spas, consider how patients perceive the appearance of your office, Dr. McCann says. "I think it can be quite challenging for a comprehensive ophthalmologist to see cosmetic patients in the same space where patients are seen for general eye care," he says. To remedy this problem, the practice may choose to schedule cosmetic surgery patients on specific days or designate a boutique area of the office with dedicated staff.
Comprehensive ophthalmology offices tend to be driven to high-volume care; this approach won't work with cosmetic patients, Dr. McCann says. "When people are paying for things out of their pocket versus having their insurance paying for all or most of it, they're going to be more demanding of your time, and if you're not able to give them your time, they may find a dermatologist, plastic surgeon or medical spa down the street that will." OM







