Phacoemulsification of the White Cataract
Slaying the six monsters.
BY DAVID KHORRAM, M.D.
White cataract. These two words strike fear in the hearts of phaco surgeons everywhere. Like any fear, the fear of the white cataract can be overcome through preparation and repeated exposure. There are six dangerous "monsters" to slay to successfully perform phacoemulsification of the white cataract. The task of conquering the white cataract becomes easier once you understand the dangers of each of the six monsters that stand between you and success, and the weapons that will slay each one.
Living and working on Saipan, an island in the South Pacific, about 25% of the people that I operate on have white cataracts. I have found that by addressing six distinct features of the white cataract, phacoemulsification can proceed smoothly and safely, and you can emerge the victor.
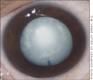
This white congenital cataract is total. It is radially split at the periphery at a few points. The cortex is milky white. There is a girdle of dense opacities around the nucleus. The nucleus has maximum opacity.
Identifying the Six Monsters
Operating on a white cataract requires that you be prepared to deal with these six monsters:
► the absence of a red reflex
► a pressurized capsular bag
► a liquid cortex
► an unpredictable anterior capsule
► a dense nucleus with large mass
► the absence of an epinucleus.
By addressing each of these features, phacoemulsification can proceed smoothly in these difficult cases. For phaco, I use the AMO Compact with WhiteStar (Advanced Medical Optics, Santa Ana, Calif.)
The Absence of a Red Reflex
Phacoemulsification is made possible through the presence of an intact capsulorhexis. Without a red reflex, capsulorhexis is exceedingly difficult.
The absence of a red reflex in a white cataract is the first challenge that must be addressed. Capsular dyes such as trypan blue allow us to subdue this monster fairly easily. We combat the absence of a red reflex by using capsular dyes, allowing us to visualize the edge of the capsulorhexis as it progresses.
After placing the paracentesis and intracameral lidocaine, trypan blue is introduced into the anterior chamber. The simplest method is to inject the dye directly into the aqueous, without the placement of an air bubble. This can adequately stain the capsule. However, because the trypan blue will be diluted by the volume of the aqueous, the stain is not as intense as when the trypan blue is injected under an air bubble. If you prefer a more intense stain, then inject the dye under an air bubble, directly onto the anterior capsule. Rather than injecting air via a separate syringe, it is simpler to inject the air and the dye with the same syringe. After drawing up approximately 0.2 cc of trypan blue into a TB syringe and placing a 26-gauge cannula on the syringe, hold the syringe with the tip down and draw up 0.1 cc of air. The air will stay in the proximal part of the syringe (nearest to the cannula), allowing you to inject both the air and trypan blue with a single entry of the cannula into the anterior chamber. Next, inject viscoelastic into the anterior chamber, replacing the trypan blue and/or air bubble. The anterior capsule is now visible for capsulorhexis despite the absence of a red reflex. The first monster is dead, slain by trypan blue. Perform your phaco incision as usual.
A Pressurized Capsular Bag
In many cases of white cataracts, the cortex has liquefied and the capsular bag has positive internal pressure. With a normal cataract, the initial puncture of the anterior capsule by the cystotome is a rather ordinary event. However, with a white cataract, puncturing the pressurized capsular bag can unleash a wild beast — the immediate extension of the capsular incision across the entire capsule, resulting in a gash of exposed lens across the center, from one side of the iris to the other, with a swath of capsule on either side of the gash. The striped appearance of capsule-lens-capsule resembles the flag of Argentina. You don't want to see the "Argentinian Flag" during surgery. The edges of the anterior capsulotomy are ragged and extend across the entire anterior capsule, disappearing behind the iris. In fact, it is difficult to be sure whether or not the capsular gash has extended beyond the equator onto the posterior capsule. An Argentinian Flag makes the rest of the phaco extremely challenging because there is no intact capsulorhexis and many times the extent of the capsular tear is unknown.
In order to avoid this explosive extension of the initial capsular puncture, overfill the anterior chamber slightly with viscoelastic. This additional pressure in the anterior chamber helps tamponade the capsule and minimize the risk of explosive extension of the initial capsulorhexis incision. By over-pressurizing the anterior chamber with viscoelastic, the second monster can be subdued. Now on to the third monster.
A Liquid Cortex
Not all cases of white cataract have liquefied cortex, but many do. You must be prepared to slay this monster should it spew forth its cloudy entrails. With the placement of the initial capsular puncture, the liquid cortex can rapidly leak out of the bag and obscure the view of the capsule through the liquid cortex mixed with viscoelastic in the anterior chamber. At this point, one solution is to introduce the irrigation/aspiration (I/A) tip, remove the liquid cortex and viscoelastic from the anterior chamber and reinflate the anterior chamber with new viscoelastic before proceeding with the capsulorhexis. However, because at this point the capsulorhexis is far from complete, there is risk of extension of the anterior capsular tear by introducing irrigation and positive pressure into the anterior chamber. If you do choose to remove the liquid cortex with I/A, I strongly recommend using a manual technique with the Simcoe I/A where the irrigation and the aspiration can be delicately controlled and performed slowly.
I have found the following option simpler in dealing with the liquid cortex. In making the initial puncture for the capsulorhexis, use a 25-gauge needle as a cystotome. With a single motion, puncture the anterior capsule and enter the anterior cortex of the lens. Begin aspirating the liquid cortex immediately. Some cortex will likely leak into the anterior chamber. However, with aspiration of the remaining liquid cortex while it is still in the capsular bag, leakage into the anterior chamber can be minimized and visibility of the anterior capsule will be maximized.
A white cataract taunts the surgeon through a mid-dilated pupil.
The small amount of liquid cortex that leaks into the anterior chamber can be aspirated by moving the cystotome tip anterior to the anterior capsule and into the anterior chamber. However, the more cortex that is aspirated while it is still in the bag, the easier it will be. Once it mixes with the viscoelastic, it becomes more difficult to aspirate. The puncture and aspiration is a delicate move. If the puncture is too deep or the aspiration too vigorous, your cystotome can go through the posterior capsule. That's not good. So be decisive, quick and gentle in puncturing the anterior capsule and aspirating the liquid cortex from the bag.
The capsulorhexis can then be continued. Sometimes, liquid cortex remains sequestered in parts of the bag and may be encountered during the progression of the capsulorhexis. In most cases, these small amounts of liquid cortex do not interfere with visualization. If they do, they can be displaced by the addition of more viscoelastic, which also serves to deepen the chamber.
Congratulations. You've sucked the white liquid entrails from the belly of this beast. You're ready to battle the fourth monster that stands in your way.
An Unpredictable Anterior Capsule
As you begin the capsulorhexis, you may notice that the capsule is not behaving as usual. It may be either very elastic and difficult to tear, or it may be friable and rip easily. Some surgeons advocate making a large capsulorhexis when performing phaco on a white lens; however, I have found that a small capsulorhexis is best. By keeping the capsulorhexis small, it is easier to prevent straying of the capsulorhexis to the periphery. This is particularly important in light of the unpredictable nature of the anterior capsule. A large rhexis is more likely to extend peripherally, and with the unusual capsular elasticity with a white cataract, it is very difficult to recover. When I have lost vitreous while operating on white lenses, it has been the result of the extension of the capsulorhexis. So, I keep the capsulorhexis small — no more than 6mm, but usually around 5.0mm to 5.5mm in diameter. The smaller capsulorhexis also serves to contain the waiting segments of the nucleus in the posterior chamber during phacoemulsification, helping to keep these large chunks from drifting anteriorly and biting the corneal endothelium.
With a small capsulorhexis, you have conquered the fourth monster: the unpredictable anterior capsule. The next step is usually hydrodissection. However, if liquid cortex was present, there is no need for hydrodissection as the nucleus moves freely.
The Large Dense Nucleus
In some white lens cases, the nucleus may be very soft and can be removed in the usual phaco-chop technique with typical ultrasound powers. Impaling the nucleus with the phaco tip can serve as a test of its density. If it is not unusually hard, you may use your regular chopper and begin the horizontal phaco-chop process. However, if the nucleus is too dense for a horizontal phaco-chop, as is often the case, you need to prepare for vertical chopping.
As a first step in the battle against the size and density monster, excavate a central bowl in the nucleus to about 2/3 to 3/4 nuclear depth. This process serves three purposes. First, it debulks the nucleus. The mass of the nucleus can be huge. Removing a significant portion of the nucleus while it is held stable within the capsular bag eliminates the risk of damaging the corneal endothelium or posterior capsule if you try to remove that same mass later when the pieces are mobile and the posterior capsule exposed. Second, the bowl creates space for the subsequent removal of the first segment of the nucleus. And third, by thinning the central nucleus, it makes propagation of the vertical chop through the posterior central plate of the nucleus easier.
Excavation of the bowl usually goes smoother by moving the silicone sleeve of the phaco tip back, exposing more of the phaco tip. If the sleeve is close to the tip, it can interfere with excavation, getting hung up on the sides of the bowl as you get deeper. Also, while excavating the bowl, the tip can often get stuck in the distal dense nucleus. This can be prevented by removing the proximal portion of the nucleus — that portion closest to the phaco incision — rather than the distal nucleus. Rotate the nucleus frequently to maximize the symmetry of the central excavation, which helps ensure even segments in subsequent chopping.
After the central bowl is excavated, vertical chopping may begin. The phaco tip is driven into the distal side of the bowl at about 2/3 depth, obtaining a firm grasp on the nucleus with the phaco tip. The sharp chopper is then used to come down vertically through the nucleus toward the impaled phaco tip. The vertical chop is performed centrally. The sharp chopper should not be placed beneath the edge of the anterior capsule, as it may stray to the periphery and inadvertently puncture the posterior capsule. As a right-handed surgeon, I usually chop down toward the center of the phaco tip. Once I near the tip, I pull the chopper horizontally toward the left and the phaco tip toward the right. This lateral movement helps to separate the segments, and to propagate the chop. Many times, a white nucleus can be leathery and it can be difficult to separate the segments, but this lateral movement can help significantly.
Depending on the size of the nucleus, it may require segmenting the nucleus into six or eight portions. Complete all the chops before removing any of the segments. This helps ensure that the volume of the bag remains stable, keeping the posterior capsule protected while the sharp chopper is in the eye.
A central bowl and vertical chopping have slain the fifth monster. Now, switch to your usual chopper and begin removal of the nuclear segments.
The Absence of an Epinucleus
Because the nucleus can be so large and dense, or the cortex liquefied, there is often very little epinuclear material to protect the posterior capsule. As the first segment of nucleus is removed, you will now have a bare, unprotected posterior capsule visible and exposed while removing the remaining 80% or so of the nucleus. A few techniques can help protect the posterior capsule.
First, I recommend phacoemulsifying centrally and relatively anteriorly, just below the anterior capsular plane, in the anterior third of the posterior chamber. Using phaco power in the periphery or more posteriorly is more likely to lead to posterior capsular tears. Performing the phacoemulsification in the anterior chamber or iris plane puts the corneal endothelium at risk, especially in light of the higher phaco times needed to remove the large nuclear mass.
Second, use a Dewey Radius phaco tip (MST, Redmond, Wash.). This phaco tip is designed with curved edges and significantly reduces the risk of rupturing the capsule when it might inadvertently come into contact with the phaco tip. Some surgeons have voiced concern that the rounded edges of the Dewey tip may not be "sharp" enough to emulsify dense nuclei. I have found that the Dewey tip cuts through the hardest nuclei without difficulty.
Third, use viscoelastic generously during the phacoemulsification to form a cushion between the nuclear fragments and the posterior capsule — a sort of "viscoelastic epinucleus." Viscoelastic should also be used throughout the case to protect the corneal endothelium, especially in light of the longer phaco times. You may also turn the blunt chopper upside-down and use the broad knuckle of the chopper to keep the posterior capsule back away from the phaco tip.
Fourth, removal of white nuclear fragments requires that you visualize the phaco tip at all times. Emulsification of each segment must be deliberate, and requires patience.
Finally, paradoxically, the case becomes riskier as more of the nucleus is removed, because it leaves more of the posterior capsule bare, unprotected by cortex or epinucleus, and exposed to the phaco tip. In cases where the posterior capsule is particularly floppy and unpredictable, as in previously vitrectomized eyes, I use viscoelastic to displace the final small nuclear segment into the anterior chamber. I will then insert the posterior chamber IOL beneath the nuclear fragments. The IOL serves to stabilize and protect the posterior capsule. I then complete removal of this final nuclear segment with phacoemulsification in the anterior chamber. With the posterior chamber lens in place, the posterior capsule is protected. (The final fragments can also be removed by viscoexpression.)
The Monsters Are Defeated
The sixth monster has been slain with the combined weapons of central and anterior phacoemulsification, the Dewey Radius phaco tip, copious viscoelastic, use of the chopper to protect the posterior capsule, patient and deliberate phacoemulsification with good visualization of the phaco tip and, if needed, placement of the IOL prior to phacoemulsification of the final nuclear remnants.
White cataracts behave very differently than other cataracts. By addressing these six monsters surrounding the white cataract, phacoemulsification of these difficult cases can be made safe and almost easy. OM
| David Khorram, M.D., is the medical director of Marianas Eye Institute on the South Pacific island of Saipan. He is the author of the book World Peace, a Blind Wife and Gecko Tails. He has no financial interest in any products mentioned in this article. |
|







