Successful Management of Complicated Cataract Cases
How would you handle these intraoperative challenges? Test your skills!
By Robert Weinstock, M.D. and Neel Desai, M.D.
Case 1
History
This 62-year-old Vietnamese gentleman presented with a hyper-mature cataract in his left eye and a history of end-stage glaucoma for which two Molteno shunts had been placed. The fellow eye had no light perception due to end-stage glaucoma.
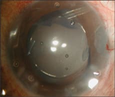
On examination, visual acuity in the left eye was only light perception with no improvement on refraction. The IOP was 20 mmHg. Slit lamp examination was most significant for a fixed irregular pupil of 4 mm with significant posterior synechiae. Two separate filtering tubes were present in the anterior chamber — one located inferotemporally and one located superonasally. The white hypermature cataract present precluded any view of the posterior segment. B-mode ultrasound examination of the eye revealed mobile vitreous opacities consistent with vitreous hemorrhage (Figure 1).

Figure 1. preoperative image of a hypermature white cataract, posterior synechiae and double glaucoma drainage devices.
Questions
A. What complications might you anticipate and prepare for?
B. What special instruments and/or devices would you have ready in the OR?
Surgical Planning
Surgical planning for this patient began well before the day of surgery as necessitated by the high stakes in the complicated eye of a monocular patient. Much of the planning revolved around careful consideration of the current status of the eye, the prior surgical history and the possible intraoperative complications that might be encountered. In regard to question A, with a poorly dilated pupil and restrictive posterior synechiae, providing ourselves with adequate visualization would present the first challenge. The white cataract eliminated the red-reflex, rendering visualization of the anterior capsule during capsulorhexis creation impossible. The history of prior surgery and multiple tubes present in the anterior chamber called into question the integrity of zonular and capsular support.
In answer to question B, first we planned for the availability of extra viscoelastic material to facilitate the viscodissection of the posterior synechiae and Kuglen hooks to stretch the pupil. Greishaber iris retractors were placed on standby. A contingency kit for conversion to extracapsular cataract extraction (ECCE), including a lens loop, was assembled. Additionally, a contingency kit for anterior vitrectomy was placed on standby. Given the multiple risk factors for complication, we scheduled the patient as the last case the day.
Surgery
In terms of fluidic control, anterior chamber stability, visualization and maneuverability within a small pupil and crowded anterior chamber, the advantages of our routine bimanual microincisional technique for cataract surgery would turn out to be critical in this case.
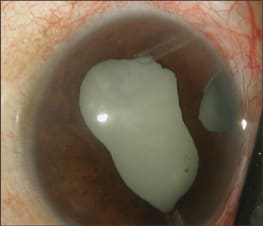
The case was begun with two 1.4/1.6 mm trapezoidal incisions created with a diamond microkeratome. Amvisc (B&L) was injected into the anterior chamber to deepen the eye, break synechiae and flatten the capsule. Two Kuglen hooks were used to further stretch the pupil. Trypan blue solution was then used to stain the capsule under the viscoelastic. Micro-capsulorhexis forceps (MST, Redmond, Wash.) were used to gently nick the anterior capsule centrally, immediately producing a plume of liquefied cortical material, completely obscuring visualization of the capsule (Figure 2). BSS was then used to irrigate the chamber until visibility was restored and the chamber was reinflated with viscoelastic to flatten the capsule. The micro-capsulorhexis forceps were used to grasp the nick in the capsule to initiate a tear, though a long 27-g needle bent needle cystotome could have been used to both decompress the cortical material and continue the tear. As soon as it was grasped the forceps, however, the anterior capsule split open with tears extending peripherally in both directions producing the blue-white-blue pattern of the so-called Argentinean flag sign (Figure 3). Several can-opener style nicks were created in the intact portion of the anterior capsule to enlarge the opening while distributing forces on the capsular rim amongst many vectors to avoid further extension of the tears through zonules and to the posterior capsule. To further reduce stress on the capsule and zonules, we opted for a tilt-and-tumble technique described by Dr. Richard Lindstrom and others. As such, with gentle hydrodissection and hydrodelineation the nucleus was tilted and prolapsed out of the bag into the iris plane. At this point, it appeared we had successfully pre-served posterior capsular integrity, so we decided to proceed with phacoemulsification rather than convert to ECCE.

Figure 2. Image shows a plume of liquefied cortex emanating from the initial opening in anterior capsule which obscured the view.

Figure 3. Image shows radial capsular tears in both directions revealing the "Argentinian flag sign."
Using a slow motion bimanual technique, the fluidics and phacodynamics within the chamber enabled careful removal of nuclear fragments without further compromise to the anterior or posterior capsule. The irrigating chopper was used to direct fluid flow parallel to the iris plane, which facilitated followability of nuclear fragments, kept the floppy posterior capsule safely away from our phaco needle and provided good stability of a stretched pupil. A dense posterior subcapsular plaque came into view when the nucleus was completely removed. Using bimanual irrigation and aspiration, we attempted to remove the plaque but it was firmly adherent to capsule. We felt it was most prudent to leave the posterior plaque and attempt viscodissection of the plaque from the capsule while inflating the capsule with Amvisc. One wound was enlarged to 2.8 mm and a 3-piece Bausch and Lomb LI61U lens was delivered into the capsule using its injector system in a controlled planar fashion (Figure 4). Coaxial I&A was used to completely remove the viscoelastics to avoid postoperative pressure elevation.

Figure 4. The B&L LI61U aspheric silicone implant is injected into the capsular bag. Note its planar delivery with no unpredictable unfolding or flipping in the eye.
The lens centered well with the haptics oriented under the most intact portions of the anterior capsule (Figure 5). Though the wounds sealed nicely with minimal stromal hydration, a suture was placed in the main wound of this patient with two Molteno shunts to prevent hypotony and chamber collapse with anterior dislocation of the IOL. The postoperative course for this patient was subsequently uneventful and the patient enjoyed a dramatic improvement in visual acuity.

Figure 5. Image shows the implant well centered at the completion of the case.
Case 2
History
This is a 75-year-old gentleman who presented for routine cataract evaluation in his left eye. BCVA was 20/60. The patient had a history of using Tamsolusin (Flomax, Boehringer-Ingelheim) for the past 2 years for the treatment of benign prostatic hypertrophy. Slit lamp examination was significant for a small 3 mm pupil with poor dilation after multiple sets of dilating drops and 2-3+ nuclear sclerotic cataract (Figure 6). Posterior segment examination was unremarkable.

Figure 6. Image shows small pupil in a patient taking an alpha antagonist medication.
Questions
A. What preoperative testing would you obtain?
B. What unusual things might occur during surgery?
C. What special instruments, devices or machine settings do you anticipate needing?
Answers
A. Standard biometry with A-scan and manual k readings
B. Floppy iris; pupil constriction; iris prolapse; difficult view of cataract
C. Malyugin pupil dilating device to aid in surgery; Healon 5 (AMO, Santa Ana, Calif.) or other specialized viscoelastics; Epi-Shugarcaine intracameral solution; Bimanual or microcoaxial technique with low vacuum setting and low flow settings.
Surgical Planning
Surgical Technique
Our surgery began with a pair of matching incisions sized for our bimanual 19-g instruments. The epi-Shugarcaine solution was slowly injected under the iris for a full 360 degrees. A generous amount of Healon 5 was injected first at the pupillary border and then to fill the anterior chamber to stabilize and dilate the pupil. In many cases, the use and periodic reapplication of heavy viscoelastics, produces enough dilation and stability during surgery to safely proceed with the case. However, in this particular case the pupil enlarged to no more than 3.5 mm with Healon 5, hence, a Malyugin ring was used to improve visualization and aid in easy cataract removal (Figure 7). The MST microincisional capsulorhexis forceps allowed excellent control over the formation of a large continuous curvilinear capsulorhexis beyond the edge of the pupil margin. In general, a larger capsulorhexis will facilitate significantly easier removal of both nuclear and cortical material, while reducing stress on the zonules and preventing late capsular phimosis. In small pupil cases, we advocate the controlled formation of as large a capsulorhexis as is possible. This will allow the nucleus, with gentle hydrodissection and hydrodelineation, to be tilted out of the capsular bag and into an upright position where it acts as its own mechanical pupil dilator. Furthermore, a large capsulorhexis ensures significantly easier removal of epinuclear and cortical material and avoids excessive hunting with an aspirator which is risky in the face of a floppy and constricted pupil.

Figure 7. Image shows a better dilated and stable pupil with the Malyugin ring in place.
Cataract and cortex removal was performed with low flow, low ultrasound power and low vacuum settings in order to minimize chatter and intraocular turbulence. Special attention was paid to keeping the phaco needle away from the floppy iris, central in the eye, and just below the iris plane. Using a bimanual technique in such cases offers the significant advantage of being able to maintain consistent fluid dynamics above the iris plane with the irrigating chopper, regardless of how the phaco needle is maneuvered. The chamber does not collapse when the phaco needle is withdrawn slightly to access a sub-incisionally located fragment, and the iris does not billow when the phaco needle or aspiration port is torsionally rotated or moved to a different plane. The irrigating chopper was used to gently push the iris peripherally to inspect the equator of the bag to ensure complete removal of all cortical material.
After IOL implantation, the Malyugin ring's distal loop (MST) was disengaged from the pupil with a Kuglen hook, followed by the proximal subincisional loop to facilitate easier and less-traumatic removal. In cases of extreme IFIS, we will often pre-place, but not yet tie, a 10-0 suture in the wound just prior to viscoelastic removal since it is much easier to place the suture with viscoelastic still in the eye. Once viscoelastic removal is complete, it is easy enough the tie the suture without risking chamber collapse and further iris prolapse. During viscoelastic removal with coaxial irrigation and aspiration, the bottle height is kept low to maintain a low intraocular pressure with low turbulence to minimize iris prolapse through the enlarged wound.
Case 3
History
This is a 76-year-old woman who presented for a cataract examination. BCVA in the right eye was 20/100. On examination, she was noted to have a significantly narrow phacomorphic-type occludable anterior chamber angle secondary to the development of a very dense brunescent cataract, and an anatomically shallow chamber consistent with her hyperopic status. Also of note were 3+ corneal endothelial guttata consistent with Fuchs' corneal endothelial dystrophy. She was not noted to have significant stromal or epithelial edema and denied any diurnal fluctuation in her visual acuity (Figure 8).

Figure 8. Image shows dense cataract, small pupil, and a narrow phacomorphic angle. The patient also has 3+ endothelial guttata.
Questions
A. What preoperative testing would you obtain?
B. Would you consider a "triple-procedure" in this patient (i.e., concurrent cataract surgery and corneal transplant)?
C. In planning for surgery, what special instruments, devices, or techniques would you consider utilizing?
Answers
A. Standard biometry and IOL calculations targeting a myopic postoperative refraction of -1.00 D; specular microscopy and endothelial cell counts; corneal pachymetry; consult corneal specialist; consider laser peripheral iridotomy if cataract scheduling is significantly delayed and risk of angle closure is imminent.
C. Plan the use of a "soft-shell" technique capitalizing on the unique properties and advantages of multiple layered viscoelastics. During nucleus removal, provide reapplications of a dispersive viscoelastic like Viscoat to the endothelium after each quadrant is removed. Consider 25-g pars plana anterior vitrectomy to deepen chamber prior to cataract removal.
Surgical Planning
In the absence of stromal edema and diurnal fluctuations in visual acuity, a triple procedure including endothelial transplant was not advocated by our corneal specialist (NRD). With the advent of endothelial keratoplasty (DSAEK and DMEK), careful cataract surgery alone can be undertaken with the knowledge that a predictable refractive outcome following subsequent endothelial transplant is possible, if and when needed. The current paradigm in the setting of borderline endothelial dysfunction (i.e., the presence of guttae but the absence of edema and/or visual fluctuation) should reflect a mentality to give the patient's cornea, and our techniques to protect the endothelium during cataract surgery, the benefit of the doubt. Should the need arise, performing an endothelial transplant in this particular patient, with a shallow anterior chamber, will be far easier once the eye is pseudophakic.
For our patients with endothelial dysfunction, preoperative testing includes standard biometry, specular microscopy with endothelial cell counts and measurements of corneal pachymetry. An assessment of the patient's symptoms with regard to diurnal fluctuation in visual acuity, combined with this preoperative data, help inform the decision to pursue cataract surgery alone or simultaneous cataract surgery and endothelial keratoplasty.
In planning for cataract surgery in an eye that may need an endothelial transplant in the future, we targeted a postop refraction of -1.00 D with our lens calculations to compensate for the predictable hyperopic shift seen following DSAEK. Our OR staff was prepared to have both cohesive and dispersive viscoelastics available for use. Furthermore, our ASC is outfitted with TrueVision (TrueVision Systems, Inc., Santa Barbara, Calif.), a 3-D heads-up surgical imaging system that frees us from the ergonomic confines of the oculars on a standard operating microscope (Figure 9). In this case, the TrueVision provided superior depth perception within the anterior chamber, which allowed us to truly appreciate the distance of instruments, irrigation and nuclear fragments from the endothelium we wished to protect.

Figure 9. Image shows the surgeon performing "heads up" cataract surgery using the Truevision 3D viewing system.
Surgical Techniques
Our procedure began routinely with a bimanual or biaxial approach through symmetric 1.4/1.6 mm trapezoidal clear corneal incisions constructed with a diamond blade. The anterior chamber was filled with Amvisc and the MST microforceps were used to create a deliberate 5.5 mm continuous curvilinear capsulorhexis designed to overlap the edge of our lens optic for assured lens stability in the bag should additional surgery be required later. Cortical cleaving hydrodissection and hydrodelineation of the nucleus was carried out with balanced salt solution to keep the nucleus in the bag for an entirely endocapsular approach to phacoemulsification. The endothelium was then coated with our first of several applications of Viscoat (Alcon). Nuclear sculpting was carried out bevel-down or sideways to direct ultrasound into the nucleus rather than up to the endothelium. Once the nucleus was cracked and rotated 90 degrees, the distal hemisphere was partially grooved with low power and cracked.
Switching to a higher vacuum, low flow, low power setting on our phacoemulsification system then facilitated deliberate removal of the nucleus using as much mechanical chopping as possible and as little ultrasound power as possible. The ability to control not only power but also vacuum with the dual-linear capabilities on the Stellaris foot pedal (B&L), facilitated secure purchase of each fragment, controlled chopping, and the minimization of phaco power with no chatter or contact of the fragments with the endothelium. Care was taken to direct the flow of our irrigating chopper away from the endothelium and to keep our phaco needle at or below the iris plane. Keeping the irrigating chopper in place, Viscoat was reapplied to the endothelium while temporarily suspending flow after each quadrant was emulsified. After lens placement in the capsular bag, all viscoelastics were removed from the chamber with minimal irrigation to the endothelium. It is reassuring to us to still see a very light film of Viscoat on the endothelium near the conclusion of the case, suggesting our endothelial barrier remained intact throughout the critical portions of the case.
Postoperatively, the patient did well with minimal corneal edema resolving within days with the use of hypertonic saline drops. She is delighted with her excellent uncorrected visual acuity and an ability to read at intermediate range with her slightly myopic postop refraction. We are pleased to see a clear cornea after cataract surgery and to have avoided, at least for now, a corneal transplant.
Case 4
History
A 65-year-old female referred for a cataract evaluation complained of blurred vision at distance and near. Her ocular history was significant for high myopia corrected with LASIK 11 years prior, while living in the Czech Republic. Her preop and treatment records were unable to be obtained. On examination, her BCVA was 20/50- in both eyes. Each cornea had a normal-appearing LASIK flap and was otherwise unremarkable. A 2+ nuclear sclerotic cataract was present bilaterally. Examination of the posterior pole revealed mild myopic degeneration without choroidal neovascularization and mild lattice degeneration without retinal tears or holes. The patient was highly motivated to achieve clear distance and near range vision with her procedure and asked for presbyopia-correcting lenses by name.
Questions to Consider
► What factors in this patient's history will guide your selection of lens type – standard versus presbyopia correcting options?
► What ancillary tests would you obtain prior to surgery?
► What is your strategy for selecting the correct lens power for this patient?
Preoperative Evaluation
Our preoperative evaluation was aimed at addressing two critical issues for this patient. First, we objectively assessed the patient's desires in the setting of her current status related to ocular surface health, corneal clarity, and retinal health, to select the lens that best met her short-term and long-term needs. Second, we collected all available data and technologies to calculate as accurately as possible, the correct lens power for this patient. We also used this data to evaluate the safety of performing any additional corneal-based surgery, if needed, during or after her cataract surgery.
The status of the patient's ocular surface and cornea, despite being altered by prior LASIK, was remarkably good. She demonstrated no signs or symptoms of tear film abnormality or other ocular surface disease. Consultation with a retinal specialist and evaluation by OCT revealed a stable retinal and macular status with findings consistent with a myopic fundus but without overt pathology. Her residual stromal bed and topographical corneal analysis revealed no red-flags or obstacles to the safe provision of limbal relaxing incisions or subsequent PRK enhancement, if needed. In light of her prior LASIK and fundus findings, we felt avoidance of a multifocal optic would be prudent, and instead chose to place a Crystalens accommodating lens (B&L). Of note, had the patient had prior hyperopic LASIK, we would have steered clear of all aspheric lenses to avoid visually significant compounded HOAs.
Preop ancillary testing included both immersion ultrasound biometry and IOLMaster biometry (CZM), manual keratometry, Orbscan II (B&L) corneal topography and wavefront analysis with the Nidek OPD. Had a Pentacam (Oculus, Inc., Lynnwood, Wash.) been available, we would have considered using the posterior curvature analysis from this Scheimpflug-based topographer to guide our estimates of true corneal power. Corneal topography was consistent with a typical oblate post-myopic LASIK pattern, without evidence of, or risk factors for ectasia. We make routine use of the online post-refractive surgery IOL calculator available for use on the ASCRS Web site to provide a starting point for complex lens calculations such as this. The calculator will accept all available historical, refractive, and topographic data to use in the currently available and appropriate formulae, providing a range of recommended lens powers. In this particular case, however, we chose to use the data from our Nidek OPD, which showed our flattest central keratometric value to be 36.66 D. This K-value was then used in the SRK-T formula in our IOLMaster to target a postoperative refraction of -0.25 D.
We also had to address the residual corneal astigmatism shown on our topographical analysis. The Orbscan (B&L) showed 1.1 D @109, the Nidek OPD showed 1.10 D @ 112, the IOL Master reflected 1.12 D @131, while our manual keratometry showed minimal regular astigmatism. We planned to correct the astigmatism with intraoperative LRIs guided by our Wavetec ORange (WaveTec Vision, Aliso Viejo, Calif.) intraoperative wavefront aberrometer. This Talbot-Moire aberrometer allows the intraoperative capture of wavefront images on the newly pseudophakic eye, providing us with an immediate refraction and feedback on lens power, position and astigmatism corrections.
Surgery
With all the preoperative planning behind us, the cataract surgery itself was perhaps the most unremarkable part of the story. A few simple modifications were made to our operative routine to accommodate the use of the ORange aberrometer. Instead of coating the ocular surface with Amvisc as usual for optimum visualization, the surface was lubricated with only BSS to limit interference. Bimanual microincisions were placed with attention to the predicted axis of astigmatism correction so as to avoid overlapping wounds. Bimanual microincisional sleeveless phacoemulsification was carried out without incident. After lens placement, viscoelastic removal, and wound closure with minimal stromal hydration, an image was taken with the Wavetec ORange system to ascertain the necessity of and axis for an LRI as well as verification of our chosen lens power. As shown in Figure 10, a screen capture from the Orange shows an intraoperative wavefront-guided refraction of -0.58 +0.61 ×130. Using this immediate feedback, we elected to hold off on performing any astigmatic correction at that time, and instead do an LRI at the slit lamp if and when a stable post-operative refraction demonstrated a need.

Figure 10. Image displays the Wavetec ORange screen after lens implantation showing a near emmetropic result with minimal residual astigmatism. The data helped the surgeon decide not to perform an LRI at the time of cataract removal.
At 2 weeks postop, the patient's uncorrected visual acuity was 20/25+. She corrected to 20/20 with a minimal -0.25 +0.75 ×150. More importantly, she is happy with her postop result. OM
Robert Weinstock, M.D., is director of cataract and refractive surgery at the Eye Institute of West Florida in Largo, Fla. Neel Desai, M.D., is a cornea, cataract and refractive surgery specialist at the Eye Institute of West Florida. He completed his subspecialty training at the Johns Hopkins Wilmer Eye Institute. |
![]() ![]() |