SPECIAL CORNEA ISSUE
Recognizing and Treating Corneal Endothelial Disease
The problem can be too few cells — or too many.
BY MARK GOROVOY, MD & STACEY GOROVOY, MD
The visual function of the five-layered cornea is dependent upon both its shape and clarity. Each layer serves a vital role to this end. This article will focus on the two posterior layers — Descemet's membrane and the endothelium — by describing their involvement in clinical disease and providing guidance on the latest treatment regimens.
Early Signs of Endothelial Disease
The endothelium, with its accompanying Descemet's basement membrane, serves primarily as the fluid pump to maintain stromal deturgence, vital in maintenance of corneal clarity. Dysfunction of the endothelium, regardless of the etiology, leads to stromal and epithelial swelling, which, in turn, reduces vision. Severe swelling can result in painful bullae. The earliest symptoms of corneal edema are usually noticed by patients upon awakening, secondary to the reduced evaporation during eyelid closure. Hence, the early treatment option of using a hair dryer or hypertonic saline to literally pull fluid out of the cornea from the surface.
As opposed to the other cellular layers of the cornea, the mono-layered endothelium has little if any clinically significant mitotic activity, rendering its reparative mechanism to one of cellular enlargement and migration to cover denuded areas of Descemet's membrane left bare by decreased cells.
Endothelial specular photography can document both cellular numbers and morphology. While the numbers of endothelial cells normally decline minimally with age (normal is in the 2500 to 3000 range), their response to any insult (genetic, trauma, surgery, inflammation, infection, severe acute IOP rise) is an acute accelerated loss of cells. This can be serially tracked in chronic conditions and help with risk-assessment of elective anterior intraocular procedures, which invariably further reduce the cell numbers.
A minimum number of normal cells — approximately 500 — are required to prevent edema. Unlike relatively stable native cell numbers, cell counts in corneal transplant patients are not static and are severely reduced in almost all cases to an average as low as 775 in PKP patients by year five!
Paradoxically, while the vast majority of clinical disease of the endothelium (Fuchs' dystrophy, pseudophakic bullous keratopathy, aphakic bullous keratopathy, failed prior graft) is related to its inability to replicate endothelial cells and results in edema, there are several diseases of the cornea that present with the same edema, but the cellular mechanism is the exact opposite. These diseases are not characterized by the lack of endothelial mitosis, but by excessive, abnormal mitosis. These entities include the iridocorneal endothelial (ICE) syndrome and posterior polymorphous dystrophy. Let's start with the most common first.
Fuchs' Dystrophy
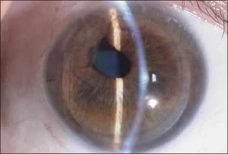
Fuchs' dystrophy (Figure 1), a genetic disorder of the Descemet's/endothelium complex, is almost always bilateral and is diagnosed by the presence of Descemet's guttata, typically in the pupillary axis. It is the most common diagnosis leading to cornea transplant in the western world, but rare in Asia.
Figure 1. Fuchs' dystrophy. Confluent dense gutta seen on red reflex are consistent with 20/40 to 20/50 vision. This is best treated with DSAEK after — or combined with — lens surgery.
Endothelial specular photography exquisitely documents the guttata as "black holes" replacing the endothelial cells. Often asymptomatic and discovered on routine slit-lamp exam, its early symptoms of diminished visual quality are caused by the disruptive visual quality of the guttata itself. Over time, the guttata become more confluent, more visually disruptive and eventually endothelial function becomes compromised, leading to frank edema.
It is the authors' experience that dense guttata by itself without edema decreases Snellen acuity to the 20/50 range and loss exceeding that level is best explained by comorbid disease. Fuchs' dystrophy, even when totally asymptomatic, has significant adverse clinical ramifications for patients contemplating anterior segment surgery, especially cataract surgery or LASIK.
Pseudophakic Bullous Keratopathy
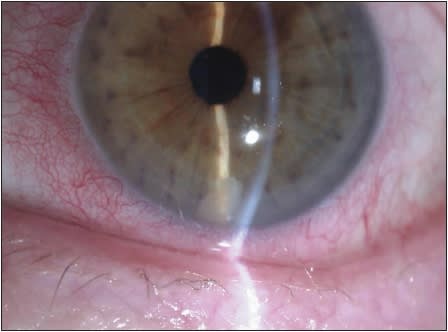
Pseudophakic bullous keratopathy (PABK) is the second most common diagnosis leading to corneal transplant. These eyes are psuedophakic without other underlying corneal conditions. The "trauma" of cataract surgery or subsequent secondary anterior segment surgery leads to frank cornea decompensation from an insufficient number of endothelial cells (Figure 2). PABK can be acute after phaco from direct damage, or late-term from chronic endothelial loss typically seen with anterior chamber IOLs, nuclear chips (Figure 3), etc.
Figure 2. PABK is often associated with the implantation of an anterior-chamber lens. Dr. Gorovoy prefers to replace that lens with a posterior sclera-sutured lens, followed by DSAEK.
Figure 3. Persistent nuclear chip will cause inferior edema at first, eventually causing total PABK if not removed.
Toxic anterior segment syndrome (TASS) is also an acute and severe loss of the endothelium thought to be secondary to anterior chamber surgical fluids that are lethal at the cellular level. As such, severe corneal edema, iris atrophy and fibrin are seen on postop day one. Several sources for TASS have been implicated, including bacterial endotoxins, improper pH of irrigating fluids and injection of sterile water rather than balanced salt. High-dose steroids may ameliorate the damage, but these eyes often require cornea transplant.
Aphakic Bullous Keratopathy
ABK is best described as corneal decompensation in eyes without IOLs. This condition classically develops years after the original intracapsular cataract surgery in the form of the Brown-McLean syndrome. This syndrome describes a pattern of peripheral corneal edema that eventually involves the central cornea. Cell counts are greatly diminished and frank corneal edema requires transplantation. The theory behind this edema is the increased mobility of the peripheral iris without psuedophakic support. Secondary IOL implantation seems like an intuitive solution, but that has not been the authors' experience.
Failed Grafts
Failed grafts are the third most common source of endothelial failure leading to repeat transplantation. Graft endothelium suffers an inexorable decline, even without rejection episodes. The Cornea Donor Study, still in progress, reported a five-year average cell count of 775. Please remember that a 500-cell count is usually the minimum to avoid edema. These low counts can last for many years, but any insult will lead to frank failure and edema. Chronic long-term steroid drops may be helpful in maintaining adequate cell counts. The concomitant diagnosis of glaucoma, especially shunted eyes, hastens this cell loss, as does the presence of anterior chamber IOLs.
ICE Syndrome
ICE syndrome is often unilateral, accompanied by glaucoma and typically occurs in younger patients. It may present with obvious iris distortion (essential iris atrophy), predominant cornea edema (Chandlers) or iris nodules (Cogan-Reese, Figure 4). Peripheral synechiae are usually present in all forms and thus account for the very high incidence of glaucoma.
Figure 4. Postop Cogan-Reese ICE after successful DSAEK.
The pathology is an abnormal transformation of the endothelial cells, with proliferation, not cell loss, almost like a down-growth picture. These sheets of abnormal cells are progressive and destructive. Corneal decompensation and glaucoma are the typical end result. The etiology of this condition is unknown, but a possible viral link has been theorized.
In a similar vein, posterior polymorphous dystrophy is genetic, asymmetric or unilateral and rare to cause symptoms in the authors' experience. It too is a result of abnormal endothelial cell proliferation, but in an epithelial-like manner. Typically, train-track lesions are noted at the slit lamp. They are much less aggressive than ICE and a very rare cause of corneal decompensation.
CHED (congenital hereditary endothelial dystrophy) is a rare, genetically caused (recessive-at birth/dominant-juvenile) condition of bilateral cornea edema that requires high-risk transplantation.
Cell Loss and Newer Treatments
Any insult of the endothelium will result in cell loss and edema. This includes viral endothelialitis, typically in the form of herpes simplex virus, herpes zoster virus or cytomegalovirus. Chronic iritis of any origin can deplete the endothelial cell count to the point of frank edema. Blunt trauma typically causes a circumscribed area of edema, which usually clears with a normal endothelial reserve. Any surgical procedure, even laser iridotomy, can be destructive enough to cause corneal decompensation. In fact, laser iridotomy is second only to cataract surgery as the cause of corneal decompensation in the Far East.
The recent and rapid adoption of focused lamellar surgery, (i.e., repairing or replacing only the diseased or damaged corneal layers) has recently revolutionized the field of corneal transplantation. While the "gold standard" of penetrating keratoplasty (PKP) is still indicated for many corneal conditions that involve multiple layers, Descemet's stripping automated endothelial keratoplasty (DSAEK) has quickly replaced PKP in the treatment of endothelial diseases that require surgery.
By peeling off the diseased layers of just Descemet's/endothelium and replacing it with a donor layer comprised of a stromal carrier with healthy Descemet/endothelium through a small clear cornea incision, DSAEK provides a more predictable, quicker and superior quality of visual recovery. These outcomes are made possible by eliminating the full-thickness trephinations and long-term sutures necessary in PKP surgery, even when PKP is performed with the femtosecond laser.
Late-term dehiscence trauma, suture abscesses, neurotrophic surface keratitis and open-sky surgical disasters are now rare events rather than commonplace occurrences and worries. Further refinement, even including eliminating the stromal carrier in a procedure named DMEK (Descemet's membrane endothelial keratoplasty), may further increase the quality and speed of visual recovery.
The surgeon learning curve is clearly related to the initially increased donor dislocations, primary failure and endothelial loss. Fortunately, longer postop DSAEK endothelial studies reveal a leveling off of the accelerated cell loss and by year three postop, the cell loss is actually less than with PKP.
Looking Ahead
It is anticipated that the future treatment of endothelial dysfunction and cell loss will be biological rather than surgical. Endothelial cell cultures and cellular growth factors are two promising avenues to replenish the normal nonproliferating endothelial cell population. OM
|
Mark Gorovoy, MD, is in practice at Gorovoy MD Eye Specialists in Fort Myers, Fla. Stacey Gorovoy, MD, is a second-year ophthalmology resident at Tulane University. Dr. Mark Gorovoy is a widely recognized pioneer in partial corneal transplant surgery and is the developer of Descemet's stripping automated endothelial keratoplasty. |







