The Longevity Revolution
Reviewing the impact of increasing lifespan on the choice of lifestyle-enhancing intraocular lenses.
By Jay S. Pepose, MD, PhD
Life expectancy in the United States has increased dramatically.1 Individuals born in the U.S. in 1900 had a life expectancy of 47.3 years versus nearly 78 years today—a 64% increase.2 Increased life expectancy and a comparatively more energetic lifestyle means that the average American can expect to live 20-25% of our lives in active retirement.
The first wave of baby boomers reached retirement age this year and 10,000 baby boomers will reach age 65 every day for the next 19 years. The fastest growing segment of the population is comprised of those over the age of 85—with a growth rate twice that of those 65 to 74 and nearly four times that of the entire population. This segment now represents 10% of those over age 65 and will more than triple from over 5.7 million this year to 19 million by 2050. This article analyzes the significance that this increase in longevity may have when selecting a presbyopia-correcting IOL.
Reduced Contrast Sensitivity and Aging
Contrast sensitivity is an essential component of pattern recognition.3 Good contrast sensitivity is integral to perfoming many daily tasks and functions, such as discerning facial expression, descending stairs and pouring coffee.
Just as the performance of an athlete generally declines with advancing age, contrast sensitivity also declines with each decade of life.3,4 This age-associated loss is the cumulative result of advancing lenticular density, ocular scatter, progressive miosis, senescent neural changes, ocular aberrations and loss of the youthful offset of positive corneal spherical aberration by the aging lens.3-9
Recent studies by Hayashi and colleagues10 confirm that contrast sensitivity decreases with each decade of life, even in pseudophakes tested at the same pupil size. This study of contrast sensitivity and age in patients with pseudophakos thereby controls for confounding age-related changes in the crystalline lens that can also reduce contrast thresholds. It further substantiates that there is an independent reduction in the neural aspect of spatial contrast resolution with advancing age, negatively impacting an essential component of pattern recognition.
The effect of reduced contrast sensitivity on a complex task, such as night driving, is further compounded by other age-related deficiencies in visual processing. Age is associated with reduced contrast sensitivity to low spatial frequency targets presented under rapid temporal modulation (e.g. flicker), prolonged time for dark adaptation, impaired motion perception and slower visual processing speed.3 The latter refers to older individuals requiring more time than younger ones to detect, discriminate, recognize or identify visual targets. Slower visual processing speed has been associated with a greater automobile crash risk11-13, and fall risk, and motility problems, such as transitioning from sitting to standing and requiring increased time to complete typical everyday visual tasks.3
Reduced Contrast Sensitivity and Ocular Disease
There are a number of ocular diseases that negatively influence contrast sensitivity. Recent studies14,15 of diabetic patients show a decrease in foveal contrast sensitivity independent of lens changes and prior to the detection of structural retinal changes on OCT or fundus biomicroscopy. Glaucoma has also been shown to decrease foveal contrast sensitivity,16 while AMD,17 myopic degeneration and epiretinal membranes (ERM) all reduce contrast.
A healthy tear film has sufficient surface tension to mask the many microscopic irregularities of the ocular surface. Dry eye syndromes unveil these irregularities, resulting in both ocular scatter and higher-order aberrations.
Prevalence of Age-related Ocular Diseases That Reduce Contrast Sensitivity
Diabetes affects approximately one in five (18.7%) persons aged 65 or greater, many of whom are undiagnosed. As the U.S. population ages, the impact of diabetes and diabetic retinopathy (Figure 1) will intensify, even more so if there's not a reversal of the obesity epidemic.18 Of particular import, the largest increases in diabetes are expected among adults over 75 years, projected to affect 4.4 million women and 4.2 million men by 2050. As mentioned previously, diabetes negatively impacts contrast sensitivity independent of lens changes prior to the onset of detectable retinal pathology on ophthalmoscopy or OCT imaging.14,15
Figure 1. OCT demonstrates diabetic macular edema. Reduced contrast sensitivity can be detected even prior to retinal changes becoming visible on OCT or ophthalmoscopy.
It is estimated that AMD, which compromises contrast sensitivity, is the cause of 54.4% of overall visual impairment among Caucasians. The Beaver Dam Eye Study19 revealed that the 15-year cumulative incidence of early AMD in those over 75 years of age at baseline is 24%. The AREDS study20 found that 20.2% of individuals with early stage AMD progressed to advanced disease over a 5-year period at a rate of 4.0% per year.
During a 12.7-year follow-up, 40.6% of highly myopic eyes developed progression of the myopic maculopathy, including diffuse atrophy, lacquer cracks and choroidal neovascularization.21
The Beaver Dam study22 showed that the prevalence of glaucoma increased with age from 0.9% in people 43 to 54 years of age to 4.7% in people 75 years of age or older.
The prevalence of dry eye also increases with age, affecting 5.7% of women greater than 50 years old versus 9.8% of women greater than 75 years old. The age-adjusted prevalence of dry eye in women at least 50 years of age was 7.8% or 3.23 million women in the United States.23
Preoperative Screening
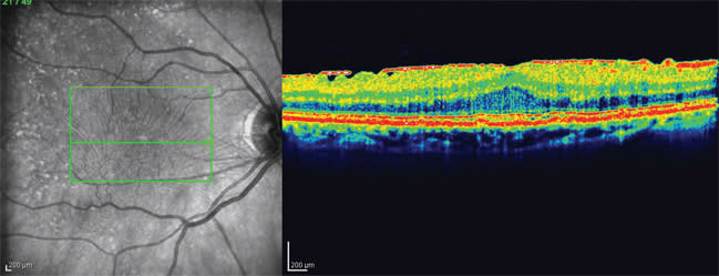
It may be possible to attempt to prescreen for macular pathology, glaucoma and dry eye prior to cataract extraction. The use of a Retinal Acuity Meter (AMA Optics) may be helpful in detecting functional deficiencies in potential retinal acuity in cataract patients with 20/200 vision or better.24 OCT scans of the retina and optic nerve may help in the detection of maculopathies, epiretinal membranes (Figure 2) and glaucoma. For example, of 45 patients referred for cataract extraction prospectively evaluated by OCT, epiretinal membranes were noted in 7 (15.6%). Most ERM (particularly cellophane maculopathy) were not visible by ophthalmoscopy alone. Visual acuity in eyes with ERM was worse than in contralateral eyes without.25
Figure 2. An epiretinal membrane is demonstrated by OCT, with concomitant retinal distortion. Even gossamer thin epiretinal membranes can be associated with reduced contrast sensitivity.
Dry eye testing by determination of tear osmolarity, vital dye staining and tear break up time may detect the presence of dry eye syndromes and its effect on visual function.26
Ocular Disease Following Cataract Extraction
No matter how careful one may be in preoperative examination and testing, it is not possible to accurately foretell whether a cataract patient will develop future ocular comorbidities. A prospective study27 of patients 2 years following cataract extraction shows that new systemic disease affected 18.4% of patients and that new ocular disease (other than posterior capsular opacity) affected 7.2%. Another prospective study28 following patients 2 years after uncomplicated cataract extraction indicated that a loss of 2 lines or more of pinhole visual acuity was associated with the following comorbidities besides PCO: AMD, glaucoma, diabetic retinopathy, branch retinal vein occlusion, epiretinal membrane, macular hole, myopic retinopathy and optic atrophy.
It is clear that the prevalence of macular degeneration, myopic degeneration, epiretinal membranes, diabetic retinopathy, glaucoma and dry eye will increase with ensuing years following cataract surgery, and that some of these conditions may require additional surgical intervention. There are three reports in the literature29-31 describing difficulty in visualizing the retina during vitreoretinal surgery and epiretinal membrane peeling in patients implanted with refractive and diffractive multifocal IOLs.
Impact of Increasing Life Span on Choice of Lenses
We have established that a number of prevalent age-related diseases reduce contrast sensitivity, that age itself reduces neural contrast sensitivity even in pseudophakes, and that pupil size generally decreases with each decade of age.32 How might these factors impact the choice of presbyopia-correcting IOLs?
The distribution of light energy between near and far foci (and useless foci) with apodized diffractive IOLs such as Restor (Alcon) will vary dramatically based on photoptic and mesopic pupil size, shape and dynamics. For example, the performance of a Restor 3.0 IOL in a patient implanted at age 59 with a pupil diameter that ranges from 6 mm when night driving and 3 mm when reading in moderate light may be quite different when that patient turns 79 and has a pupil that is 2.5 mm in ambient lighting, 1.5 mm when reading and 3.5 mm when driving at night. The effect of progressive “senile” miosis and changes in pupil dynamics with each decade of life must be factored into the future performance of some multifocal IOLs. While aggregate data32 describes average age-related reduction in pupil size, it is difficult to anticipate the effect of age, future medications or systemic diseases on an individual patient's pupil size and dynamics with any degree of certainty.
Whereas family history of ocular disease, concurrent systemic diseases, genetic markers and habits such a smoking may represent assessable risk factors for developing some ocular comorbidities, such as AMD, it's not possible to know with a high degree of certainty whether a 68-year-old patient with no signs of AMD or epiretinal membrane may develop these conditions over the next 10 years (i.e., the current average U.S. life expectancy). We do know that as an independent variable, advancing age itself reduces contrast sensitivity, dark adaptation, temporal sensitivity, motion detection and visual processing speed.
In considering IOLs that may further reduce this waning contrast sensitivity, the FDA has placed the following warning label on the package insert of multifocal IOLs: “Some visual effects may be expected due to the superposition of focused and unfocused multiple images. These may include some perceptions of halos or radial lines around point sources of light under nighttime conditions. A reduction in contrast sensitivity as compared to a monofocal IOL may be experienced by some patients and may be more prevalent in low lighting conditions. Therefore, multifocal patients should exercise caution when driving at night or in poor visibility conditions.”
Factoring Uncertain Risks Into the Choice of an IOL
Given the extended life expectancy currently enjoyed in the United States,1 along with the increased prevalence of age related ocular comorbidities that may further reduce contrast sensitivity, how should these factor in when choosing between multifocal IOLs that further reduce contrast sensitivity33,34 as compared to an accommodating IOL (e.g. Crystalens AO), which does not?
Different presbyopia-correcting IOLs have exploited varying strategies to enhance depth of focus. These are associated with different compromises with regard to near and intermediate visual acuity, halos, optical scatter and other aspects of visual quality.35 Each IOL has inherent strengths and weaknesses and possesses iterative improvements in comparison to their predecessors. When choosing a specific presbyopia-correcting IOL, the surgeon must assess the patient's current condition and also try to predict future comorbidities in deciding whether to implant an IOL that may reduce contrast sensitivity in exchange for greater depth of focus. As an accommodating IOL, Crystalens AO does not split light between multiple foci or reduce contrast sensitivity as compared to a multifocal IOL. As far as concerns about the potential impact of changes in the capsular bag with age on the mechanism of action of Crystalens, long-term studies by Drs. Doane and Colvard of the performance of Crystalens at 3 and 7 years post-implantation show no diminution of effect at intermediate or near vision.
We are enjoying the benefits of the “Longevity Revolution.” In weighing the risks and benefits of multifocal versus accommodating IOL options, we need to consider the effect of our patient's increased life span along with the increasing risk of developing ocular comorbidities that may both conspire to reduce contrast sensitivity.
REFERENCES
1. Centers for Disease Control and Prevention (CDC). Ten Great Public Health Achievements—United States, 2001-2010. MMWR Morb Mortal Wkly Rep. 2011;60:619-623.
2. National Center for Health Statistics. Health, United States, 2010: with special feature on death and dying. Hyattsville, MD: CDC, National Center for Health Statistics, 2011. Available at http://www.cdc.gov.beckerproxy.wustl.edu/nchs/hus.htm. Accessed May 16, 2011.
3. Owsley C. Aging and vision. Vision Res. 2010 Oct 23. [Epub ahead of print].
4. Owsley C, Sekuler R, Siemsen D. Contrast sensitivity throughout adulthood. Vision Res 1983;23:689–699.
5. Owsley C, Gardner T, Sekuler R, Lieberman H. Role of the crystalline lens in the spatial vision loss of the elderly. Invest Ophthalmol Vis Sci 1985; 26:1165–1170.
6. Nomura H, Ando F, Niino N, Shimokata H, Miyake Y. Age-related change in contrast sensitivity among Japanese adults. Jpn J Ophthalmol 2003; 47:299–303.
7. Jackson GR, Owsley C, Cordle EP, Finley CD. Aging and scotopic sensitivity. Vision Res 1998;38:3655–3662.
8. Jackson GR, Owsley C. Scotopic sensitivity during adulthood. Vision Res 2000; 40:2467–2473.
9. Artal P, Guirao A, Berrio E, Williams DR. Compensation of corneal aberrations by the internal optics in the human eye. J Vis 2001;1:1-8.
10. Hayashi K, Yoshida M, Manabe S, Hayashi H. Comparison of visual function between phakic eyes and pseudophakic eyes with a monofocal intraocular lens. J Cataract Refract Surg 2010;36:20–27.
11. Cross JM, McGwin G, Rubin GS, et al. Visual and medical risk factors for motor vehicle collision involvement among older drivers. Br J Ophthalmol 2009;93: 400-404. 12. Owsley C, Ball K, McGwin G, et al. Visual processing impairment and risk of motor vehicle crash among older adults. JAMA 1998; 279:1083-1088.
13. Rubin G S, Ng E S, Bandeen-Roche K, Keyl PM, et al. A prospective, population-based study of the role of visual impairment in motor vehicle crashes among older drivers: The SEE study. Invest Ophthalmol Vis Sci 2007;48:1483-1491.
14. Katz G, Levkovitch-Verbin H, Treister G, et al. Mesopic foveal contrast sensitivity is impaired in diabetic patients without retinopathy. Graefes Arch Clin Exp Ophthalmol 2010; 248:1699-1703.
15. Georgakopoulos CD, Eliopoulou MI, Exarchou AM, Tzimis V, Pharmakakis NM, Spiliotis BE. Decreased contrast sensitivity in children and adolescents with type 1 diabetes mellitus. J Pediatr Ophthalmol Strabismus. 2011;48:92-97.
16. Lahav K, Levkovitch-Verbin H, Belkin M, et al. Reduced mesopic and photopic foveal contrast sensitivity in glaucoma. Arch Ophthalmol 2011;129:16-22.
17. Kleiner RC, Enger C, Alexander MF, Fine SL. Contrast sensitivity in age-related macular degeneration. Archives of Ophthalmology 1988;106:55-57.
18. Wild S, Roglic G, Green A, et al. Global prevalence of diabetes. Diabetes Care 2004;27:1047-1053.
19. Klein R, Klein BEK, Knudtson MD, et al. Fifteen-Year Cumulative Incidence of Age-Related Macular Degeneration: The Beaver Dam Eye Study. Ophthalmology 2007;114:253-262.
20. Age-Related Eye Disease Study Research Group. A randomized, placebo-controlled, clinical trial of high-dose supplementation with vitamins C and E, beta-carotene, and zinc for age-related macular degeneration and vision loss. Arch Ophthalmol 2001;119:1417-1436.
21. Hayashi K, Ohno-Matsui K, Shimada N, et al. Long-term pattern of progression of myopic maculopathy. Ophthalmology 2010;117:1595-1611.
22. Klein B, Klein R, Spinsel WE, et al. Prevalence of glaucoma. The Beaver Dam Eye Study. Ophthalmology 1992;99:1499-1504.
23. Schaumberg DA, Sullivan D, Buring JE, Dana R. Prevalence of dry eye syndrome among US women. Am J Ophthalmol 2003;136:318-326.
24. Vianya-Estopa M, Douthwaite WA, Noble BA, Elliott DB. Capabilities of potential vision test measurements. Clinical evaluation in the presence of cataract or macular disease. J Cataract Refract Surg 2006;32:1151-1160.
25. Contreras I, Noval S, Tejedor J. Use of optical coherence tomography to measure prevalence of epiretinal membranes in patients referred for cataract surgery. Arch Soc Esp Oftalmol 2008;83:89-94.
26. Lemp MA, Bron AJ, Baudouin C, et al. Tear osmolarity in the diagnosis and management of dry eye disease. Am J Ophthalmol. 2011;151:792-798.
27. Sze-un Fong C, Mitchell P, Rochtchina P, et al. Sustainability of visual acuity in the first 2 years after cataract surgery. B J Ophthalmol 2011. Epub ahead of print.
28. Thompson AM, Sachdev N, Wong T, et al. The Auckland Cataract Study: 2 year postoperative assessment of aspects of clinical, visual, corneal topographic and satisfaction outcomes. Br J Ophthalmol 2004;88:1042-1048.
29. Luttrull JK, Dougherty PJ. Acrylic multifocal IOLs. J Refract Surg 2007;23:329-330.
30. Mainster MA, Reichel E, Warren KA, Harrington PC. Ophthalmoscopy and vitreoretinal surgery in patients with an Array refractive multifocal lens implant. Ophthalmic Surg Lasers 2002;33:74-76.
31. Yoshino M, Inoue M, Kitamura N, Bissen-Miyajima H. Diffractive multifocal intraocular lens interferes with intraoperative view. Clin Ophthalmol 2010;4:467-469.
32. Yamaguchi TMD, Dogru M, Yamaguchi K, et al. Effect of spherical aberration on visual function under photopic and mesopic conditions after cataract surgery. J Cataract Refract Surg 2009; 35:57-63.
33. Pepose JS, Qazi MA, Davies J, et al. Visual performance of patients with bilateral vs combination Crystalens, ReZoom, and ReSTOR intraocular lens implants. Am J Ophthalmol. 2007;144:347-357.
34. Gil MA, Varon C, Rosello N, Cardona G, Buil JA. Visual acuity, contrast sensitivity, subjective quality of vision, and quality of life with 4 different multifocal IOLs. Eur J Ophthalmol. 2011 Epub ahead of print.
35. Pepose JS. Maximizing satisfaction with presbyopia-correcting intraocular lenses: the missing links. Am J Ophthalmol 2008;146:641-648.
Dr. Pepose is Director of Pepose Vision Institute and Professor of Clinical Ophthalmology, at the Washington University School of Medicine, St. Louis, Mo. He is a consultant to Bausch + Lomb.







