The TASS Outbreak: Five Years Later
Preventive measures have been key, but sporadic cases persist.
By Jerry Helzner, Senior Editor
In late 2005 and early 2006, troubling reports from cataract surgeons in all parts of North America increased to a flood tide. The reports, which eventually came from more than 100 clinics, indicated that hundreds of cataract surgeries initially thought to be routine and uneventful were within 12 to 48 hours turning into nightmarish cases characterized by blurred vision, inflammation, significant corneal edema and endothelial cell damage. In many cases, hypopyon with associated fibrin and/or severe damage to the iris were present.
The surgeons who reported these cases were both fearful and puzzled. Some, thinking the problem was endophthalmitis, quickly turned to retinal specialists for help—but, unlike endophthalmitis, this new disease was characterized by early onset, little or no pain and no vitreous involvement. Others suspected a new type of infection, but antibiotics were ineffective. In response to this new scourge, Nick Mamalis, MD, of the Moran Eye Center of the University of Utah, and Henry Edelhauser, MD, of Emory University, quickly enlisted the support of the American Society of Cataract and Refractive Surgery and formed an ad hoc task force to find the cause of the outbreak.
“We put together a very well-rounded group representing a number of different areas of expertise,” Dr. Mamalis told Ophthalmology Management recently. “We had physicians, nurses, techs and representatives from industry, the Center for Disease Control and the FDA.”
This article will examine how well the task force succeeded in three key areas: (1) identifying the causes of the initial outbreak and suggesting a course of treatment (2) recommending preventive measures surgical centers could take to head off future outbreaks, and (3) setting up a reporting system to track and respond to any additional cases that have occurred in the past five years. We will also hear from top cataract surgeons and their thoughts on TASS prevention.
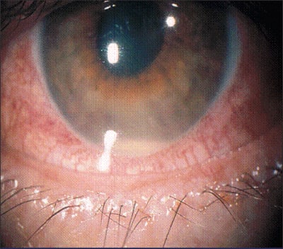
Anterior segment inflammation with hypopyon formation. IMAGES COURTESY OF THE JOURNAL OF CATARACT AND REFRACTIVE SURGERY
The Search for a Cause
The term Toxic Anterior Segment Syndrome (TASS) and the symptoms associated with this disease were already known when the task force was formed in early 2006. The earliest mention of the disease and its accompanying symptoms occurred in the 1980s and was described somewhat incorrectly as “sterile postoperative endophthalmitis.” It was renamed TASS by researchers in the 1990s and described then as an acute condition following anterior segment surgery—a sterile postoperative inflammation due to accidentally introducing a noninfectious foreign substance into the anterior chamber that rather quickly causes toxic damage to tissues. Interestingly, most cases of TASS are eminently treatable with a short course of topical steroids every half-hour or hour if caught early. However, neglected and/or serious cases can cause such complications as glaucoma, vision loss and the need for corneal transplant.
Thus, the newly named TASS Task Force had a good idea of what it was dealing with when it began to sift through reports from 113 different North American ophthalmic surgical centers in early 2006.
A key initiative of the Task Force was to conduct site visits to the affected centers in an attempt to determine what the root cause or causes of the outbreak could be. Another important step was the establishment of a Web-based reporting system so that surgeons could immediately alert the Task Force to new cases.
Atrophic iris with dilated, slightly irregular pupil.
In conducting the site visits, the Task Force focused on such areas as instrument cleaning and maintenance, sterilization, the use of enzymatic cleaners, the re-use of cannulas and single-use devices, and using ultrasonic baths to clean instruments. In addition, site visitors looked for associations between fluids/medications used during cataract surgery and resulting TASS outbreaks. One early clue was that using balanced salt solution (BSS) with preserved epinephrine occurred in 52% of the surgical centers that reported cases of TASS. Almost a third of the centers in the initial TASS reports had been using topical anesthetic agents with preservatives.
What the Task Force Found
As Dr. Mamalis wrote in an editorial in the July 2010 issue of the Journal of Cataract and Refractive Surgery, “extensive analysis of the outbreak did not find a single factor involved in the TASS cases but did find multiple potential factors, the most common involving the cleaning and sterilization of ophthalmic instruments.” The editorial accompanied a comprehensive review of the work of the TASS Task Force from 2006 to 2010 in the same issue, with the lead author Carolee M. Cutler-Peck, MD, MPH, and the members of the Task Force as co-authors.
In the editorial, Dr. Mamalis went on to write that the Task Force's work “culminated in a special report on recommended practices for cleaning and sterilizing intraocular surgical instruments to prevent the recurrence of TASS.”
After analyzing the 2006 outbreak, the Task Force created two questionnaires that surgery centers can fill out to assist in analyzing TASS outbreaks. One questionnaire deals with the cleaning and sterilization of ophthalmic instruments (reproduced at the end) and the other addresses the use of specific products and medications during anterior segment ophthalmic surgery. The questionnaires can be accessed, filled out electronically and submitted from www.ascrs.org/TASS/instrument-Re-processing-Product-Questionnaire-Survey.cfm.
“Our figures reveal that from 2006 to 2010, there were 909 cases of TASS that were self-reported to our Web sites out of more than 50,000 procedures that these reporting centers performed,” notes Dr. Mamalis. “Site visits to 54 surgery centers revealed another 367 cases out of 143,919 total procedures.”
The good news is that in compiling the TASS figures from the site visits, the Task Force found that 61% of the cases were identified in the early part of 2006, indicating that Task Force recommendations had a positive effect on reducing the number and frequency of these cases.
“We have seen no major outbreaks of TASS since 2006,” says Dr. Mamalis. “We are back to the pre-2006 baseline in terms of numbers of reported cases. We do continue to receive reports of TASS but it is sporadic.”
Dr. Mamalis says that when surgery centers initiated the instrument cleaning/sterilization recommendations of the TASS Task Force, “the vast majority reported successful prevention of TASS.”
In retrospect, he believes that cataract surgeons tended to not get involved in monitoring instrument cleaning and sterilization procedures prior to the TASS outbreak.
“These procedures were usually left to techs,” he notes. “The doctors may not have been aware of the dangers. TASS prevention is now being taught in residency programs.”
One preventive measure that has always been within the realm of the surgeon is to switch from reusable cannulas to single-use cannulas that are only used once. In its analysis of the TASS outbreak, the Task Force specifically noted that one of major suspected causes of TASS is the inadequate cleaning of cannulas and phaco and I/A handpieces.
Vigilance is Key
Following the initial work of the TASS Task Force, a joint AAO/ASCRS task force took up the issue of what constitutes appropriate and effective sterilization.
The Task Force on Ophthalmic Sterilization, chaired by Richard Abbott, MD, and Brad Shingleton, MD, was concerned with a number of issues, including basic sterilization procedures for specific instruments and sterilizers, TASS prevention and ending the use of the vague term “flash sterilization,” which was confusing and ill-defined. Dr. Abbott says all of these issues are essentially inter-related.
The recommendations of the Task Force on Ophthalmic Sterilization were published in 2009 and can be accessed at www.ascrs.org/TASS/upload/TASS_guidelines-CBC.pdf.
The highly respected and experienced cataract surgeons contacted by Ophthalmology Management for this article say they have made TASS prevention a high priority. This includes surgeons who have experienced no cases of TASS in their own patients.
Recommendations From Surgeons
“The prevention of TASS is very much like preventing an automobile accident—you'll never know how many disasters you averted in your lifetime by taking the proper preventive steps,” says Robert Rivera, MD, of Phoenix. “All we can do is remain vigilant, compulsive and meticulous in our approach to intraocular surgery. We have not suffered from any outbreaks of TASS, yet have always modified and adapted our protocols to comply with current opinion. I suppose that means we'll still never know how many cases we've prevented, but it's best to be with the rest of the crowd in the event we suddenly did encounter an outbreak.”
And this from Uday Devgan, MD, FACS, of Los Angeles.
“We have revised our OR process so that we follow the guidelines,” says Dr. Devgan. “In addition, I am very careful to minimize (or even avoid) the use of ‘homemade' medications that are used in the eye. If we're injecting intracameral antibiotics and the staff person has erroneously prepared the solution, the most common mistake is usually shifting a decimal so that the resultant solution is 10x stronger than it should be. These solutions can be a potential source for TASS.”
Also, Dr. Devgan asserts that surgical instruments must be cleaned properly so that no dried viscoelastic, tissue bits, dried blood or other materials are adherent. He says small 27-g cannulas should be discarded after each case.
“In summary, I arrange to do every case as if I was operating on my own family members,” Dr. Devgan concludes. “This means added costs since we're using more single-use disposable things and ordering any medications from an ophthalmic compounding pharmacy instead of making them ourselves.”
David Chang, MD, of Los Altos, Calif., offers this comment.
“One of the conclusions that the ASCRS TASS Task Force came to is that residual detergent and enzyme used to clean instruments was a common potential cause of TASS. Many centers now avoid using these cleaning agents on ophthalmic instruments, particularly those with lumens, because of the risk of TASS.”
Dr. Chang says detergent and enzymatic cleaning primarily makes sense when there is significant biological soiling of instruments—something that is quite minimal with cataract surgery.
“ASCRS was able to clarify with CMS that with respect to instrument cleaning and sterilization policies and ASC conditions for coverage, an ASC could select guidelines developed by a specialty surgical society, such as ASCRS. These ophthalmology-specific guidelines can be found on the ASCRS Web site through the “position papers & guidelines” link under Member Services, and are the ones that we have adopted at our single-specialty ASC.”
And from Steven Silverstein, MD, FACS, of Kansas City.
“We, thankfully, have never had a case of TASS in our ASC,” he notes. “Yet, we have since doubled our efforts to ensure that every step in the ASC is performed to the highest current standards of which we are aware. We read literature pertaining to suspected cases in other centers, and use this as an opportunity to internally audit our own procedures in sterilization, handling and use of instruments, and purchase of name brand products, especially medicines or agents of any kind which will be used pre-, intra- and postoperatively.”
Diffuse limbus-to-limbus corneal edema.
Dr. Silverstein says this last point is especially important, as he notes that more and more “cheaper” generics and knock-off disposable products permeate the market.
“It is critical that any reusable instrument that has a lumen be autoclaved for a full cycle—not a three-minute flash,” he advises. “Lastly, we do not routinely use the small-drawer, single-set autoclaves except as back up. There has been anecdotal information to suggest a higher proportion of TASS after using this type of autoclave.”
And, finally, from Michael Korenfeld, MD, of St. Louis:
“TASS is really scary for the patient and doctor, in that order,” says Dr. Korenfeld. “It is true that it can be caused by many things, but most of those things relate to residues of one sort or another on the external and internal surfaces of surgical instruments. There is an especially big concern for instruments that have internal working parts, where these residues are more likely to deposit, due to surface tension alone. It is far easier to clean the residues from the outside of surgical instruments.”
Dr. Korenfeld notes that some companies have made a concerted effort to make their more complicated surgical instruments more cleanable. One he mentions is ASICO, which has an I/A handpiece that disassembles, so that the lumens and crevices can have greater flow during the cleaning process. Another company, Katalyst Surgical, has the Isoclean line of instruments with internal working parts and a novel feature that allows you to place a male Luer connector into the distal end of the instrument and flush the entire lumen and all working parts without having to disassemble the instrument.
“Both of these company's strategies are in the right direction to reduce the incidence of TASS, and using instruments that have these features, as opposed to instruments that do not, is the best way I have found to reduce my patients' risk of TASS,” asserts Dr. Korenfeld.
On Their Guard
With ASCRS, AAO, OOSS and top cataract surgeons paying this kind of close attention to TASS prevention, it behooves every general ophthalmology practice to make sure that all staff and physicians are trained and on their guard so that the outbreak of 2006 becomes only a distant memory. OM
QUESTIONNAIRE COURTESY OF ASCRS







