Mini-shunts vs. Traditional Shunts in Practice
Which to use: when and why.
By Yara Catoira-Boyle, MD
The recent Tube vs. Trab (TVT) study, which could be interpreted or misinterpreted in many ways, opened the door to a very interesting question:1 Why do we leave tube shunts to be used later in the algorithm of glaucoma treatment? Or, another way to ask the same question: Why do we sometimes wait so long to place a tube shunt that the disease gets to the point where just about anything we could do would fail anyway?
I think in many ways the answer relates to history. The tube shunts we use today were developed and slowly adopted by glaucoma specialists after trabeculectomy was already a routine procedure. Consequently, being the conservative group we are as glaucoma specialists, we felt for a long time that we could not — or should not — be inserting these “newfangled” devices into patients' eyes. Or at least, not until we had proven for sure that the time-tested trabeculectomy (one or two or three of them) had failed for good. Or, until we had good, sound evidence that the tube shunt option was the better choice at a certain stage of the disease.
Here, I will discuss the relative merits of the traditional tube shunt and the Express glaucoma filtration device (commonly called a mini-shunt) in specific cases and explain how I make my choice.
Using Tube Shunts Sooner
Who's idea was it to try to use tubes a little earlier than what had previously been recommended? I don't know, but I suspect a lot of people had the same idea brewing in their minds before a randomized clinical trial finally was designed to test the waters.
I will confess, I had that idea myself, right out of my fellowship in 2002. I also confess that I started implanting primary tube shunts without any rock-solid “evidence” as soon as I started my career as a glaucoma specialist.
My main indication for inserting a tube shunt was when the patient was not a good candidate for a trabeculectomy and needed surgical management to lower intraocular pressure. I would not call myself a pioneer; I just did not feel “right” about performing a trabeculectomy in certain patients. The TVT study has more recently shed additional light onto the complications of this surgery — which obviously I got to see as a glaucoma fellow.2 As a younger physician, it was difficult to look a patient in the eye and suggest a procedure and discuss the possible complications in depth. I could almost hear myself saying to the patient: “Basically, you might go blind slowly, or we could speed up the process with this surgery.”
In my book, some contraindications to trabeculectomy were:
► Elderly patients with concomitant medical conditions that would preclude them from following instructions and complying with visits as often as I recommended.
► Patients at high risk of hypotony; for example, younger high myopes.
► Monocular patients.
► Contact lens wearers.
Where my results do not totally coincide with the TVT study is in the excellent IOP control that the researchers obtained with their tube group.
Although there are no studies to support my preference, in trying to avoid complications such as hypotony I have almost exclusively used Ahmed valves for most of my career; as you probably know, the TVT study used the Baerveldt 350. So I am not surprised about the difference in intraocular pressure results. Subsequently, I slowly became disappointed with the IOP control of my primary tube surgeries. Gladly, I can also say I do not recall any devastating complications with my tube shunt cases. One particularly stressful case that comes to mind is a patient in which I had to remove an Ahmed valve due to diplopia. I got lucky in this case because this patient, who was pseudophakic with 20/15 vision, had steroid-response glaucoma (intravitreal kenalog for vein-occlusion-related macular edema). Thus, the IOP stayed down after I removed the Ahmed — and the patient continued to like me.
Enter the Mini-Shunt
Consequently, as I continued to actually see patients get worse and tube shunts not control their IOP well enough, I moved on to a procedure that, to me, ensured safety but still low IOPs, the Express mini-shunt. The device is, in my opinion, an augmented or improved trabeculectomy. It allows me to get to lower pressures in a more controlled fashion. It makes my surgery quicker, the first postoperative day more predictable and the rate of complications lower.
Currently I use the mini-shunt for most of my primary surgeries. I have used the P-50 and R-50 interchangeably with similar results. I have also used the P-200 on a few occasions in primary surgeries, when end-stage glaucoma was progressing at IOPs in upper single digits or low teens. Usually, those patients have very thin corneas (<500 microns), but also at times they have the “real” normal-pressure glaucoma, in which lowering IOP at times does not control the disease. I do discuss that with them as well. It is interesting that a recent paper showed that the in vitro flows through the P-50 and R-50 are the same, despite the difference in length.3 I do agree with the theoretical advantage of the posterior groove in the plate on the P-50 model, but I have not studied the difference in results or seen any publication on it.
Making the Choice
When do I use a primary tube shunt? First, I will say that I have now used non-valved shunts more and more in search of the lower IOPs. I have used both Baerveldt 250 and the new Molteno 3; I have not used the Baerveldt 350.
As I look back on my own experience with indications for tube shunts, I can see a clear pattern. When I finished my fellowship, I felt that tube shunts were a better alternative for most patients than a trabeculectomy; I performed more primary tube shunts then. With the advent of the mini-shunt and my preference for that procedure, my primary tube shunt implantations dropped off for awhile. As I review my experience since 2008, or after I started using the mini-shunt routinely, I have refined my recommendations for when to perform “early” tube shunt surgery. These cases include:
■ Uveitic and neovascular glaucoma. For uveitic, I always still choose the Ahmed valve, while for neovascular I prefer the non-valved tubes.
■ Very high baseline IOP. More and more of those patients in my practice seem to come from patients receiving repeated Lucentis/Avastin injections for age-related macular degeneration. In those cases, especially if the patient does not have glaucoma, the target IOP is not very low, making them ideal patients for tube shunts.
■ Steroid-response glaucoma. This condition is often short lived and also presents often with very high IOP. A tube shunt can control the IOP and often the severe spike resolves with time, when the tube shunt enters the hypertensive phase.
■ When we don't have a healthy superior bulbar conjunctiva for an Express shunt or a trabeculectomy. These are patients with conjunctival scarring due to any etiology. It is a good habit to include on your preoperative assessment a careful look at the conjunctiva.
■ Patients who are not likely to be able to comply with visits. This includes patients who travel a long distance for the surgery, or just don't have the support system to help with visits and postoperative instructions. At times, these are elderly, but young patients who have multiple health or social problems can also fall into this category as well.
■ Patients with history of corneal transplant. It is proven that tube shunts don't do as well in patients with PKP, and that PKPs don't do as well in patients with tube shunts. There is no sequence when performing these two surgeries in which one has proven better than the other. But unfortunately, the Express is likely not a good fit when there is a shallow peripheral anterior chamber and/or peripheral synechiae. Trabeculectomy is also very likely to fail in this setting. With no great options here, corneal transplant is one of the strongest indications for tube shunt over any other glaucoma surgery at this time. Small series have shown that placing the tube in the pars plana decreases tube-related corneal decompensation.
■ Patients on strong anticoagulants have made me choose a tube shunt. The choice here is usually a valved shunt over a trabeculectomy or an Express mini-shunt when excess bleeding would lead to more likely failure. Also, these patients are at higher risk of suprachoroidal hemorrhages, even with mild hypotony or minimal valsalva maneuvers.
The issue of discontinuing blood thinners is too complex to discuss here, but I have recently reviewed a case of a patient who died of stroke three days after uncomplicated phacoemulsification for which he stopped aspirin the day prior to surgery. The patient did not have heart disease, but it was found during hospitalization that he had complete internal carotid obstruction on the side of the stroke. Likely, the plaque released an embolus.
■ Patients with a history of blepharospasm, severe squeeze reflex or a situation with very poor exposure of the superior bulbar conjunctiva (unable to infraduct the eye, very small palpebral fissure, prominent brows). These are cases where trabeculectomy postoperative care would be impossible. Another good preoperative habit is to check exposure of the superior bulbar conjunctiva.
■ Poor visual potential. These patients are often better served by a transcleral diode cyclophotocoagulation (TSDCPC), but at times I have encountered patients who did not respond to TSDCPC and/or developed severe inflammation after the procedure, and needed a tube shunt later. If there is at least counting-fingers vision, I will choose a tube shunt at that point, especially for uveitic or neovascular glaucoma where the inflammation is more likely to complicate the post-operative period.
■ Monocular patients, especially elderly, are one of my favorite groups to choose tube shunt over the Express unless there is need for IOP <12. I have a number of Ahmed valves in patients who retained IOP in low teens, sometimes with one or two drops. I believe this is due to the less vigorous scarring response.
■ Patients with narrow or synechiae-closed angle, especially if already pseudophakes. I recommend against embolus shunt on those patients. On narrow-angle glaucoma,combined surgery is my recommendation since a peripheral iridotomy is not performed with the mini-shunt and postoperative shallow anterior chamber and aqueous misdirection can result more often.
Usually in combined cases the anterior chamber deepens nicely for the Express unless there is synechiae. If there is concern for increased healing resulting in insufficiently low IOP due to the combined procedure, I recommend performing cataract surgery only first if the IOP/glaucoma status allows and mini-shunt later (when the angle is confirmed to be open). If the patient must have a combined procedure, phaco/trabeculectomy with peripheral iridotomy or phaco/tube shunt combination would be my recommendation. When performing phaco/tube shunt, the tube can be placed in the angle anterior to the iris, through the iris into the anterior chamber (use the needle from your sclera tract and go through the iris pointing anteriorly), or between the iris and the IOL (leave tube a little longer and with posterior bevel). It is imperative to perform careful gonioscopy during the preoperative evaluation.
A tube shunt can also be the best choice in the following groups of patients:
► Patients who did poorly in the contralateral eye with a trabeculectomy and did well with subsequent tube shunt.
► Patients with severe dry eye disease who can't tolerate the anterior bleb and possible (likely?) bleb disesthesia.
► Patients who want to continue to wear contact lenses, hard or soft.
► Patient preference.
Case Studies
I will illustrate my treatment choices and resulting outcomes with current patients who have presented unique challenges.
Case 1
A 56-year-old Caucasian male presented in July 2009 with IOP of 33 mm Hg OD (Cosopt, Alphagan, Lumigan) and 16 OS (on Cosopt only). Ocular history included prior trabeculectomy with early failure left eye (despite multiple 5-FU injection and bleb manipulation), followed by Baerveldt 250 implanted one month later, in 2005. There was also history of glaucoma surgery 25 years ago, both eyes. He came for second opinion of management of IOP right eye. Visual acuity was 20/20 OD, 20/25 OS, pseudophakic both eyes. Optic nerve damage was severe with cup/disc ratio of 0.9 OD and 0.7 OS, but Humphrey visual fields (HVF) were actually mostly within normal limits for both eyes.
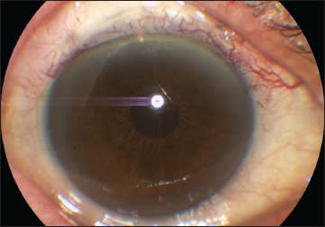
After a long discussion, the patient did not want another trabeculectomy. On exam, his lids were very tight, almost impossible to expose the superior bulbar conjunctiva. I opted for an Ahmed valve. The patient did great initially, but IOPs drifted up during hypertensive phase as high as 28, then stabilized between 15 and 19 on same maximum medical therapy (MMT) as preoperatively. Patient is now status-post (s/p) selective laser trabeculoplasty on that eye, on MMT, with IOP of 12 last visit (April 2012). HVF are still within normal limits (Figure 1).
Fig. 1. Patient's right eye in early April 2012 with IOP of 12. The iridectomy is from prior glaucoma surgery 25 years ago.
Case 2
A 57-year-old Caucasian obese diabetic female was referred to me by her retina specialist. She had had membrane peel for macular pucker with postoperative endophthalmitis, treated successfully in the right eye. The retina specialist then found that her cups were severely enlarged in both eyes and referred for evaluation.
On presentation in May 2004, she had VA of 20/400 OD due to severe cataract and 20/20 OS. HVF had severe inferior arcuate right and superior and inferior arcuates OS, c/d 0.9 OU. We removed the cataract OD and initiated topical glaucoma therapy. She soon developed one of the worst superficial keratitis presentations I have encountered due to glaucoma drops. Soon, MMT for her was Timoptic ocudose only, despite Restasis, preservative-free artificial tears and cauterization of all four puncta. IOPs were in low 20s despite SLT. Her VA used to hover around 20/50 due to severe corneal dryness. Eventually, after SLT failed to control IOP down from 20s, we decided for surgery. I elected Ahmed valves for OU. Her tubes were implanted in 2006 in both eyes and she still has borderline IOP in mid teens on Timoptic, but HVF and visual acuity are stable at 20/30 on her last visit in February 2012 (Figure 2).
Fig. 2. Patient's right eye with a supero-temporal Ahmed valve in the AC. Notice the tutoplast patch is mostly absorbed six years after surgery, but no exposure.
Case 3
A 71-year-old Asian female, with amblyopia left eye (20/200 vision) and 20/30 right eye on presentation with paracentral scotomas worse in the left eye, which is typical for normal-pressure glaucoma. She presented with IOPs of 17 OD and 18 OS with c/d of 0.9 OD and 0.95 OS on Timoptic and Lumigan. She did not respond to Alphagan or Trusopt. Once I detected progression in the left eye, we proceeded with SLT and eventually did phaco/Express/mitomycin C (MMC) in 2008, followed by phaco only for the right eye as the VF loss was not severe and not progressing. Eventually the left eye required Timoptic and Lumigan to keep IOP at 10-13 and was stabilized.
Recently, the HVF right eye was noted to worsen and IOP was up to 14. Because this is really her only good eye, I opted for Express mini-shunt/MMC as she was getting worse at very low IOP and needed single-digit pressures. She is s/p Express/MMC February 2012. I was more aggressive with looser sutures and more MMC time than with first eye. IOP has been 9-10, VA almost back to baseline of 20/30 (Figure 3).
Fig. 3. Patient's right eye six weeks s/p Express/MMC with anterior modified Condon-Wise conjunctival closure as recently presented at the 2012 AGS meeting. This is my current preferred method of closure and the fornix-based flap gives a diffuse low bleb.
Case 4
A 75-year-old African-American male, monocular due to trauma OD. His only useful eye, the right eye, had end-stage glaucoma on presentation in August 2011. VA was 20/30 through a 10-2 HVF with less than 5 degrees of remaining visual field. His IOP was 19 on Lumigan and Combigan.
He had not taken Combigan that morning, so we instilled it in the office; one and a half hours later, IOP was 13. The patient had a clear complaint of worsening and dimming vision, despite recent phaco/IOL by his general ophthalmologist. After SLT, IOP was 8-9, but patient was still complaining of worsening vision. I recommended Express shunt/MMC, and used the P-200 as well as some viscoelastic in the anterior chamber , which I usually don't use for the R-50 or P-50. IOP has been 4-7 since surgery and HVF looked stable in January 2012. (Figure 4) OM
Fig. 4. Patient is nine months s/p P-200 Express barely visible in the picture. This was a fornix-based flap closed with running 8-0 Vycril with almost no scar to be noted. The bleb is diffuse, and IOP was 7; off medications in March 2012.
References
1. The Tube versus Trabeculectomy Study: Interpretation of results and application to clinical practice. Gedde SJ et al. Curr Opin Ophthalm 2012. March; 23(2):118-126.
2. Postoperative complications in the Tube versus Trabeculectomy (TVT) Study during Five years of follow-up. Gedde SJ et al. Am J Ophthalmol 2012 Jan 12 (Epub ahead of print).
3. Comparative In Vitro Flow Study of 3 Different Ex-PRESS Miniature Glaucoma Device Models. Estermann S et al. J Glaucoma 2012 Jan 20 (Epub ahead of print).
|
Yara Catoira-Boyle, MD, is associate clinical professor of ophthalmology at the Glick Eye Institute at Indiana University School of Medicine in Indianapolis. She has written previously for Ophthalmology Management on surgical treatment of glaucoma. She may be reached via e-mail at ycatoira@iupui.edu. |







