An Update on Glaucoma Drainage Implant Surgery
A review of the technique and emerging evidence on shunts to control IOP.
By Janet M. Lim, MD and Ahmed A. Aref, MD
Ophthalmologists are increasingly utilizing glaucoma drainage implant surgery (GDIS) for surgical IOP control in patients with uncontrolled glaucoma. Historically, GDI surgery had been reserved for cases at high risk of trabeculectomy failure. However, a study evaluating the number of glaucoma surgeries in Medicare patients demonstrated that the number of GDI surgeries rose by 184% from 1995 to 2004 while the number of trabeculectomies decreased 53% during the same period.1 This article will discuss the basic GDI surgical technique and give an update of major recent randomized clinical trial results pertaining to this field.
Implant Types
Since Anthony Molteno, FRCS, introduced the GDI in 1969, GDI surgery has evolved to include several types of implants that differ in surface area, shape and presence or absence of a flow-restricting valve. Non-valved devices include the Baerveldt Glaucoma Implant (BGI; Abbott Medical Optics, Abbott Park, Ill.) and the Molteno3 implant (IOP Ophthalmics, Costa Mesa, Calif.). Valved devices include the Krupin Valve Implant and the Ahmed Glaucoma Valve (AGV; New World Medical, Rancho Cucamonga, Calif.). The most recent version of the AGV, model M4, features a porous polyethylene shell to allow for a lower postoperative bleb as a well as a tapered profile for ease of insertion.
Surgical Technique
The GDI surgical technique requires attention to detail as sequential maneuvers often depend on proper performance of preceding steps of the procedure.
■ Patient selection. Successful GDI surgery requires proper patient selection. One must assess the ocular surface for adequate conjunctival mobility, physical space for the implant, and adequate anterior chamber depth for tube placement. Conjunctival scarring in the area of interest may rule out conjunctival dissection and implant placement. Adequate anterior chamber depth is also important to decrease the risks of iris obstruction, corneal endothelial cell damage and contact with the crystalline lens.
■ Implant placement and surgical exposure. GDIs are typically placed in the superotemporal conjunctival quadrant because it is easy to access, affords adequate space for the implant and keeps the implant away from oblique muscles, which minimizes the risk of diplopia. Implant placement in the superonasal quadrant may interfere with the superior oblique muscle and cause a pseudo-Brown’s syndrome.2-4 Conjunctival scarring in the superotemporal quadrant or silicone oil in the posterior segment may require placing the tube shunt in the inferonasal quadrant.
A clear corneal traction suture can expose the conjunctival quadrant of interest. A fornix or limbal-based peritomy at the 4 to 5 o’clock position enables blunt dissection posteriorly. For valved implants, one should prime the device with balanced salt solution on a 30-gauge cannula to ensure the valve is functioning and the system has adequate flow. The implant is placed 9-10 mm from the limbus and sutured to the sclera with 8-0 or 9-0 sutures on a spatulated needle (Figure 1). The tube is then trimmed to the proper length.
■ Early flow restriction. Nonvalved implants require an additional maneuver to prevent hypotony before fibrous encapsulation of the end plate. An absorbable suture can ligate the tube, proximal the end plate and before the entry of the tube into the anterior chamber (Figure 2). Inject BSS into the tube lumen to verify adequate ligation and an absence of flow through the tube to the end plate. To gain early postoperative IOP control before the ligation suture dissolves, if so desired, one can use a spatulated needle to make vent perforations in the tube anterior to the region of ligation.5
■ Intraocular entry. Insert the tube into the anterior chamber by creating a tract using a 23-gauge needle to enter the anterior chamber immediately posterior to the surgical limbus and parallel to the iris plane (Figure 3). GDI tubes are most commonly placed in the anterior chamber (Figure 4). However, in eyes at high risk for corneal decompensation, the tube may be placed in the ciliary sulcus to decrease the risk of corneal endothelial cell injury (Figure 5).
■ Tube coverage and conjunctival closure. Ensure the tube is adequately positioned in the mid-anterior chamber or ciliary sulcus, and then fixate it to the sclera with 9-0 or 10-0 sutures. To prevent erosion through the conjunctiva, one should cover the tube with a partial-thickness scleral flap or donor tissue as a patch graft. Donor tissue may consist of sclera, dehydrated human dura mater, clear cornea (Figure 6), fascia lata or human pericardium. Sutured the conjunctiva closed in a watertight fashion, and administer subconjunctival antibiotic and corticosteroid injections.6
Outcomes
Results of recent randomized clinical trials have helped to elucidate the role of GDI surgery in the treatment of patients with uncontrolled glaucoma.
Tube Versus Trabeculectomy (TVT) Study
This multicenter randomized clinical trial enrolled 212 eyes of 212 patients (ages 18-85 years) with uncontrolled glaucoma and with previous trabeculectomy or cataract extraction with intraocular lens placement, or both. It defined uncontrolled glaucoma as IOP between 18 mm Hg and 40 mm Hg on maximum tolerated medical therapy. A total of 107 eyes were randomized into the tube group (implantation of a 350 mm2 BGI) and 105 were randomized into the trabeculectomy group (trabeculectomy with 0.4mg/mL MMC for 4 minutes).7
Figure 1. Fixation of the Baerveldt Glaucoma Implant plate to the sclera is accomplished with 9-0 nonabsorbable suture passed through the implant eyelet.
Figure 2. Adequate ligation of the nonvalved Baerveldt Glaucoma Implant with 7-0 absorbable suture restricts early flow and prevent immediate postoperative hypotony.
Figure 3. Proper entry of a sharp 23-gauge needle into the anterior chamber to prepare a tract for positioning the intraocular tube.
At five years, the investigators noted no significant difference in IOP between the two groups (tube 14.4 ± 6.9 mm Hg vs. trabeculectomy 12.6 ± 5.9 mm Hg, P=0.12).8 The proportion of patients who experienced a postoperative IOP of 14 mm Hg or less was also similar in each of the study groups (tube 63.9% vs. trabeculectomy 63.5%, P>0.99). Although patients randomized to trabeculectomy required fewer supplemental medications through the first two years of follow-up, the groups showed no significant difference in glaucoma medications required at five years (tube 1.4 ± 1.3 vs. trabeculectomy 1.2 ± 1.5, P=0.23). However, the trabeculectomy group had a significantly higher cumulative probability of failure (46.9% vs. 29.8% in the tube group). TVT defined failure as IOP 21 mm Hg or greater, IOP not reduced by 20% from baseline, IOP 5 mm Hg or less, reoperation for glaucoma or loss of light perception vision. The rate of reoperation for glaucoma was significantly higher in the trabeculectomy group (29% vs. 9% in the tube group, P=0.025).
This study also analyzed complication rates in the fiveyear follow-up period.9 Overall, 21% of the tube group experienced early postoperative complications (within a month). Complications included choroidal effusion, shallow or flat anterior chamber, wound leak, aqueous misdirection, suprachoroidal hemorrhage, vitreous hemorrhage, decompression retinopathy and cystoid macular edema.
The trabeculectomy group reported a significantly higher rate of early complications: 37%. Conjunctival wound leak was the only early complication that occurred at a higher rate in the trabeculectomy group than in the tube group (11% vs. 1%, respectively; P=0.004). Later complications (one month or more postoperatively) occurred in 34% of the tube group, which was not significantly different than in the trabeculectomy group (36%, P=0.81). The rate of reoperation for complications was similar in both groups (tube 22% and trabeculectomy 18%, P=0.29). The complication rate of trabeculectomy in this study was similar to prior studies.10 These results suggested that in patients with prior ocular surgery, GDI and trabeculectomy surgeries produce a similar degree of IOPlowering, but trabeculectomy patients are more likely to experience surgical failure and require reoperation.
Ahmed Baerveldt Comparison (ABC) Study
The ABC study is an ongoing multicenter, randomized clinical trial comparing long-term outcomes and complications of the AGV and BGI.11 At 16 clinical centers, 276 patients with an IOP 18 mm Hg or greater (AGV 31.2+11.2 mm Hg vs. BGI 31.8+12.8 mm Hg; P=0.071) were enrolled and randomized into surgical treatment with either the AGV or BGI.
Figure 4. Adequate postoperative tube position in the mid-anterior chamber.
Figure 5. Adequate ciliary sulcus tube position in a patient that has undergone prior penetrating keratoplasty. Tube placement in the sulcus space minimizes risk of contact with the corneal endothelium.
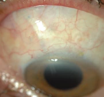
Figure 6. Postoperative view of a clear corneal patch graft placed over the proximal portion of the glaucoma drainage implant tube to decrease risk of conjunctival erosion
After one year, the study noted no significant difference between the surgical failure rates of the two groups (AGV 16.4% vs. BGI 14.0%, P=0.52). However, the postoperative IOPs were significantly different (AGV 15.4 +5.5 mm Hg vs. BGI 13.2 +6.8 mm Hg; P=0.007). The intraoperative complication rate displayed no significant difference between the two groups. However, the BGI group had a higher incidence of early postoperative complications (58% vs. 43% in the AGV group; P=0.016). The study authors attributed the higher rate of early postoperative complications in the BGI group to a higher incidence of tube occlusions and corneal edema.12
| Considerations for Adopting GDI Surgery in Clinical Practice |
|---|
Ahmad A. Aref, MD Vision loss due to uncontrolled glaucoma results in significant costs related to nursing home admission, depression and accidental personal injury.17 Medications may be effective in controlling mild stages of the disease, but they have also been associated with increased costs.18 Recent trials evaluating GDI efficacy have shown the procedure is effective in long-term IOP control and reducing the number of medications patient take.8,12,15 The procedure serves an important role from both clinical and cost-analysis standpoints. The nuances of the GDI surgical technique require an experienced surgeon capable of dealing with potential intra- and postoperative complications. As recent studies have shown, most of these complications are transient and self-limited when dealt with appropriately.9 Economic considerations of the procedure include fees for disposable items required for the surgery as well as regional insurance reimbursement rates. Some of the typical disposable items required for standard GDI surgery include the implant device itself, tissue patch graft and suture materials. Their costs vary depending on the type of health-care system (ambulatory surgical center vs. university hospital) and pre-negotiated rates. A recent study reported a disposable item cost for AGV surgery with scleral patch graft ranging from $865 in a Veteran’s Affairs system to $1,338 for a state-run hospital.19 Reimbursement for GDI surgery may also vary depending on the health-care system. Hospital-based settings often receive significantly greater payments than ASCs. The current CPT code for GDI surgery is 66180 (Aqueous shunt to extraocular reservoir). Use of a tissue patch graft to reduce the risk of tube/implant exposure and subsequent endophthalmitis may be coded separately as CPT code 67255 (Scleral reinforcement). Revision of an aqueous shunt may be coded as CPT code 66185 (Revision of aqueous shunt to extraocular reservoir). Ultimately, the economic feasibility of implementing GDI surgery in clinical practice depends upon fixed and non-fixed acquisition costs, regional insurance reimbursement patterns and the expected frequency of postoperative visits for transient postoperative events. However, the long-term global benefits of GDI surgery are evident when the procedure is performed safely. |
Three-year results continued to show a similar rate of surgical failure between the two groups (P=0.88) but the postoperative IOP was lower in the BGI group (12.9 +4.4 mm Hg vs. AGV 14.3 +4.9 mm Hg; P=0.049).13 The study results suggested that although BGI surgery may have lower postoperative IOP at one and three years, it may also have a higher early postoperative complication rate. This study is designed to follow patients for five years.
Ahmed vs. Baerveldt (AVB) Study
The AVB study also compared AGV and BGI. This randomized clinical trial enrolled 238 patients with inadequate baseline IOP, defined as IOP greater than the clinical target and nonresponsive to conventional medical, laser or surgical therapy at seven centers (mean IOP 31.1 +10.5 mm Hg in AGV vs. 31.7 +11.1 mm Hg in BGI; P=0.71). The primary outcome was the rate of failure, defined as IOP 18 mm Hg or greater, or less than 5 mm Hg, or IOP reduction of 20% or less, vision-threatening complications, need for additional glaucoma procedures or loss of light perception vision, or any combination of these outcomes.14
One-year results showed the BGI group experienced a lower failure rate than the AGV group (BGI 28% failure vs. AGV 43%, P=0.02). At one year, patients in the BGI group had lower mean IOP (13.6 +4.8 mm Hg vs. 16.5 +5.3 mm Hg in AGV; P < 0.001). The study noted no significant difference in the change in visual acuity from baseline (P=0.66) and no significant difference in the overall rate of postoperative complications (BGI 54% vs. AGV 44%, P=0.19). Still, a higher proportion of patients in the BGI group required postoperative interventions (42% vs. 26% in the AGV group; P=0.009).15
Two-year results of the AVB study AGV continued to show a higher failure rate (BGI 31% vs. AGV 48%, P=0.02) among patients randomized to the AGV.16 Also, an increased proportion of patients in the BGI group needed postoperative interventions (47% vs. AGV 32%, P=0.02). However, mean IOP was no longer significantly lower in the BGI group (14.5 +6.6 mm Hg vs. AGV 16.1 +6.4 mm Hg; P=0.12). Results of the AVB study demonstrated a lower postoperative failure rate in patients undergoing GDI surgery with the BGI, but with an increased need for postoperative interventions. The AVB study is still ongoing and follow-up of patients will be five years.
|
Janet M. Lim, MD, is a resident physician at Illinois Eye & Ear Infirmary, University of Illinois at Chicago Department of Ophthalmology and Visual Sciences. Ahmad A. Aref, MD, is a glaucoma specialist and assistant professor at Illinois Eye & Ear Infirmary. He can be reached via e-mail at aaref@uic.edu.Disclosure: The authors have no conflicts to disclose. |
Summary
Overall, the use of GDIs for the treatment of glaucoma has increased significantly in recent years. The TVT study gives promising data in continued use of these devices, and the ABC and AVB studies continue to investigate which implant may be preferable. OM
REFERENCES
1. Ramulu PY, Corcoran KJ, Corcoran SL, Robin AL. Utilization of various glaucoma surgeries and procedures in Medicare beneficiaries from 1995 to 2004. Ophthalmology. 2007;114:2265-2270.
2. Ventura MP, Vianna RN, Souza Filho JP, Solari HP, Curi RL. Acquired Brown’s syndrome secondary to Ahmed valve implant for neovascular glaucoma. Eye (Lond). 2005;19:230-232.
3. Coats DK, Paysse EA, Orenga-Nania S. Acquired Pseudo-Brown’s syndrome immediately following Ahmed valve glaucoma implant. Ophthalmic Surg Lasers. 1990;30:396-397.
4. Dobler AA, Sondhi N, Cantor LB, Ku S. Acquired Brown’s syndrome after a double-plate Molteno implant. Am J Ophthalmol. 1993;116:641-642.
5. Emerick GT, Gedde SJ, Budenz DL. Tube fenestrations in Baerveldt Glaucoma Implant surgery: 1-year results compared with standard implant surgery. J Glaucoma. 2002;11:340-346.
6. Aref AA, Gedde SJ, Budenz DL. Glaucoma drainage implant surgery. Dev Ophthalmol. 2012;50:37-47.
7. Gedde SJ, Schiffman JC, Feuer WJ. The Tube Versus Trabeculectomy study: design and baseline characteristics of study patients. Am J Ophthalmol. 2005;140:275-287.
8. Gedde SJ, Schiffman JC, Feuer WJ, Herndon LW, Brandt JD, Budenz DL. Treatment outcomes in the Tube Versus Trabeculectomy (TVT) study after five years of follow-up. Am J Ophthalmol. 2012;153:789-803.
9. Gedde SJ, Herndon LW, Brandt JD, Budenz DL, Feuer WJ, Schiffman JC. Postoperative complications in the Tube Versus Trabeculectomy (TVT) study during five years of follow-up. Am J Ophthalmol. 2012;153:804-814.
10. Jampel HD, Musch DC, Gillespie BW, Lichter PR, Wright MM, Guire KE. Perioperative complications of trabeculectomy in the Collaborative Initial Glaucoma Treatment Study (CIGTS). Am J Ophthalmol. 2005;140:15-22.
11. Barton K, Gedde SJ, Budenz DL, Feuer WJ, Schiffman J. The Ahmed Baerveldt Comparison study. Methodology, baseline patient characteristics, and intraoperative complications. Ophthalmology. 2011;118;435-442.
12. Budenz DL, Barton K, Feuer WJ, et al. Treatment outcomes in the Ahmed Baerveldt Comparison study after 1 year of follow-up. Ophthalmology. 2011;118:443-452.
13. Budenz DL, Barton K, Feuer WJ, et al. Three year results of the Ahmed Baerveldt Comparison (ABC) study. Paper presented at: Association of Research and Vision in Ophthalmology Annual Meeting; May 10, 2012; Fort Lauderdale, FL, USA.
14. Christakis PG, Tsai JC, Zurakowski D, et al. The Ahmed Versus Baerveldt study: design, baseline patient characteristics, and intraoperative complications. Ophthalmology. 2011;118:2172-2179.
15. Christakis PG, Kalenak JW, Zurakowski D, Tsai JC, Kammer JA. The Ahmed Versus Baerveldt study: one-year outcomes. Ophthalmology. 2011;118:2180-2189.
16. Christakis PG, Tsai JC, Zurakowski D, et al. The Ahmed versus Baerveldt study: two-year interim results. Paper presented at: The American Academy of Ophthalmology Annual Meeting; October 25, 2011; Orlando, FL, USA.
17. Bramley T, Peeples P, Walt JG, Juhasz M, Hansen JE. Impact of vision loss on costs and outcomes in Medicare beneficiaries with glaucoma. Arch Ophthalmol. 2008;126:849-856.
18. Lam BL, Zheng D, Davila EP, et al. Trends in glaucoma medication expenditure. Medical expenditure panel survey 2001-2006. Arch Ophthalmol. 2011;129:1345-1350.
19. Valentine J, Zurakowski D, Ayyala RS. Comparison of acquisition costs of surgical supplies in different health care systems for cataract and glaucoma procedures. J Glaucoma. 2012 Dec 3. [Epub ahead of print].







