The Promise of Neuroprotection In Treating Glaucoma
Emerging evidence is moving toward putting visual preservation first in glaucoma treatment.
Nathan Radcliffe, MD
The glaucomas are a group of diseases characterized by progressive apoptosis of retinal ganglion cells that can be identified by a characteristic optic nerve cupping and retinal nerve fiber layer (RNFL) atrophy and associated visual functional loss. The basis for all glaucoma treatment in 2012 is IOP lowering, supported by the Early Manifest Glaucoma Trial (EMGT), which randomized patients to IOP lowering (with betaxolol and argon laser trabeculoplasty) versus observation.1 In the EMGT, a 25% IOP reduction reduced the likelihood of progression from 76% to 59% over eight years of follow-up.
Studies have identified several other, essentially nonmodifiable, risk factors for glaucoma progression, including include age and central corneal thickness. The Barbados Eye Study,2 the EMGT and others have shown low ocular perfusion pressure (OPP) is another independent risk factor for glaucoma development and progression. Evidence is mounting that low cerebral spinal fluid (CSF) pressure is associated with glaucoma as well.3 However, studies have not demonstrated that experimentally increasing OPP or CSF pressure can decrease the progression of glaucoma. Nor do we know how we might go about safely modifying these variables.
Glaucoma Progression Defies IOP Therapy
What we do know is that IOP reduction falls short, as considerable numbers of our treated glaucoma patients progress. In the ocular hypertension treatment study (OHTS) where no glaucoma was identifiable upon entry, 4.4% developed glaucoma at five years while on treatment that achieved an average 22.5% IOP reduction.4 In the Collaborative Normal Tension Glaucoma Study (CNTGS), 30% IOP reduction left 12% of patients progressing at seven years.5 In the Advanced Glaucoma Intervention Study (AGIS), the majority of patients with an IOP greater than 18 mm Hg progressed at some point during follow-up over six years.6
Because of the high rate of progression in treated patients across the glaucoma spectrum — high and low IOP, early and late disease — neuroprotection is a welcomed strategy for all glaucoma patients. While some have suggested that neuroprotection is more important in low-pressure glaucoma, I would argue that neuroprotection might be especially useful for patients with uncontrollable IOPs.
Role of Neuroprotection
Before opening a lengthy discussion of neuroprotection in glaucoma, it’s worth noting that no FDA-approved neuroprotective therapies for treating glaucoma currently exist. The goal of neuroprotection in glaucoma is to restore and preserve the health of sick or dying retinal ganglion cells and their axons independently of IOP reduction. We might subdivide neuroprotective therapies into those either directly or indirectly antiapoptotic. Apoptosis is an active, programmed, non-inflammatory, process mediated by complex interactions among specific proteins and enzymes. Some of the chemical mediators of apoptosis include elevated glutamate concentrations, intracellular calcium influx, proapoptotic gene expression, generation of nitric oxide and free radicals, and cytokine elaboration.
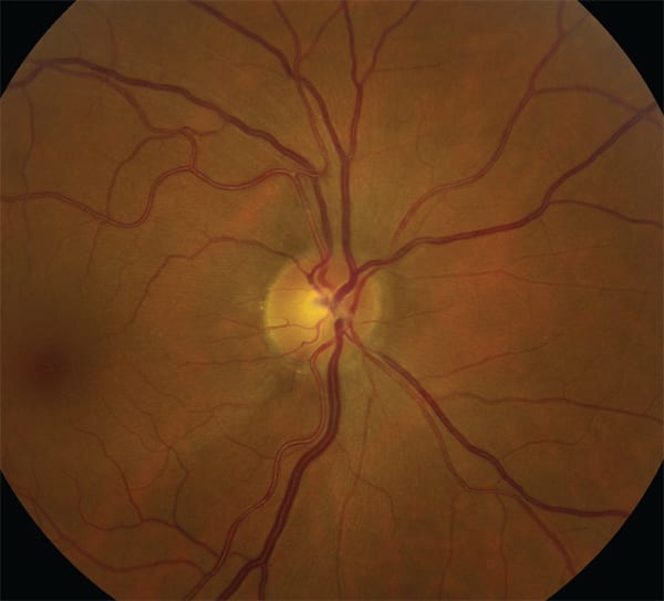
While IOP reduction or increasing ocular perfusion pressure or CSF pressure may protect the optic nerve by altering pressure gradients or optic nerve perfusion, in this discussion we will consider neuroprotection to be agents that directly protect the ganglion cells and their axons. Harry Quigley, MD,7 and others have demonstrated that apoptosis of retinal ganglion cells occurs in experimental glaucoma, and as the Figure demonstrates, the optic nerve head and the RGC axon is the site of glaucomatous optic nerve damage.
Figure: An inferotemporal RNFL defect emanating from the neuroretinal rim illustrates that glaucomatous damage occurs very close to the neuroretinal rim — the only place along the ganglion’s efferent pathway when these fibers are located in close proximity where they might be damaged together.
Challenge of Neuroprotective Trials
Demonstrating the efficacy of a neuroprotective agent in a human randomized controlled trial presents many challenges. Glaucoma progresses slowly. This means a large number of patients will have to be followed for a sufficient amount of time, particularly given that all patients in a neuroprotection study would, for ethical reasons, have to be treated with effective ocular hypotensive agents — likely including prostaglandin analogs. So progression rates will likely be lower than any of the previously mentioned clinical trials because we have never really seen long-term progression data since prostaglandins became first-line therapy.
Current regulatory agencies, including the FDA, will require functional endpoints such as visual field progression. 8 Keep in mind that most FDA-approved glaucoma therapies use the surrogate endpoint IOP to demonstrate IOP-lowering efficacy. However, even timolol — perhaps the most studied and widely used glaucoma medication worldwide — has never been shown to slow visual field progression as monotherapy. So our first FDA-approved neuroprotective therapy will be held to a higher standard than any ocular hypotensive therapy, and the company or organization getting the drug approved would be the first to demonstrate its drug stops or slows glaucoma progression.
A neuroprotection trial would have to consider glaucoma progression is best identified in patients who are reliable visual field test takers. In slowly progressing patients or those with a large degree of visual field fluctuation, up to 20 visual fields might be required to determine the rate of progression. In two groups of treated patients progressing at slightly different rates, it could take even more visual fields.
Additionally glaucoma progression is difficult to identify in very early and end-stage glaucoma, so a trial might select a patient population with early to moderate glaucoma. Finally, whether a trial uses functional or structural measures of glaucoma progression, obtaining those parameters with greater frequency is more likely to yield statistically significant slopes of progression in a shorter period of time.
To best demonstrate neuroprotection, one might enroll patients with multiple reliable visual field tests that show early, perimetrically visible glaucoma who are at a very high risk of progression, with multiple risk factors such as damage in both hemifields of both eyes, thin corneas, high IOP and a history of disc hemorrhages. One might also enroll patients who have previously progressed on treatment. This trial strategy is termed enrichment.
Enriching the Study Population
However when one enriches the study population, one also decreases the number of patients for which a given therapy can be appropriately applied. For example, it is unlikely the results of a normal-tension glaucoma study would be applied to patients with ocular hypertension because the differences between those two groups might result in varied treatment responses. However, because the proof of concept for neuroprotection has yet to be demonstrated, enriching the population by selecting patients who are highly likely to progress on standard therapy might be a good idea.
Investigators have recently pushed for regulatory agencies to adopt structural endpoints for the assessment of progressive glaucoma. The concept of a structural endpoint is particularly appealing because several instruments, such as optical coherence tomography (OCT) can measure RNFL, the target tissue of neuroprotection. However, for reasons that remain unclear, there is poor agreement between structural and functional measures of glaucoma progression.
Consider a recent study of glaucoma progression in 64 patients: OCT helped detect structural RNFL loss in 21 patients; and visual field change over time helped track functional loss in 22 patients.9 Both types of progression occurred together in only three patients, indicating that we have a way to go before the FDA accepts optic nerve imaging as a proxy for functional loss.
Brimonidine as a Neuroprotective Agent
There are too many potential neuroprotective agents to discuss in one sitting. However, the ideal agent must be exceptionally well-tolerated and suitable for long-term use given that glaucoma is often an asymptomatic disease. Of course, drugs already FDAapproved for one therapy will have a lower hurdle for adaptation to neuroprotection, because off-label use is so common in the United States. Finally, generic or natural agents (vitamins or other nutritional supplements) are unlikely to be studied with sufficient scientific rigor to demonstrate neuroprotection, so in a sense they have an even large hurdle to overcome.
The best human evidence to date for a neuroprotective effect comes from the Low-Pressure Glaucoma Treatment Study (LoGTS). The LoGTS study was a prospective randomized, multicenter, double-masked clinical trial in which low-pressure glaucoma patients (all known untreated pressures below 21 mm Hg) were randomized to IOP reduction in both eyes with topical twice-daily brimonidine 0.2% versus twice-daily timolol 0.5%.10
Brimonidine has also been shown to have neuroprotective effects in animal models of ocular hypertension, glaucoma and optic nerve crush.11 Potential neuroprotective mechanisms of brimonidine are up-regulation of basic fibroblast growth factor, brain-derived neurotrophic factor and inhibition of glutamate release and modulation of the NMDA receptor.
Topical ocular dosing with brimonidine can bind and activate the alpha 2-adrenoceptor present in the ganglion cell layer of the retina, though the ideal topical dosing for this has yet to be established.12 The primary outcome was visual field stability (as measured by point-wise linear regression analysis) between the two medication groups. Because the two study drugs have shown similar IOP reduction efficacy, an advantage in the brimonidine group could potentially represent a neuroprotective effect.13
Controversy Of LoGTS Results
The LoGTS results were strong and have generated some controversy. As anticipated in the trial design, 20% of patients in the brimonidine arm developed allergic conjunctivitis and were discharged from the trial despite no evidence prior to exclusion that they were more or less likely to progress. The IOP profile of the brimonidine and timolol arms was similar; however, IOP was not measured at night.
In terms of progression over four years of follow-up, 39.2% of timolol patients progressed while only 9.1% of brimonidine patients did so, a strong and statistically significant difference that three different visual field interpretation techniques confirmed. However, the high rate of progression in the timolol arm has led some to suggest that timolol may have been “neuro-destructive” in this study, or that the patient population may be unique in glaucoma as they seemed to demonstrate more progression than, for example, the untreated patients in the EMGT.
In at least one study, eyes treated with brimonidine 0.2% that did not develop allergy were significantly less likely to have VF progression than eyes treated with timolol 0.5%, and we saw for the first time that functional preservation may differ between medications with similar IOP reduction. While the study should be replicated before anyone alters her or his treatment practices, LoGTS was the first trial to demonstrate the possibility of an IOP-independent treatment option for glaucoma management — and was also the longest and largest RCT to compare two topical glaucoma medications in vision preservation. LoGTS was hopefully the first of many studies to look at non-IOPrelated (e.g., functional) outcomes in the search for better glaucoma therapies.
In summary, neuroprotection is needed in glaucoma. Appropriately designed studies should be able to demonstrate IOP-independent visual preservation given the large numbers of patients who progress with standard IOP-lowering therapy. Hopefully, future research in glaucoma will transition away from IOP reduction and toward vision preservation, to the benefit of our profession and our patients. OM
References:
1. Heijl A, Leske MC, Bengtsson B, Hyman L, Bengtsson B, Hussein M. Early Manifest Glaucoma Trial Group. Reduction of intraocular pressure and glaucoma progression: results from the Early Manifest Glaucoma Trial. Arch Ophthalmol. 2002;120:1268-79.
2. Leske MC, Wu SY, Hennis A, Honkanen R, Nemesure B; BESs Study Group. Risk factors for incident open-angle glaucoma: the Barbados Eye Studies. Ophthalmology. 2008;115:85-93.
3. Berdahl JP, Allingham RR, Johnson DH. Cerebrospinal fluid pressure is decreased in primary open-angle glaucoma. Ophthalmology. 2008;115:763-768.
4. Kass MA, Heuer DK, Higginbotham EJ, et al. The Ocular Hypertension Treatment Study: a randomized trial determines that topical ocular hypotensive medication delays or prevents the onset of primary open-angle glaucoma. Arch Ophthalmol 2002;120:701-713.
5. Collaborative Normal-Tension Glaucoma Study Group. Comparison of glaucomatous progression between untreated patients with normal-tension glaucoma and patients with therapeutically reduced intraocular pressures. Am J Ophthalmol. 1998;126:487-497.
6. The AGIS Investigators. The Advanced Glaucoma Intervention Study (AGIS): 7. The relationship between control of intraocular pressure and visual field deterioration. Am J Ophthalmol. 2000;130:429-440.
7. Quigley HA, Nickells RW, Kerrigan LA, et al. Retinal ganglion cell death in experimental glaucoma and after axotomy occurs by apoptosis. Invest Ophthalmol Vis Sci. 1995;36:774-786.
8. Weinreb RN, Kaufman PL. The glaucoma research community and FDA look to the future: a report from the NEI/FDA CDER Glaucoma Clinical Trial Design and Endpoints Symposium. Invest Ophthalmol Vis Sci. 2009;50:1497-1505.
9. Leung CK, Cheung CY, Weinreb RN, et al. Evaluation of retinal nerve fiber layer progression in glaucoma: A study on optical coherence tomography guided progression analysis (GPA). Invest Ophthalmol Vis Sci. 2010;51:217-222.
10. Krupin T, Liebmann JM, Greenfield DS, Ritch R, Gardiner S; Low-Pressure Glaucoma Study Group. A randomized trial of brimonidine versus timolol in preserving visual function: results from the Low-Pressure Glaucoma Treatment Study. Am J Ophthalmol. 2011;151:671-681.
11. Ma K, Xu L, Zhang H, Zhang S, Pu M, Jonas JB. Effect of brimonidine on retinal ganglion cell survival in an optic nerve crush model. Am J Ophthalmol. 2009;147:326-331.
12. Kent AR, Nussdorf JD, David R, et al. Vitreous concentration of topically applied brimonidine tartrate 0.2%. Ophthalmology. 2001;108:784-787.
13. Katz LJ, Brimonidine Study Group. Brimonidine tartrate 0.2% twice daily vs timolol 0.5% twice daily: 1-year results in glaucoma patients. Am J Ophthalmol. 1999;127:20-26.
|
Nathan Radcliffe, MD, is associate professor of ophthalmology at Weill Cornell Medical College and New York-Presbyterian Hospital in New York. He has disclosed receiving honoraria from Alcon, Allergan, Merck & Co., Carl Zeiss Meditec and Iridex Corporation. |







