Dealing with burns and cicatricial corneal disease
Staging protocols and newer treatment options can produce faster resolution.
By Salim Butrus, MD
|
Salim Butrus, MD, is in solo private practice at the Eye Center on Capitol Hill in Washington, DC. He is affiliated with Georgetown University Hospital, where he teaches, conducts research and performs corneal transplants and other complex procedures. Disclosure: Dr. Butrus has no relationships with any companies mentioned in this article. |
Serious corneal conditions can be blatant insults to the eyes, such as chemical burns, or stealthy robbers of sight, such as ocular cicatricial pemphigoid. In many instances, such as chemical burns, significant vision has been lost before treatment can even begin. Saving or restoring as much vision as possible is always the goal of the corneal specialist. Correct diagnosis, appropriate treatment and overall management are critical in these cases, particularly when the disease affects both eyes.
Here, I will discuss a number of the more serious corneal diseases and conditions, including chemical and thermal burns and a number of cicatricial diseases (that is, diseases that heal by forming scar tissue) affecting the ocular surface.
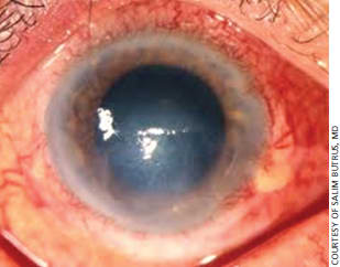
Burn with inferior and temporal limbal blanching
CHEMICAL BURNS
Chemical injuries to the eyes may be a result of the mishandling of household cleaning detergents, industrial accidents, criminal assaults or deployment of vehicle airbags.
A large percentage of chemical burns result from exposure to acid, especially sulfuric acid from batteries or hydrochloric acid used in industrial applications, such as leather processing and in cleaning solutions. Another type of chemical injury is alkaline burns, which can often be more harmful than acid injuries. Alkaline burns result from the exposure to chemicals, such chemicals as ammonia, sodium, potassium, magnesium hydroxide, lye and lime.
Treat chemical burns emergently. First, attempt to identify the insulting agent. Then, dilute the chemical with aggressive external irrigation of the eye for 30 minutes using Cederroth Eye Wash (Upplands Vasby, Sweden), which is a sterile, buffered isotonic sodium chloride solution, isotonic solution or a lactated Ringers solution. Avoid hypotonic tap water. Paracentesis can also be used to lower the pH in alkaline burns.1
Staging for chemical burns
For prognostic and management purposes, stage alkaline burns as follows:1,2
• Stage A: Mild corneal erosion with no ischemic necrosis of perilimbal conjunctiva or sclera.
• Stage B: Moderate corneal opacity with little or no significant ischemic necrosis of perilimbal conjunctiva.
• Stage C: Moderate to severe corneal blurring, anterior iris and anterior segment details with ischemic necrosis or limbal blanching limited to less that one-third of the limbus.
• Stage D: Severe corneal haze with limbal blanching of one-third to two-thirds of the limbus.
• Stage E: Marbleized cornea with more than two-thirds of the limbus ischemic
The prognosis is usually good in stages A and B, guarded-to-poor in stages C and D, respectively, and very poor in Stage E.
TREATING CHEMICAL BURNS
Initial treatments include frequent steroid drops despite the presence of corneal epithelial defects, and in some cases, this is supplemented with oral steroids, antibiotics and IOP-lowering agents. Employ steroids aggressively in the first seven to 10 days to fight the neutrophils affected early on.
After 10 days, discontinue steroid drops because various collagenases are activated, which can contribute to corneal ulceration and melting. Megadoses of oral ascorbate and topical 1% citric acid drops may have a role in inhibiting corneal melting, but this therapy has only been demonstrated in rabbit models.3
Ocular surface amniotic membrane transplantation is beneficial in the early phases, with the goal of attaining a healed vascularized cornea. After three to six months, stem-cell transplantation from the fellow eye can be performed if that eye is not involved, or stem cells from an HLA-matched blood relative can be used. Corneal transplantation or implantation of a Boston KPro corneal prosthesis in the later chronic stages can follow these steps.
Stage III OCP with symblepharon
| Causes of most serious corneal problems |
|---|
|
Following is a listing of the most common causes of serious corneal problems that I have encountered in my years of practice, listed in the order from most common to least common. 1. Chemical and thermal burns. |
CICATRICIAL DISEASES
Cicatricial diseases can progress from ocular surface dryness to entropion and trichiasis, keratitis, corneal vascularization, limbal stem cell deficiency, ocular morbidity and blindness.
The conditions that cause this range of diseases include chemical and thermal burns, as well as atopic keratoconjunctivitis, ocular cicatricial pemphigoid (OCP), Stevens-Johnson syndrome (SJS) and toxic epidermal necrolysis (TEN).
Ocular cicatricial pemphigoid
OCP is an autoimmune disease characterized by deposition of IgG and IgA antibodies on the conjunctival basement membrane zone, followed by complement (C3) activation and chronic inflammatory reaction.
Evidence exists of increased levels of tumor necrosis factor in serum of patients with OCP. Clinically, OCP is often missed. The presence of foreshortening or early symblepharon (adhesion of the eyelids to the eyeball) in the lower forniceal conjunctiva, which is detected by retracting the lower lid, is highly suggestive of OCP.4
Patients with early phase OCP may present with chronic eye redness and nonspecific irritation, which is often misdiagnosed as blepharitis or dry eyes, ineffective treatment often follows.
OCP is usually detected clinically via a slit lamp examination, with diagnosis supported by a positive conjunctival biopsy.
Classifying OCP
C. Stephen Foster, MD, developed a classification that is useful in the diagnosis and management of OCP.5,6
• Stage I: Conjunctival subepithelial fibrosis.
• Stage II: Foreshortening of inferior fornix.
• Stage III: Symblepharon.
• Stage IV: Ankyloblepharon (adhesion of the ciliary edges of the eyelid to each other) and frozen globe.
Management of OCP includes topical supportive lens treatment, such as lash epilation for trichiasis, frequent wetting drops, punctal occlusion and bandage soft contact lenses. Topical steroids have limited value. Associated glaucoma requires treatment.
Initiate anti-inflammatory suppression, depending on the degree of conjunctival activity. A stepwise regimen includes diamino-diphenyl sulfone (Aczone [dapsone, Allergan]), prednisone, azathioprine, methotrexate, cyclophosphamide, mycophenolate mofetil, intravenous immunoglobulin therapy (IVIG) and other biologic agents.
IVIG has proven effective for treating recalcitrant OCP. IVIG reduces T-lymphocyte activity, autoantibodies and circulating cytokines. This therapy has a favorable short- and long-term side-effect profile. You can add tumor necrosis factor-alpha inhibitors, such as rituximab (Rituxin, Genentech), to IVIG in certain patients.
SJS and TEN
SJS and toxic epidermal necrolysis are rare but devastating acute blistering diseases of the skin and mucous membranes, including the conjunctiva. These are epidermal bullous conditions. TEN involves more body surface. Ocular involvement occurs in 70% to 80% of SJS cases, causing various chronic ocular morbidities. Both SJS and TEN are more prevalent in HIV-positive patients than in the general population.
SJS may be an immune-mediated condition, or, in some cases, a reaction to medications or infections. Medications that have been known to cause SJS in rare instances include sulfamethoxazole (Bactrim, Roche), amino penicillins, cephalosporins, quinolones, NSAIDs and corticosteroids. Mycoplasma pneumonia and SJS with herpes simplex virus.
Treatment of SJS and TEN primarily includes avoiding the inciting agent, admission to a burn unit, management of associated sepsis (a serious complication) and high doses of oral steroid. Other therapies include IVIG, cyclosporine-A and infliximab. Ocular surface amniotic membrane transplantation can be beneficial in the acute phase. Limbal cell transplantation and the Boston KPro corneal prosthesis can often be used in chronic stages.
TREATMENTS HAVE ADVANCED
Armed with the appropriate information, clinicians can classify, treat and manage these serious corneal issues. Newer pharmaceutical agents, plus advanced corneal and stem-cell transplantation techniques and the Boston KPro corneal prosthesis have enabled many patients to retain or even regain a functional level of vision. OM
REFERENCES
1. Pfister RR, Koski J. Alkali burns of the eye: pathophysiology and treatment. South Med J. 1982;74:417-422.
2. Pfister RR. Chemical trauma. In: Copeland RA and Afshari N, eds. Copeland and Afshari’s Principles and Practice of Cornea. New Delhi, India: Jaypee Brothers Medical Publishers; 2013:699-713.
3. Pfister RR, Haddox, JL, Yuille-Barr D. The combined effect of citrate/ascorbate treatment in alkali-injured rabbit eyes. Cornea. 1991;10:100-104.
4. Ebrahim BY, Mehtani M, Butrus S. Cicatrizing conjunctivitis. In: Copeland RA and Afshari N, eds. Copeland and Afshari’s Principles and Practice of Cornea. New Delhi, India: Jaypee Brothers Medical Publishers; 2013:387-403.
5. Foster CS. Cicatricial Pemphigoid. Trans Am Ophthalmol Soc. 1986;84:527-663.
6. Foster CS, Chang PY, Ahmed AR. Combination of rituximab and intravenous immunoglobulin for recalcitrant ocular cicatricial pemphigoid: a preliminary report. Ophthalmology. 2010;117:861-869.







