Managing early complications of aqueous tube shunts
Quickly dealing with intraoperative and postoperative issues.
By Brian A. Francis, MD, MS
Clinicians have used aqueous tube shunts for more than three decades to lower IOP in refractory glaucoma. Clinical scenarios for using tube shunts include neovascular, uveitic and traumatic glaucomas, those associated with anterior segment disorders, and in cases with conjunctival scarring. With the recent results of the Tube versus Trabeculectomy Study,1 tube shunts have shown lowering of IOP similar to trabeculectomy, with a reduced level of complications.
Thus, many clinicians have adopted tube shunts for less refractory glaucoma cases, including primary open angle and secondary open angle, such as exfoliation and pigmentary glaucomas. However, aqueous tube shunts are not without their own set of complications, and here I discuss how to identify and manage the more frequent of early-onset issues.
TUBE SHUNT IMPLANTATION
Approach to the conjunctiva
This article will focus on identifying, treating, and also preventing complications that take place either during surgery or in the early postoperative period (three months).
Let’s begin with the handling of the conjunctiva during surgery. Glaucoma surgeons should be able to perform the dissection from a limbus or fornix approach, depending on the amount and location of scarring. If I see scarring anteriorly near the limbus, I prefer to make the initial incision in the fornix, as the tissue is usually more intact and robust there. If I encounter significant scarring during the anterior dissection, I use a sharp instrument such as a 67 blade to dissect in the episcleral or superficial scleral plane. This ensures the conjunctiva remains intact and prevents buttonholing.
If I see scarring posteriorly, such as with a scleral buckle, my preference is an initial incision at the limbus with relaxing incisions superiorly and laterally. With either approach, incorporate tenons in the closure. With the fornix incision approach, I recommend separate running closure of tenons and conjunctiva to prevent wound separation and exposure.
Placing the plate
Proper placement of the plate is critical to prevent damage to the extraocular muscles that may result in pain, motility disturbances and diplopia (Figure 1). The larger plates, such as the Baerveldt 350 glaucoma implant (Abbott Medical Optics, Santa Ana. Calif.), must be placed with the peripheral parts of the plate underneath the superior and lateral rectus muscles for the most common site (superior temporal tube).
Figure 1. Fixation of the Baerveldt Glaucoma Implant plate to the sclera is accomplished with a 9-0 nonabsorbable suture passed through the implant eyelet.
To avoid splitting the muscle fibers, I aim the muscle hook posteriorly into the superior temporal quadrant and hug the sclera as I sweep around the posterior aspect of the muscle insertion. As the plate moves into place, I pull slightly on the muscle away from the sclera to create a space underneath. Once the plate is in place, I will pull anteriorly to ensure it is underneath both recti.
With smaller plates, such as the Ahmed Glaucoma Valve (New World Medical, Cucamonga, Calif.) or Baerveldt 250, you must identify the rectus muscles so the plate does not override a muscle, which will lead to restriction and strabismus. If a scleral buckle is present, the plate can usually be placed posterior to it and attached to the buckle itself. If there is no space posterior to the buckle, you may consider a modified Shocket procedure — that is, suturing the tube without the plate within the capsule of the buckle itself, making the scleral buckle the “plate” of the tube shunt.
Suturing the plate
The next step is suturing the eyelets of the plate to the sclera using either absorbable vicryl suture or with a more permanent suture such as nylon. With the latter, bury the knot so that it is not a potential source of erosion.
I have treated a case of tube-related endophthalmitis where an exposed silk suture end was the pathway for infection and led to loss of the eye. The sclera may be thin near the rectus muscle insertions, so take care not to perforate the sclera with the anchoring suture needle. If this happens, cryotherapy will typically seal the retinal hole. The area should then be checked carefully postoperatively with scleral-depression ophthalmoscopy.
Tube ligation
Aqueous tube shunts that do not have a valve (such as the Baerveldt Glaucoma Implant) will need to be ligated to prevent immediate hypotony (Figure 2). The ligature is typically vicryl and will open at five to seven weeks.
Figure 2. Adequate ligation of the non-valved Baerveldt Glaucoma Implant with 7-0 absorbable suture restricts early flow and prevents immediate postoperative hypotony.
The capsule over the tube forms at three to four weeks and will ultimately regulate outflow in a valved or non-valved tube. The difficulty with a ligated, non-valved tube is that the IOP does not drop until the tube is open, leading to continued high IOP in the early postoperative period.
Many techniques have been developed to counter this, and these can be divided into two categories: fenestrations and removable or “ripcord” sutures. Fenestrations consist of slit incisions or holes placed in the tube proximal to the ligature. They allow for aqueous egress until the capsule begins to form. However, even with this method we still see a period of two to three weeks between when the fenestrations close and the tube opens.
The “ripcord” technique consists of a suture either within the tube lumen or parallel to the external tube. The technique incorporates both into the ligature around the tube. Usually, one end of the ripcord is externalized or placed under the conjunctiva where a simple cut down can access it. If IOP is very high in the early postoperative period, removal of the ripcord partially opens the tube lumen until the ligature dissolves.
Another technique combines aspects of fenestrations and ripcord. A 10- nylon suture passes in a horizontal mattress fashion through the tube lumen and out through the conjunctiva and limbal cornea. When the suture is tied with tension, it pulls open the holes in the tube the needle made and facilitates early drainage. If IOP is too low postoperatively, the suture can be cut and removed.
Concomitant glaucoma procedure
You may also use a separate glaucoma procedure at the time of tube implantation to provide short-term IOP lowering. An orphan trabeculectomy next to the tube entry site will provide immediate IOP lowering.
Because this technique does not use an antimetabolite, it typically scars down around the time the tube opens. Alternatively, if a failed prior trabeculectomy is present, you can needle it to provide aqueous outflow. Again, this typically scars once the tube has opened.
You may also consider a minimally invasive glaucoma surgery such as trabeculotomy ab interno (Trabectome, NeoMedix, Tustin, Calif.), or endoscopic cyclophotocoagulation to lower IOP until the tube opens.
MANAGING THE TUBE
Placement within the eye
Once the tube plate is secure and the tube is ligated, the surgeon can cut the tube to appropriate length with the bevel facing anteriorly. This avoids iris blockage of the tube. It is important to note that the bevel should face away from the iris. Thus, in cases where the tube is placed in the pars plana or sulcus (in a pseudophakic patient), the bevel should face posteriorly.
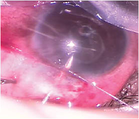
Use a 23-gauge needle to create the entry portal for the tube (Figure 3). I prefer to tunnel into the sclera at about 50% depth, starting 3 mm posterior to the limbus, to help avoid later erosion. If possible, the tube should be left a little longer and entry made closer to the 12 o’clock position. This helps avoid eyelid rubbing on the tube and also leaves spare tube length in case the tube needs to be repositioned later on.
Figure 3. Proper entry of a sharp 23-gauge needle into the anterior chamber prepares the tract for positioning the intraocular tube.
Once the needle has reached the surgical limbus (or gray line) angle it more posteriorly so that the entry parallels the iris plane. This helps to prevent anterior insertion and corneal trauma. If the anterior chamber is shallow from peripheral synechiae, a viscoelastic and blunt dissection can gently break these. If this is not possible, consider a surgical peripheral iridectomy and placing the tube entry within this space. If bleeding occurs, tamponade with viscoelastic (making sure to remove it at the end of the surgery), or use fine-tip intraocular diathermy to cauterize the iris.
Correcting non-optimal tube placement
If the tube placement is not optimal, you should remove it and perform a separate needle entry. Typically, you do not need to close the initial entry site because it is self-sealing — although this is not the case if the tube has been present for any length of time.
Once a tube is in place, its position within the eye cannot be changed unless a different entry is made. The most common mistake surgeons make is to place the tube anteriorly so that it contacts the corneal endothelium. I often check the tube by pushing on the sclera superiorly to simulate eyelid blinking. An anterior tube close to the cornea may actually rub on the endothelium with this pressure; it should be moved more posteriorly.
If the tube is to be placed in the pars plana, a full vitrectomy is indicated, with careful attention to removal of the anterior vitreous base in the tube quadrant. Remember to make the tube bevel face posteriorly, and to angle the tube away from the iris at the entry site. Make sure the tube tip is visible in the posterior chamber by depressing the sclera at the entry site and visualizing it through the pupil.
Once the tube is in place, anchor it externally to the sclera with an overlying “x” suture, preferably vicryl. This helps prevent tube migration out of the anterior chamber.
Covering the tube
To prevent tube erosion, you must use some tissue to cover the tube. The most common patch graft materials are donor sclera, pericardium or cornea. Sclera is generally thicker and will need to be thinned somewhat at the limbal side to prevent corneal dellen.
Pericardium has a larger surface area, but is thinner than sclera. I sometimes use a double layer of pericardium. Some surgeons more recently have used cornea tissue; this has the advantage of being less conspicuous cosmetically, and also allowing visibility of the ligating suture if laser tube opening is performed. Whichever material you use, make sure that the graft is as anterior as possible to prevent limbal tube erosion. Another technique is to create a large scleral flap to cover the tube, or to make a longer scleral tunnel (5-6 mm). These have the advantages of cost savings, because they use no graft material.
Tube opening
As stated, the typical ligature of 7-0 vicryl will open at five to six weeks postoperatively. Careful monitoring of the patient at this time is critical with appropriate reduction of glaucoma medications to avoid sustained hypotony after the tube opens.
One technique I frequently use is to open the tube with argon laser suture lysis at the week four or five visit. This allows me to monitor the patient for shallow anterior chamber and inject fluid or viscoelastic if needed. Glaucoma medications can be titrated at that visit as well. To execute this option, the ligature must be visible underneath the conjunctiva and not covered by an opaque graft.
Selected high-risk patients may warrant a staged tube procedure. The first stage consists of placing the plate, but not inserting the tube into the anterior chamber. After enough time has passed for the capsule to form, the tube can then be entered into the eye and covered. The surgeon must take care not to violate the capsule over the plate during the second operation.
The Ahmed valve has the advantage of functioning immediately upon insertion. The valve prevents IOP from dropping below a certain level, usually in the 6–8 mm Hg range. However, patients can still be at risk of hypotony, especially on the first few postoperative days. To prevent this, 25% to 35% of the anterior chamber can be filled with viscoelastic at the end of the surgery.
Optimizing outcomes with tube shunts
The techniques presented here will help optimize the results of glaucoma aqueous tube shunt surgery, while reducing complications. Certainly not every complication can be avoided, and surgeons must judge for themselves what seems safe at the time of surgery. In a later article, I will present the recognition and treatment of late-onset complications after tube shunt surgery. OM
REFERENCE
1. Gedde SJ, Schiffman JC, Feuer WJ, et al. Treatment outcomes in the Tube Versus Trabeculectomy Study after five years of follow-up. Am J Ophthalmol. 2012;153:789-803.
About the Author | |
| Brian A. Francis, MD, MS, is a professor and director of Glaucoma Services at the Doheny Eye Institute, Geffen School of Medicine, UCLA, Los Angeles. He has no relevant business relationships with any company mentioned in this article. |







