Is the treatment worth this price?
Sure, it’s a challenge to manage wet AMD. Some with a will are finding a way.
By Lindsey Getz, Contributing Editor
Anti-VEGF drugs have produced favorable results and improved quality of life for wet AMD patients. However, the most significant challenge posed by monthly intravitreal injections is the overall treatment burden for both the patient and the ophthalmology practice, says Christopher Haupert, MD.
“Most of our patients who receive intravitreal therapy are in their eighth decade of life or beyond, and many have problems with transportation and mobility,” he says. “Simply making the trip to the office can be quite a challenge.”
Consequently, the sheer volume of patients coming into the practice on such a regular basis poses its own set of challenges. Dr. Haupert, of Iowa Retina Consultants in West Des Moines, reports that both the numbers of patients seen in a given day as well as the number of patients receiving intravitreal therapy are trending upward.
“This poses a challenge where scheduling is concerned but also poses a financial challenge to the practice,” Dr. Haupert says.
Marc C. Peden, MD, says that the expensive FDA-approved drugs can present cash flow difficulties for practices. The money is “fronted” in anticipation of compensation by the insurance company, but this can sometimes take as long as 60 days.
“The high cost of these drugs presents a significant financial risk to the practice if a payer denies payment for any reason,” says Dr. Peden, of Retina Associates of Florida P.A. in Tampa. “This poses the challenge of ensuring that proper authorization and documentation are obtained on all patients prior to injecting. Some insurance companies have made this process even more onerous by requiring repeated authorization prior to each injection.”
REDUCING THE BURDEN
Longer intervals
Minimizing time in the office is a consideration for managing the burden of intravitreal injections. While some patients require a monthly interval, others may not, says Ronald C. Gentile, MD. “If we have a patient that can’t seem to go longer than a month, we may switch medications and see if it produces a longer interval,” says Dr. Gentile, of New York Eye and Ear Infirmary of Mount Sinai in Manhattan. “Individualized treatment with the objective of longer intervals has been our best method of decreasing the burden of monthly treatment.”
Duration between injections is readily determined when macular fluid fails to clear with an interval between injections of more than a month. Many patients can go two to three months between treatments without any significant disease activation. Dr. Gentile begins with monthly intervals and extends from there.
Most doctors use optical coherence tomography (OCT) to detect any evidence of activity by using a thickness measurement. According to Dr. Gentile, you can supplement and use vision or, in some cases, the presence of a hemorrhage.
Treat-and-extend
Dr. Haupert uses the treat-and-extend strategy. He says the interval between visits can often be safely extended for many patients (Figures 1-3). In fact, he reports a substantial number of his patients respond well to receiving treatment every three months.
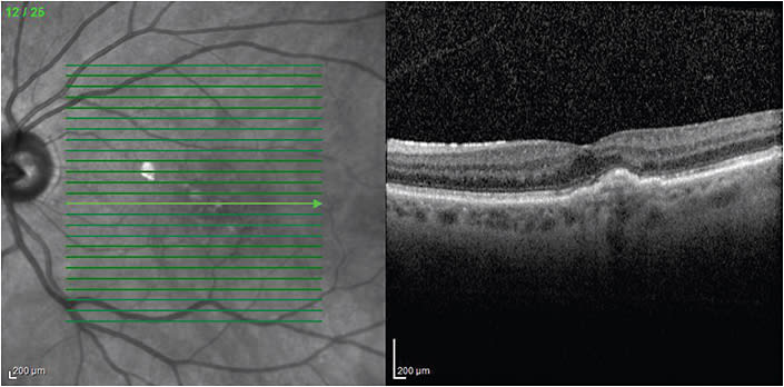
Figure 1. Baseline study shows subfoveal hyperreflectivity, consistent with subfoveal choroidal neovascularization, subfoveal fluid and mild foveal thickening. Visual acuity was 20/70. Bevacizumab (Avastin, Genentech) treatment began that day.
COURTESY CHRISTOPHER HAUPERT, MD
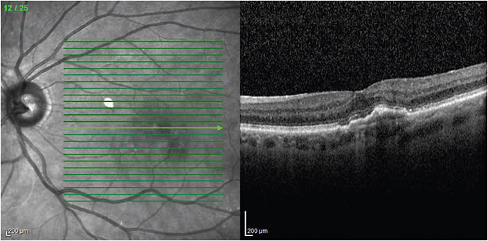
Figure 2. Three months after the baseline visits, following three monthly bevacizumab injections. Mild subfoveal elevation of the retinal pigment epithelium with resolution of all macular fluid. Visual acuity improved to 20/40.
COURTESY CHRISTOPHER HAUPERT, MD
Figure 3. Eighteen months after the baseline exam, following nine bevacizumab injections using a treat-and-extend strategy. The prior three injections were administered at three-month intervals. Shows no significant change from the study performed at the three-month point, still without any macular fluid. Visual acuity improved to 20/20.
COURTESY CHRISTOPHER HAUPERT, MD
“I typically administer three monthly injections, after which I obtain spectral-domain optical coherence tomography (SD-OCT) to assess for residual macular fluid,” Dr. Haupert explains. “If all intraretinal and subretinal fluid has resolved, I administer an additional injection and increase the interval between injections by two weeks at a time, administering injections and checking SD-OCT at each subsequent visit. As long as there is no recurrence of fluid, I continue to extend the interval between injections. While the majority of our patients require treatment more frequently than every three months, some do quite well with intervals of three months or even longer.”
BOOSTING EFFICIENCY
Scheduling and billing
Still, a number of patients require monthly treatment, so practices need to focus on efficiency. Many aim to reduce the burden associated with intravitreal injections in various ways. First, employees should be well-trained and frequently updated on the system in place to manage injections and reimbursements.
Also, because reimbursement for these costly drugs is imperative to cash flow, a robust system must be used to keep track of the drugs and their reimbursement, says Michael Engelbert, MD, PhD. “There is quite a bit of paperwork and employee time on the phone involved, but a slip-up anywhere in the process is prohibitively expensive,” says Dr. Engelbert, of Vitreous-Retina-Macula Consultants of New York P.C., in Manhattan.
Depending on the size of your practice and the injection portion of your workload, this task may be well suited to one individual who is familiar with the process and can handle all claims.
In addition, adequate staffing and thoughtfully designed clinical space are paramount to maximize efficiency, says Jaclyn L. Kovach, MD.
“Having two to three nurses working out of two to three injection rooms is very helpful,” say Dr. Kovach, an associate professor of ophthalmology at Bascom Palmer Eye Institute in Naples, Fla. “Also, placing the waiting room, exam rooms, injection rooms, a photography suite and nursing area all in close proximity to one another is very important in minimizing the time it takes for the patient and physician to move between stations.”
Some practices have also utilized scheduling changes as a means of managing an overwhelming number of monthly injections. One potential scheduling option: implement injection clinics in which the ophthalmologist only sees injection patients during a particular block of the schedule. Dr. Peden has found that streamlining injection appointments makes visits more efficient while accommodating patients. He typically blocks off half-day sessions dedicated to injections and add-on emergencies. This allows technicians to get into a flow that streamlines the process and gets patients in and out quickly.
“Staff can focus only on preparing patients for injections and it eliminates pulling technicians out to perform ancillary testing or waiting for patients to dilate,” he says. “By having designated injection clinics, patients can come, be numbed and injected all within 30 minutes without dilation. This allows many of our better-seeing patients to drive themselves to the appointment and decreases their dependence on family and friends to bring them.”
Planning ahead
Dr. Haupert includes injection-patients in the practice’s general schedule, but his practice still aims to increase efficiency through the process.
“We identify injection-patients on our schedule so the doctor is aware of which patients are likely to require injections,” he says. “As most of our patients are on ‘treat-and-extend’ plans, the doctor will identify patients who will require OCT in advance so that the scan is available for review when the patient first sees the doctor. This bit of planning ahead helps to streamline patients’ visits.”
Some practices delegate responsibilities to streamline the process. “It’s not the injection that takes time — it’s the prep work,” says Dr. Gentile. “Even drawing up the medication requires more time than actually injecting it.”
Still, Dr. Gentile cautions that delegating responsibility should not be taken lightly.
“Prep is where things can go wrong, and many doctors, including myself, are probably wary of giving up that control,” he says. “Anytime you make changes to make something more efficient, you need to make sure you’re not sacrificing safety. The risk of developing complications is small, but you don’t want to increase that risk.”
FUTURE POSSIBILITIES
In the pipeline
The future holds more possibilities for extending the interval time between visits and streamlining the injection process. For example, drug reservoirs, which are surgically implanted and refilled periodically, are on the horizon, including Replenish, Inc.’s Micropump.
Also, sustained-release anti-VEGF delivery systems could be injected or surgically implanted. Neurotech’s soluble VEGF receptor protein combined with its encapsulated cell technology could keep an implant working for up to two years, Dr. Peden says. According to the company’s website, dose escalation studies have been successfully conducted in subjects with wet AMD. Additional clinical programs are ongoing.
Last year Molecular Partners AG’s Allergan-sponsored, double-masked stage 3 phase 2 study of the DARPin abicipar pegol demonstrated that the drug provided equal or potentially higher vision gains compared to ranibizumab (Lucentis, Genentech) with fewer injections.
“There are some really exciting technologies on the horizon, and I believe over the next couple of years we will have a solution to the challenges posed by intravitreal injections,” adds Dr. Gentile. “Long-term delivery options utilizing slow-release technology could definitely decrease the treatment burden for both the patient and the doctor. But it could pose new challenges.”
For example, Dr. Gentile says technology that decreases the number of office visits for wet-AMD patients could have a financial impact on practices that are structured around seeing a high volume of injections. (He recommends a diversified portfolio, even for a retinal specialist.)
Keep current patients happy
While new technology could mean exciting changes in the future, Dr. Englebert says that practices should focus on keeping the “frequent fliers happy” in the meantime. Some practices have administered injections for many years, and regularly visiting patients come to know the staff and doctors well.
“Our goal is to have these patients not spend more than an hour in the office from check-in to checkout,” Dr. Englebert says. “That means we are already prepared for the likely event they will require treatment while here. By streamlining the process, we minimize the amount of time the patient has to wait around and that’s a key to keeping even regularly visiting patients happy.” OM







