Safeguarding the Cornea
Consider topical corticosteroids for bacterial keratitis
Studies show this treatment method is not as controversial as once thought.
By Jeffrey Golen, MD, Tom Lietman, MD, Stephen McLeod, MD
Despite advances in prevention and pharmacotherapy, bacterial keratitis remains a common cause of ocular morbidity. The standard of care remains slit-lamp evaluation, scrapings for gram stain and culture where indicated, and treatment with antibacterial eyedrops. Even though we can typically eliminate the causative organism before perforation or visually significant scarring, severe infections can result in poor vision or even legal blindness. Infectious keratitis has long been one of the top-five causes of blindness worldwide.1
Interventions to improve vision after corneal scarring include rigid contact lens fitting and corneal transplantation. Topical corticosteroids treatment during the active infection has long been a point of contention among ophthalmologists.2 While steroids have the theoretical advantage of decreasing inflammation and subsequent scar formation, they also inhibit local immunity.
As a result, the ophthalmologic community has been slow to adopt adjunctive treatment with topical corticosteroids, for concern of failure to clear or worsening of the bacterial infection. This controversy raged from the introduction of corticosteroids in the 1950s to the 2000s.3-5
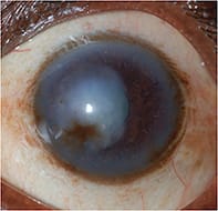
A pseudomonas corneal ulcer at presentation.
CORTICOSTEROID EFFECTIVENESS
Prediagnosis
The ophthalmologic literature indicates that use of topical corticosteroids prior to diagnosis of a corneal ulcer portends a worse prognosis. One systematic review evaluated studies that assessed the use of topical corticosteroids prior to bacterial keratitis diagnosis.2 In experimental models of bacterial corneal ulcers, instituting corticosteroids prior to antibiotics generally had a deleterious effect, including enhancing the growth of stromal infiltrate with certain bacteria species. In a number of retrospective human studies, treatment with topical steroids prior to diagnosis of bacterial keratitis increased the risk of complications or treatment failure.
Postdiagnosis
The role of steroids after successful diagnosis of bacterial keratitis has been less clear. A number of animal and nonrandomized human studies were initially conducted to evaluate the efficacy of topical steroids in concert with topical antibiotic therapy after diagnosis and were generally inconclusive.2,6-7
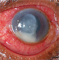
Pseudomonas corneal ulcer at 12-month follow-up after treatment.
Smaller randomized-controlled studies have helped increase our knowledge on the safety of topical corticosteroids with regard to bacterial keratitis, but these studies were not of sufficient size to prove any benefit.
In an early study, 40 patients were randomized to receive either antibacterial therapy only, with fortified cefazolin and gentamycin topical and subconjunctival therapies, or antibacterial therapy plus 0.1% dexamethasone drops four times daily until completely healed.8 Although no difference was found between the two groups (perhaps secondary to the small study size), adjunctive treatment with topical steroids for bacterial ulcers had a similar safety profile compared to antibacterial monotherapy, including rates of perforation and healing time.
A more recently published study examined 30 eyes with culture-confirmed bacterial keratitis. Half received topical gatifloxacin monotherapy, and the other half received gatifloxacin plus dexamethasone 0.1% drops.9 This study found no difference in ulcer size at 10 weeks between the two groups, as measured via digital photography, but adjunctive steroid therapy once again was not deleterious in a closely monitored environment.
In their preliminary study, Srinivasan et al evaluated culture-confirmed cases of bacterial keratitis with 17 patients receiving topical moxifloxacin monotherapy and 16 patients receiving moxifloxacin plus topical prednisolone sodium phosphate 1% drops after a minimum 48 hours of moxifloxacin monotherapy.10 The findings were limited by the small sample size, but the authors noted that re-epithelialization was delayed in the corticosteroid group. However, this did not translate to a difference in BCVA or infiltrate/scar size at either three weeks or three months. The group concluded that a much larger study would be needed to show significance in visual outcomes.
LARGER TRIAL OFFERS INSIGHT
SCUT findings
These previous studies led to the Steroids for Corneal Ulcers Trial (SCUT), the largest clinical trial to date on the topic, which has greatly expanded our knowledge and understanding.11 In SCUT, 500 patients with culture-positive bacterial keratitis were randomized to receive either topical moxifloxacin monotherapy, or with the addition of adjunctive adminstration of topical 1% prednisolone sodium phosphate, at an initial dose of four times per day, after 48 hours of topical antibiotic treatment.
The primary outcome of the study was BCVA at three months between the two groups, and, using this metric, there was no statistically significant difference between the two groups. One pertinent finding was that treatment with topical steroids was determined to be safe, with no difference between the groups in regards to the rate of healing at three months, the rate of corneal perforation or the rate of worsening of the keratitis.
Additional insight
Perhaps the most interesting data from SCUT was derived from the subgroup analysis. The investigators found the greatest benefit in the ulcers that were most severe at presentation, suggesting that these ulcers had the most to gain with topical corticosteroid treatment.
Also, the subgroup analysis found that Nocardia keratitis fared worse with topical corticosteroid treatment than non-Nocardia species.12 Nocardia, a weakly-gram positive and partially acid-fast bacterium, is rare in the United States and other western countries but is much more prevalent in South Asia. Of the 500 patients enrolled in the trial, 55 (11%) had a Nocardia corneal ulcer.
As above, the primary outcome in SCUT was analyzed at three months, but the 12-month data was also analyzed in a separate publication.13 The 12-month data showed evidence that ulcers caused by non-Nocardia species may benefit from topical corticosteroid treatment, with improved visual acuity compared to placebo.13 Another study using SCUT data examined early addition (within two to three days of initiation of topical antibiotics) of topical corticosteroids for bacterial keratitis.14 This study showed that there is a benefit to using adjunctive topical corticosteroids earlier in the course of treatment, with these patients having approximately one-line better visual acuity at three months compared to placebo.
FUTURE TREATMENT
A safe and effective option
In the last 30 years, the ophthalmologic community has learned a great deal about the highly contentious role of adjunctive topical corticosteroid treatment for bacterial keratitis.
Thanks to these studies, we know the addition of steroids is safe and could be beneficial for culture-confirmed non-Nocardia bacterial keratitis. In addition, earlier therapy and treatment of the most severe ulcers could have the greatest benefit.
This knowledge will aid in the treatment of these patients for years to come. OM
REFERENCES
1. Resnikoff S, Pascolini D, Etya’ale D, et al. Global data on visual impairment in the year 2002. Bulletin of the World Health Organization. 2004;82.
2. Wilhelmus KR. Indecision about corticosteroids for bacterial keratitis: an evidence-based update. Ophthalmol. 2002;109:835-844.
3. Hindman HB, Patel SM, Jun AS. Rationale for adjunctive corticosteroids in bacterial keratitis. Arch Ophthalmol. 2009;127:97-102.
4. Cohen EJ. The case against the use of steroids in the treatment of bacterial keratitis. Arch Ophthalmol. 2009;127:103-104.
5. Acharya NR, Srinivasan M, Mascarenhas J, et al. The steroids controversy in bacterial keratitis. Arch Ophthalmol. 2009;127:1231.
6. Coster DJ, Badenoch PR. Host, microbial, and pharmacological factors affecting the outcome of suppurative keratitis. Br J Ophthalmol 1987;71:96-101.
7. Hyndiuk RA, Eiferman RA, Caldwell DR, et al. Comparison of ciprofloxacin ophthalmic solution 0.3% to fortified tobramycin-cefazolin in treating bacterial corneal ulcers. Ophthalmol. 1996;103:1854-1862.
8. Carmichael TR, Gelfand Y, Welsh NH. Topical steroids in the treatment of central and paracentral corneal ulcers. Br J Ophthalmol. 1990;74:528-531.
9. Blair J, Hodge W, Al-Ghamdi S, et al. Comparison of antibiotic-only and antibiotic-steroid combination treatment in corneal ulcer patients: double-blinded randomized clinical trial. Can J Ophthalmol. 2011;46:40-45.
10. Srinivasan M, Lalitha P, Mahalakshmi R, et al. Corticosteroids for bacterial corneal ulcers. Br J Ophthalmol. 2009;93:198-202.
11. Srinivasan M, Mascarenhas J, Rajaraman R, et al. Corticosteroids for bacterial keratitis: the Steroids for Corneal Ulcers Trial (SCUT). Arch Ophthalmol. 2012;130:143-150.
12. Lalitha P, Srinivasan M, Rajaraman R, et al. Nocardia Keratitis: clinical course and effect of corticosteroids. Am J Ophthalmol. 2012;154:934-939.
13. Srinivasan M, Mascarenhas J, Rajaraman R, et al. The steroids for corneal ulcers trial (SCUT): secondary 12-month clinical outcomes of a randomized controlled trial. Am J Ophthalmol. 2014;157:327-333.e3.
14. Ray KJ, Srinivasan M, Mascarenhas J, et al. Early addition of topical corticosteroids in the treatment of bacterial keratitis. JAMA Ophthalmol. 2014;132:737-741.
About the Authors | |
| Dr. Golen is currently a cornea/external disease fellow at the F.I. Proctor Foundation at the University of California, San Francisco. |
| Dr. Lietman is director of the F.I. Proctor Foundation at the University of California, San Francisco. His interests include randomized controlled trials of corneal ulcer treatment, corneal ulcer prevention and trachoma. |
| Dr. McLeod is professor and chair of the Department of Ophthalmology at the University of California, San Francisco, and associate faculty member of the Francis I. Proctor Foundation. He has a long research interest in the diagnosis and treatment of corneal ulcers. |







