OSD: Scratching the surface
OSD: Help is on the way
Clinicians’ hard work is finally yielding more treatment options.
By Robert Murphy, Contributing Editor
The American Academy of Ophthalmology estimates that in the United States, almost 5 million people over age 50 suffer from dry eye syndrome, the majority of them women.1 “Tens of millions have less severe symptoms,” the NEI states.2 A 2008 study by Moss and associates looking only at the population of Beaver Dam, Wisc., from 1988-1990 (n = 4,926) and 1993-1995 (n = 3,722) found a 21.6% incidence of dry eye disease among those age 43-86.3
Figure 1. Lissamine green staining (top) and corneal fluorescein staining (bottom) in a moderately severe dry eye patient.
COURTESY STEPHEN PFLUGFELDER, MD
Academics and industry have expended considerable resources trying to devise better ways to diagnose and treat this troublesome ocular surface disease, which, if left untreated, can cause damage to the cornea and some vision loss.2 “There has been a tremendous increase in research in dry eye disease,” says David A. Sullivan, PhD, a senior scientist at the Schepens Eye Research Institute and associate professor of ophthalmology at the Harvard Medical School.
On the treatment side, cyclosporine (Restasis, Allergan) has benefited many patients since its 2003 launch. “Beyond that,” says Dr. Sullivan, “we are really in need of better treatments for dry eye disease. Since 2010 there have been more than 214 interventional clinical trials that have occurred.” Here’s a look at some treatments you could be offering your patients in the future.
Treatment: Medications
Four medications now in clinical trials hold some promise to receive FDA approval.
• Lifitegrast. Shire Pharmaceuticals of Lexington, Mass., announced in April it received priority review designation from the FDA for its small-molecule integrin inhibitor, according to a company press release. Shire’s New Drug Application submission was supported by four clinical trials, including one long-term phase 3 safety study involving more than 1,800 patients.
Lifitegrast is part of a growing movement that targets specific cytokines involved in ocular surface disease inflammation. “The trend is single cytokine or chemokine inhibitors,” says Esen Akpek, MD, professor of ophthalmology at the Johns Hopkins School of Medicine. “Instead of using broad spectrum anti-inflammatories or, for example, steroids or even cyclosporine, now the research is going toward single cytokine inhibition.” The development, she notes, mimics the trend in rheumatology. Shire says the FDA is expected to provide a decision by Oct. 25.
Figure 2. Shire Pharmaceuticals’ Lifitegraft.
COURTESY SHIRE PHARMACEUTICALS
• EBI-005. “We know biologics have revolutionized medicine with TNF blockers in rheumatoid arthritis,” says Michael Goldstein, MD, the chief medical officer of Eleven Biotherapeutics of Cambridge, Mass. and codirector of the Cornea Service at Tufts University School of Medicine. “As we understand more mechanistically what’s going on in the body, we’re able to specifically identify key targets in the body, and we know that modulating proteins is really the best way to handle inflammation.” Eleven Biotherapeutics just completed a phase 3 clinical trial of its protein-based, interleukin-1 receptor blocker EBI-005. The trial involved 669 patients at more than 40 US clinical sites.
While the phase 3 outcomes have not yet been published, Dr. Goldstein conveys a positive picture. “What we found … was a large clinically meaningful improvement in the sign as measured by corneal fluorescein staining and the symptom as measured by pain or discomfort in the eye,” Dr. Goldstein says. “In our trials we did not see any tolerability issues, so no stinging and burning.” The latter point is of interest, as stinging and burning are listed side effects of cyclosporine. The company plans to do further efficacy and safety studies and submit an NDA in late 2016.
• Lubricin. Friction is trouble in any sphere, and no less so on the corneal surface. With that in mind, Dr. Sullivan and his colleagues have developed recombinant lubricin, a natural lubricant found on the ocular surface. “It’s the body’s antifriction protein,” Dr. Sullivan says. The researchers, thinking, correctly, that lubricin was in the eye, found that inflammation usually shuts down its lubricating action on the surface. “So we’ve made recombinant lubricin. The clinical studies performed so far have shown one drop of lubricin in the eye of dry eye patients drops the symptoms for the next eight hours pretty dramatically compared to hyaluronate, and also drops the osmolarity,” he explains.
While other dry eye treatments target the problem downstream — addressing the inflammation that follows earlier events — Dr. Sullivan sees lubricin’s friction-easing action preventing inflammation from actually occurring. “What happens with hyperosmolarity and tear film instability and evaporation, [they] increase stress ON the ocular surface. That triggers the signaling systems in the epithelial cells, and that leads to the downstream inflammation and the barrier damage. By putting lubricin there to reduce the friction, and also reducing the tear film instability, you take away the pain.” Clinical trials coordinated by Lubris, the company with which Dr. Sullivan is affiliated, are due to be completed by year’s end.
• Androgens. Allergan has licensed a topical formulation of the male sex hormone androgens developed by Dr. Sullivan and his Harvard colleagues; phase 2 clinical trials have been completed. Dr. Sullivan found that androgens reduce the inflammation in the lacrimal glands in murine models of Sjögren’s syndrome, and most importantly, regulate the meibomian gland, in which dysfunction is believed to be the major source of dry eye pathology.
A new test for Sjögren’s syndrome
Ten percent of patients with significant dry eye disease have Sjögren’s syndrome, an autoimmune disease associated with dry eye, dry mouth and often multiple systemic sites of involvement, says Esen Akpek, MD, a professor of ophthalmology at the Johns Hopkins School of Medicine. She and her colleagues are investigating a new blood panel developed by Nicox called Sjö to test for Sjögren’s syndrome.
Dry eye and dry mouth usually mark the early involvement. It may get worse. “Systemic involvement is very common, kidneys, liver, lungs, a lot of other organs are involved, and it has a high morbidity rate,” Dr. Akpek says. “And it has the highest association with lymphoma.”
Diagnostic tests to date have proven inadequate. “It’s an underappreciated and under-recognized disease,” Dr. Akpek says. Because the diagnostic techniques are not adequate, false negatives are high — upwards of 50%. “Due to the nature of the disease, patients would complain about various different things, so there would not be one thing for the doctor to make the diagnosis.” So far, Dr. Akpek and her Hopkins associates have enrolled 180 patients to evaluate the Sjö test.
“The real target is meibomian gland dysfunction,” Dr. Sullivan says. “It can also suppress inflammation in the lacrimal tissue. But the key is MGD. And with MGD there’s no inflammation known to exist within the gland itself.” Androgens, he explains, act directly on the gland, improving its function.
Treatment: Drug delivery
New developments in drug delivery could also shake up dry eye treatment. One unusual administration is a tiny wafer developed by a research team including Stephen Pflugfelder, MD, a professor and director of the Ocular Surface Center at the Baylor College of Medicine. He claims it is a comfortable way of achieving something that would be of significant help to dry-eye sufferers — sustained delivery of drug to the surface of the eye. “The amount of drug that gets into the conjunctiva and cornea in animal models is much higher [with the wafer] than with conventional drops. And we also have the ability to titrate drugs better because we can alter their release. So we’re really excited about that as an alternative to drops, which turn out not to be the best way of delivering drugs,” Dr. Pflugfelder says.
The trouble with trials
The difficulty with optimally designing clinical trials for dry eye medications is that the signs and symptoms don’t always correlate. So you can show improvement in one but not the other, and then how do you interpret the results?
“There have been concerns about how to design clinical trials that meet the FDA criteria and still conform to the biology of dry eye,” says Anat Galor, MD, an associate professor at the Bascom Palmer Eye Institute. “Right now you need to show improvement in a predetermined symptom and sign. The problem is a lot of the symptoms and signs that are being chosen are not specific to the point of dysfunction. So if you have an anti-inflammatory, wouldn’t it be great to have your symptom be pain, and your sign be some sort of marker of inflammation?”
This is not an academic concern, as a potentially useful new drug may not be approved owing not to its true efficacy, but rather the study design. “It ends up that a lot of probably good drugs miss their primary endpoint because of these inclusion-exclusion criteria,” Dr. Galor says.
However, she believes both the FDA and the manufacturers have realized this and are working together to solve the problem. “But right now there’s not a magic formula that is getting products through. I think that until the design of the trial matches the biology of the drug, it’s going to be challenging because we know that the symptoms and signs of dry eye don’t go together. Just because you target one aspect of ‘dry eye,’ doesn’t mean you’re targeting another.”
Figure 3. Researchers at Baylor College of Medicine present the nano wafer for drug delivery.
COURTESY GHANASHYAM S. ACHARYA, MD
The device could deliver not only dry eye drugs such as cyclosporine, but also glaucoma drugs, antibiotics and anti-inflammatories for postoperative indications. “You could even just make one as an artificial tear,” Dr. Pflugfelder says.
Allergan is reportedly testing an injectable form of Restasis. That might be glad tidings for those patients who endure its burning and stinging, not to mention the inconvenience, of topical instillation. “The advantage of this is that rather than using eye drops ... every day, you would get one injection every several weeks or months,” Dr. Akpek says.
Another delivery vehicle is the Prose Lens, a large scleral lens that vaults the cornea and keeps drops in place all day. “It’s a big cup, almost, that you put on the eyeball,” says Christopher Rapuano, MD, chief of the Cornea Service at Wills Eye Hospital. Formerly called the Boston Scleral Lens, the procedure is still mainly performed in Boston. “But now the company has some outposts around the country where they do the fitting. There have been case reports where clinicians actually put medication drops in that and then place that in the eye, and then the medication kind of sits there all day long. That potentially could be a way to deliver certain medications in a benign, long-term way.”
Treatment: Ocular rehabilitation
Promising developments are occurring in the area of ocular surface rehabilitation as well. Clinicians are seeing salutary outcomes with autologous treatment measures for severely compromised ocular surfaces. One approach is the use of amniotic membranes in vehicles such as the ProKera (Bio-Tissue) or AmbioDisk (IOP Ophthalmics).
“There are now amniotic membranes of different thicknesses and some that are attached to contact lenses or rings like the ProKera, or can be put underneath a contact lens like the AmbioDisk,” Dr. Pflugfelder says. “It gives surgeons more options for applying amniotic membrane in cases such as acute injuries like chemical injuries or nonhealing epithelial defects or corneal ulcers.”
Regenerative medicine extends to the concept of autologous serum tears, whereby the patient’s own blood provides growth factors to help restore corneal integrity. The clinician draws blood from the patient and spins it down. “Then we give them their own serum as tears,” says Anat Galor, MD, an associate professor at the Bascom Palmer Eye Institute. “And we know that the serum has growth factors that keep the ocular surface healthy, such as nerve growth factors and others.”
A particularly exciting new development in ocular surface rehabilitation in patients with limbal stem cell deficiency is a less invasive method of simple limbal epithelial transplantation (SLET). Developed by Virender Singh Sangwan, MBBS, MS, this form of SLET may be indicated in patients with significant loss of limbal stem cells in one eye associated with chemical burns and other trauma that affects one eye but not the other (or the other eye minimally), as well as other causes of severe dry eye disease.
“In some cases the disease is so severe that by the time you see the patient … there are just not enough limbal stem cells present in the ocular surface,” says Dr. Galor. “It doesn’t matter how good you make the environment, the cells are gone. In those cases you have to start thinking about transplantation of the cells themselves, in addition to maintaining a good environment for them. The best place to get cells is from the other eye, and Sangwan in India has come up with a less invasive way to do that.”
Dr. Galor and her colleagues report success using the procedure.4 “What you do is take one clock hour of cells from the good eye, then cut them up and put them in an amniotic membrane sandwich and let them in vivo populate the ocular surface,” Dr. Galor says. “We’ve published our findings here at Bascom Palmer. We’ve had fantastic results: Patients who have had pain for years and decreased vision have done really well with this procedure.”
Lack of long-term follow-up, however, remains a problem, with most patients only about a year posttreatment.
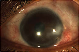
Figure 4. Patient with history of trauma to the left eye with severely damaged limbal cells.
Figure 5. Harvest site in the patient’s right, unaffected eye for healthy limbal cells to transplant in SLET surgery.
Figure 6. Left eye again, five months after SLET.
COURTESY ANAT GALOR, MD
She also emphasizes that SLET is not a good option for patients with bilateral limbal stem cell deficiency. “But for those with unilateral deficiency, SLET can restore a healthy ocular surface, relieve pain and improve vision in a minimally invasive way.” OM
REFERENCES
1. Eye Health Statistics at a Glance. American Academy of Ophthalmology. www.aao.org/newsroom/upload/Eye-Health-Statistics-April-2011.pdf. Accessed April 15, 2015.
2. Facts about dry eye. National Eye Institute. www.nei.nih.gov/health/dryeye/dryeye. Accessed April 14, 2015.
3. Moss SE, Klein R, Klein BE. Long-term incidence of dry eye in an older population. Optom Vis Sci. 2008;85:668-674.
4. Amescua G, Atallah M, Nikpoor N, et al. Modified simple limbal epithelial transplantation using cryopreserved amniotic membrane for unilateral limbal stem cell deficiency. Am J Ophthalmol. 2014;158:4694-4675.
About the Author | |
Robert Murphy is a freelance medical journalist in Watertown, N.Y. | |







