Trends in early diabetes diagnosis
Recent research could help clinicians get a handle on complications sooner.
By Elizabeth R. Gaillard, PhD & Devi Kalyan Karumanchi, PhD
An early diagnosis of type 2 diabetes would give patients a chance to delay further complications through a change in their diet and exercise regimen. But right now, an early diagnosis generally doesn’t happen; the average time between onset and diagnosis of this type of diabetes is about seven years.1 One study reports that 21% of type 2 diabetics have some form of retinopathy at the time of diagnosis, and that during the first two decades of the disease, 61% have retinopathy.2
Diagnosing diabetes before that seven-year average is the goal of numerous investigators. While progress tends to move more slowly on the medical-devices research front, it is happening. This article reveals some of the innovative research ideas in the development of noninvasive ocular diagnostics and imaging techniques for the early detection of diabetes and its complications. They may not yet be in FDA clinical trials, but in the meantime, researchers are busy developing better, earlier diagnostic tools to help clinicians catch, and treat, diabetes and its related complications.
Spectralis HRA+OCT images of a patient with DME and disrupted inner and outer retinal layers with formation of pseudohole. The anatomy and vision were not improved even after pars plana vitrectomy with internal limiting membrane peeling.
COURTESY ADZURA SALAM, MD, MBBS, MS, CARSTEN FRAMME, MD, MBA AND SEBASTIAN WOLF, MD, PHD
Current methods
Currently, several methods are used for screening diabetes, such as A1c, fasting plasma glucose and oral glucose tolerance tests based on glycation of hemoglobin.3 But blood glucose levels are not constant due to rapid hemoglobin turnover, which is much faster in diabetics than nondiabetics.4,5 This presents a major disadvantage for diagnosing patients in type 2’s early stages.
Imaging
Biomarker quantification has gained a huge market in the past few years for developing diagnostics: Count advanced glycation-end products among them. These end products have a characteristic fluorescence that have been used as a diagnostic tool. As eyes are easily accessible for imaging, the development of visible light-driven diagnostic tools that will search for evidence of diabetes makes perfect sense.
Karumanchi et al. have developed a method for early diabetes detection by measuring the fluorescence lifetimes of advanced glycation end-product (AGE) fluorophores from the eye lens.6 In the Burd lab, researchers there developed a fluorescence microscope to measure the lens autofluorescence in conjunction with Rayleigh scattering from the lens proteins, the ClearPath DS-120 (Freedom Meditech).7,8 The FDA approved it in 2013. In a study published last year, researchers found a statistically significant difference in autofluorescence levels between normal glucose levels and glucose levels that indicate type 2 diabetes as measured with the microscope. Measurements of autofluorescence collected with the microscope detected type 2 diabetes with a sensitivity of 67% and a specificity of 94%; the hemoglobin A1c test demonstrated detection with a sensitivity of 44% and a specificity of 79%; a fasting plasma glucose test scored a senstivitiy of 50% and a specificity of 95%.8
Durkin et al. patented a technology for screening different regions in the eye using Raman spectroscopy as a method for identifying individuals at risk for developing diabetes. It “non-invasively detects molecular characteristics of the constituents of the aqueous humor, vitreous humor, lens or retina,” according to its patent.9 You and co-workers patented a fundus camera with infrared-based technology for detecting and monitoring diabetic retinopathy (DR).10 And Lifelens LLC, a medical device company, has filed for a patent on a device which can be used to detect diabetes by taking images of the eye. It also includes a processor and an indicator, thus eliminating the cost and delay caused by sending blood to a lab for diagnosis.11
Disease progression
Using ocular imaging to determine progression of eye diseases like DR and AMD has become much easier due to emerging technologies in biomedical engineering. Optical coherence tomography (OCT) has evolved into a more sophisticated method for screening the retina with a higher resolution. Gerendas et al. have developed a 3-D automated choroidal thickness assessment feature on a standard spectral domain OCT (SD-OCT), which helps an ophthalmologist determine the level of diabetic macular edema (DME).12 Normando and colleagues reported a novel technology, DARC (Detection of Apoptosing Retinal Cells), for real-time imaging of single retinal neurons undergoing apoptosis. This technology is being tested on animal models for the early detection of glaucoma.13
In the Holfort lab, the focus is on scotopic signaling. Retinal neurons produce electrochemical signals; these signals travel to the brain for translation into visual recognition. These signals can be used for collecting the electroretinogram (ERG), which gives an indication of ocular pathologies. In diabetics, the ERG signal changes; this signal change has given rise to novel ideas for a very sensitive detection method. Holfort and colleagues have examined dark-adapted retinal function in subjects with type 2 diabetes. The change in scotopic signaling amplitude in the retinal layers from diabetic subjects was reported as proportional to the change in capillary glucose.
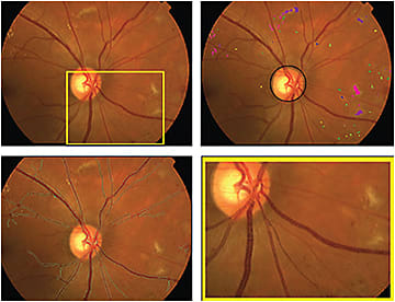
Fundus imaging biomarkers from a subject with diabetes and diabetic retinopathy. Input fundus color image (top left); lesion load metrics for hemorrhages (greenish), microaneurysms (yellowish), exudates (pinkish), retinal infarcts (purplish): the color shades indicate the confidence in the lesion type, and structural analysis of the disc location (top right); vessel analysis with green vessel boundaries (bottom left); detail of vessel analysis with local vessel widths visualized (bottom right).
COURTESY CHRISTINE N. KAY, MD, ELLIOTT H. SOHN, MD, AND MICHAEL D. ABRÀMOFF, MD, PHD
Proving what works, what doesn’t
At least two technologies designed for the diagnosis of ocular diabetic diseases have progressed to the clinical trial stage. DeBenedetto et al. have measured the hyper-reflective foci from 17 type 1 and 19 type 2 diabetic patients and determined that SD-OCT could be used for diagnosis and follow-up in the early stages of diabetic retinopathy.14 In contrast, Ciresi et al. have shown that OCT is not useful for detection of minimal diabetic retinopathy in type 1 diabetes. Researchers measured the retinal thickness of 102 patients.15
Pires et al. examined 348 patients with type 2 diabetes to determine the relationship between subclinical DME and the development of clinically significant macular edema observed in nonproliferative diabetic retinopathy. They used standard ophthalmic examinations like best-corrected visual acuity, fundus photography and OCT to demonstrate that patients with subclinical DME and nonproliferative DR are at risk of developing clinically significant macular edema.16
Optic nerve diseases are related to selective changes in different retinal layers of patients with optic disc edema and optic nerve head drusen, the Pilat team showed.17 They are investigating the macular morphology from a study group of 160 patients that included controls and patients with either optic nerve head drusen or optic disc edema.
Two groups have learned that corneal confocal microscopy could be a promising accessory technique for the early diagnosis of diabetes-related complications. Edwards et al., with the assistance of 231 patients with diabetes, measured corneal nerve fiber length and corneal nerve fiber tortuosity using corneal confocal microscopy. They found that by standardizing the corneal nerve fiber length for tortuosity, it improves a physician’s ability to differentiate individuals with diabetes, with and without neuropathy.18 Nitoda and company assessed differences in the extent of corneal nerve fiber alterations between 139 diabetic patients and 94 age-matched, nondiabetic patients. Their findings suggest that nerve fiber alterations in a diabetic cornea’s sub-basal nerve plexus progress in tandem with diabetic retinopathy and peripheral diabetic neuropathy.19 Tavakoli et al. have written a comprehensive review on the use of corneal confocal microscopy to diagnose peripheral neuropathy in diabetes patients.20
Conclusion
Ocular diagnostics has gained popularity especially for the early detection of diabetes-related diseases. Several research groups are examining the presence of specific biomarkers within the eye that correlate to disease progression in order to develop a noninvasive method for diagnosis. It seems likely that screening the eye as a means of diagnosing diabetes will be a promising new trend. OM
REFERENCES
1. Saudek, CD, Herman WH, Sacks DB, et al. A new look at screening and diagnosing diabetes mellitus. J Clin Endocrinol Metab. 2008;93:2447-2453.
2. Fong DS, Aiello L, Gardner TW, King GL, et al. Retinopathy in diabetes. Diabetes Care. 2004;27 Suppl 1:S84-7.
3. Panzer S, Graninger W, Kronik G, Bettelheim P, Lechner, K. Glycosylated hemoglobin as a long-term parameter in appraising the severity of hemolytic disease. Klin Wochenschr.1983;61: 839-843.
4. Cohen RM, Franco RS, Khera PK, et al. Red cell life span heterogeneity in hematologically normal people is sufficient to alter HbA1c. 2008;112:4284-4291.
5. Cohen RM, Haggerty S, Herman WH. HbA1c for the diagnosis of diabetes and prediabetes: is it time for a mid-course correction? J Clin Endocrinol Metab. 2010;95:5203-5206.
6. Karumanchi DK, Gaillard ER, Dillon J. Early diagnosis of diabetes through the eye. Photochem Photobiol. 2015 Aug 27. doi: 10.1111/php.12524. [Epub ahead of print]
7. Burd J, Lum S, Cahn F, Ignotz K. Simultaneous noninvasive clinical measurement of lens autofluorescence and rayleigh scattering using a fluorescence biomicroscope. J Diabetes Sci Technol. 2012;6:1251-1259.
8. Cahn F, Burd J, Ignotz K, Mishra S. Measurement of lens autofluorescence can distinguish subjects with diabetes from those without. J Diabetes Sci Technol. 2014.8:43-49.
9. Durkin AJ, Ediger MN, Chenault VM. Method for non-invasive identification of individuals at risk for diabetes: Google Patents. 2000.
10. You J, Li Q, Guo Z, Sun Q, Li C. Apparatus and method for non-invasive diabetic retinopathy detection and monitoring. Google Patents. 2012.
11. Wakizaka J, To W, Souaiaia T. System, method and device for automatic noninvasive screening for diabetes and pre-diabetes: Google Patents. 2014.
12. Gerendas BS, Waldstein SM, Simader C, et al. Three-dimensional automated choroidal volume assessment on standard spectral-domain optical coherence tomography and correlation with the level of diabetic macular edema. Am J Ophthalmol. 2014;158:1039-1048.
13. Normando EM, Dehabadi MH, Guo L, et al. Real-time imaging of retinal cell apoptosis by confocal scanning laser ophthalmoscopy. Methods Mol Biol. 2015;1254:227-237.
14. De Benedetto U, Sacconi R, Pierro L, Lattanzio R, Bandello F.2015). Optical coherence tomographic hyperreflective foci in early stages of diabetic retinopathy. Retina. 2015;35:449-453.
15. Ciresi A, Amato MC, Morreale D, et al. (2010). OCT is not useful for detection of minimal diabetic retinopathy in type 1 diabetes. Acta Diabetol. 2010;47:259-263.
16. Pires I, Santos AR, Nunes S, Lobo C, Cunha-Vaz J. Subclinical macular edema as a predictor of progression to clinically significant macular edema in type 2 diabetes. Ophthalmologica. 2013;230:201-206.
17. Pilat AV, Proudlock FA, Kumar P, et al. Macular morphology in patients with optic nerve head drusen and optic disc edema. Ophthalmology. 2014;121:552-557.
18. Edwards K, Pritchard N, Vagenas D, et al. Standardizing corneal nerve fibre length for nerve tortuosity increases its association with measures of diabetic neuropathy. Diabet Med. 2014;31:1205-1209.
19. Nitoda E, Kallinikos P, Pallikaris A, et al. Correlation of diabetic retinopathy and corneal neuropathy using confocal microscopy. Curr Eye Res. 2012;37:898-906.
20. Tavakoli M, Petropoulos IN, Malik RA. Corneal confocal microscopy to assess diabetic neuropathy: an eye on the foot. J Diabetes Sci Technol. 2013;7:1179-1189.
About the Author | |
| Elizabeth R. Gaillard, PhD, is Presidential Research Professor, Department of Chemistry and Biochemistry, Joint Appointment in the Department of Biological Sciences, Northern Illinois University. Email her at gaillard@niu.edu. |
| Devi Kalyan Karumanchi is a Life Sciences Patent Research Analyst with Global Patent Solutions LLC, in Scottsdale, Ariz. |
The authors have no financial relationships to disclose. | |







