My, how this snowball has rolled
Before 2000, no retinal therapies. How things changed.
By Jerry Helzner, Contributing Editor
Prior to 2000, retina specialists had no medical therapy for the treatment of retinal diseases such as wet AMD and DME. The only option for patients was laser photocoagulation, which constituted a “holding action” against disease progress and produced damaging retinal scarring.
But, in 2000, the FDA approved verteporfin photodynamic therapy (PDT, Novartis/QLT), branded as Visudyne. The therapy’s approval was a milestone as it began an era marked by great advances in medical retina.
Optical coherence tomography, first defined by David Huang, MD, PhD, (OCTA: motion tells the tale) while a student at MIT, defines the retinal anatomy with high resolution.
OCT angiography (OCTA) imaging of a normal macula (pictured above) shows a regular vascular pattern (A). OCTA in an eye with retinal vasculitis (B) demonstrates areas of retinal vascular occlusion (arrowheads) and capillary loss resulting in ischemia. Both images Optovue’s AngioVue Imaging System.
2000: Developed by two professors at the Massachusetts Eye and Ear Infirmary, Visudyne PDT is a two-step procedure that begins with an injection of a photosensitive chemical into the arm. The chemical accumulates in the retina, where it is activated 15 minutes later by a low-level, non-thermal laser. The treatment is designed to eliminate or reduce the unwanted blood vessels that characterize wet AMD. Though PDT improves vision in some patients, it is primarily meant to halt disease progression.
2004: The FDA approved the first anti-VEGF treatment of wet AMD, Macugen (pegaptanib sodium, Eyetech Pharmaceuticals). Injected intravitreally at regular intervals, Macugen halted disease progression in most patients but could not reverse vision loss.
2006: The launch of ranibizumab (Lucentis, Genentech) was a landmark in the fight against retinal diseases. This anti-VEGF drug, delivered intravitreally at regular intervals or PRN, can reverse vision loss in most patients. Now approved for wet AMD, DME, RVO and diabetic retinopathy, ranibizumab has worldwide annual sales of more than $4 billion.
2009: Ozurdex (Allergan) sustained-release steroidal implant introduced for the treatment of uveitis and DME.
Ozurdex’s real size (left, top) and with its 22-gauge applicator (bottom).
2011: Regeneron’s anti-VEGF drug Eylea (aflibercept) was approved for wet AMD. Like ranibizumab, it has since been approved for a range of retinal diseases. While ranibizumab is indicated for every-four-weeks administration, aflibercept can be dosed every eight weeks, giving it an edge in durability. Aflibercept has been a major financial success for Regeneron, allowing it to pursue other drug development initiatives.
Though anti-VEGF monotherapy dominates the treatment of retinal diseases today, the retina community has been looking toward the development of next-generation therapies. Though still in the investigational stage, they show promise of surpassing anti-VEGF monotherapy in efficacy and durability.
2014: Iluvien (Alimera Sciences) sustained-release implant approved for treatment of chronic DME.
Demonstrating the Iluvien insert.
2015: Ophthotech began the first two of three planned phase 3 pivotal studies combining any currently approved anti-VEGF with the company’s anti-PDGF (platelet-derived growth factor) drug Fovista. The rationale for this combination is that PDGF creates a barrier that inhibits the effectiveness of the anti-VEGF drug. Breaking down the PDGF enables the anti-VEGF drug to optimize its effectiveness.
Though Ophthotech is furthest along in its clinical trials for anti-VEGF/anti-PDGF combinations, Regeneron and Allergan are also pursuing this concept. Allegro Ophthalmics has conducted preclinical studies combining its integrin peptide Luminate with an anti-VEGF. Luminate has demonstrated long-lasting durability in early-stage clinical trials.
2015: Genentech began a phase 2 trial for the sustained-release delivery of ranibizumab through a tiny, refillable reservoir. The goal is to reduce injection frequency and office visits.
2015: Phase 2 data for the anti-VEGF small-molecule brolucizumab (Alcon/Novartis) demonstrated superiority to existing anti-VEGF drugs in both efficacy and durability.
2016: Regeneron, Roche/Genentech and Aerpio are conducting phase 2 clinical trials designed to combat the vascular growth factor Angiopoietin2 (Ang2), identified as a contributor to TIE-2 pathway disruption and the unwanted blood vessel formation that characterizes retinal disease. One aspect of each trial is to determine if the Ang2 inhibitor can pair with an already approved anti-VEGF drug to improve upon anti-VEGF monotherapy.
2016: Opthea begins a phase 2a clinical trial in wet AMD for its proprietary drug OPT-302, which combats VEGF-A, VEGF-C, and VEGF-D, while not inhibiting the “good” neuroprotective VEGF-B. The drug offers the promise of pan-VEGF inhibition, especially when combined with either ranibizumab or aflibercept.
2016: Ohr Pharmaceuticals starts a phase 3 trial combining its aminosterol eyedrop Squalamine with ranibizumab.
Gene therapy is probably five to 10 years away from widespread commercialization, though last year Spark Therapeutics announced a successful phase 3 trial for treating inherited retinal dystrophies caused by mutations in the RPE65 gene. This gene therapy procedure is intended to produce a cure with a single injection.
For the longer term, concepts such as gene therapy and stem cells represent the potential for real cures that will take retinal diseases out of their current status, in which they must be treated as chronic. Given the remarkable advances made from the year 2000 until now, few, if any, goals should be considered unreachable. OM
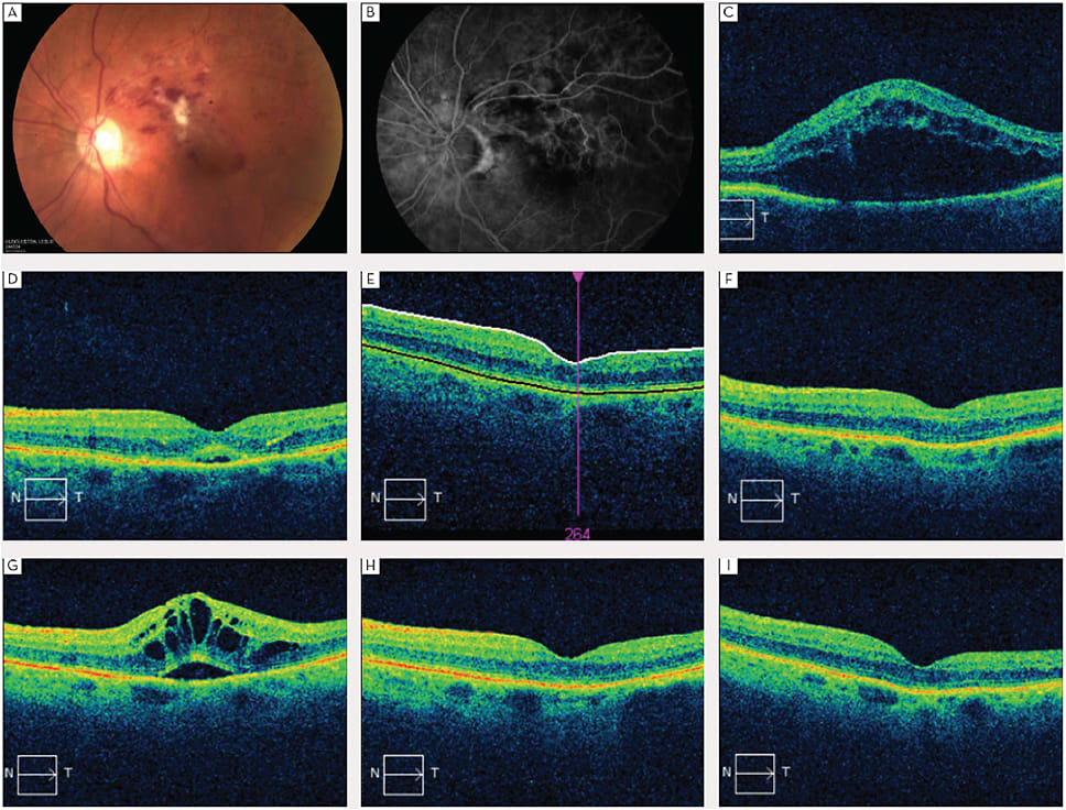
The power of OCT and combination therapy
Figures A-C: An 87-year-old woman presented with a branch retinal vein occlusion OS. The initial visual acuity was 20/200 and the OCT showed central retinal thickness of 812 μm. Figure D: Ranibizumab injection was given and her vision improved to 20/70, thickness decreased to 302 μm. Figures E-F: Ozurdex was implanted. Vision improved to 20/40. Figure G: Four months passed: vision decreased to 20/200 and OCT showed increase in thickness to 613 μm. Figures H-I: Repeat combination therapy with ranibizumab/Ozurdex improved vision to 20/40, and the OCT showed a dry macula for another three months.







