Our applications of widefield imaging
How we use it every day.
By SriniVas R. Sadda, MD
With the advent of anti-VEGF treatments for diabetic macular edema and AMD, ophthalmologists, regardless of whether they are retinal specialists or not, need to follow how these medications are working. It is the ultrawidefield technologies that allow us to do this. Thus, we use our ultrawidefield every day, because:
1. Widefield color imaging is useful to document my ophthalmoscopic findings
2. Widefield imaging can enhance our view of the fundus in patients with media opacity or who are difficult to examine
3. Peripheral nonperfusion and neovascularization are common in retinal vascular diseases, and recognizing these findings may affect how I monitor and manage these patients (Figure 1)
Figure 1. Left eye of 35 y.o. African-American male with proliferative diabetic retinopathy and vitreous hemorrhage. Widefield pseudocolor imaging is an excellent method for documenting the severity of the disease and the extent of hemorrhage.
4. Widefield autofluorescence patterns are useful in making rapid diagnoses in some patients such as those with retinal degeneration, inflammatory diseases and central serous chorioretinopathy
5. Widefield angiography may be particularly helpful for assessing disease activity in posterior uveitides.
For these reasons, and more, widefield imaging has become an integral tool in the practice of retina and ophthalmology. Widefield imaging refers to the capture of images of the entire fundus, including the peripheral retina. Various terms have been used, including “panretinal” imaging and “ultra-widefield” imaging, to distinguish the maximum field of view among various devices. This has led to confusion as most standard flash fundus cameras feature a “wide angle” mode of 45 to 60 degrees. Recently, the Diabetic Retinopathy Clinical Research Network proposed that at least 100 degrees of field should be captured within a single image for it to be considered “widefield.”
Current technology
Since widefield imaging came to eye care, we’ve seen continual advances in the technology (see “History of widefield imaging”1,2,3,4), including the Optos California, the latest commercially available device. Optos California captures widefield images with multiple modalities, including pseudocolor (red + green), green-light autofluorescence, infrared, fluorescein angio-graphy and indocyanine angiography.5 As the device is purpose-built for widefield imaging, the images are higher resolution than previous imaging technologies. As with any technology, it has limitations, including eyelash artifact, as well as somewhat different coloration due to use of red-green pseudocolor rather than true white-light color images.
Recently, Heidelberg Engineering introduced an “ultra-widefield” lens attachment to the Spectralis device, which allows users to capture images of up to 100 degrees of the fundus.6 A study comparing the field of view of the Spectralis to the Optos demonstrates that the Optos visualizes to more peripheral regions (130-140 degrees as opposed to 100 degrees).7
History of widefield imaging
The Panoret-1000 (CMT Medical Technologies) was an early widefield-imaging device. Launched in 2002, this device obtained color images of over 100 degrees of the fundus, albeit at low resolution. The device required transscleral illumination and was primarily used for documenting and monitoring of ocular tumors.1
In 2003 Giovanni Staurenghi, MD, developed a contact lens to use with any fundus imaging system that allowed capture of spectacular widefield images.2 The large field-of-view image would still project on the standard camera sensor, which limited the resolution for smaller regions of the image. Newer noncontact widefield imaging systems have largely supplanted the Panoret and the Staurenghi lens. The RetCam, introduced in 1997, is another contact lens-based widefield imaging system primarily used to evaluate pediatric retinal disorders, most notably retinopathy of prematurity (ROP). The images have limited resolution and contrast, but this technology remains a key component of ROP-telemedicine programs.3
The field of widefield imaging really experienced a leap forward with the introduction of the Optos4 noncontact widefield imaging device (Optos P200 in 2000). This scanning laser ophthalmoscope (SLO)-based device features a unique mirror design and optical path that allows users to capture images from a point that is “virtually” in the eye, allowing access to the peripheral retina.
The CenterVue Eidon can produce images greater than 100 degrees, but this requires montaging multiple 60-degree images. Like the Optos, images can be captured through small pupils and media opacity. The Eidon has the advantage of using true white light (LED) for image capture in a confocal manner, but angiography is not available on the platform (color, red-free and blue-light autofluorescence images are possible).
In our office, we have captured images with all three of these noncontact widefield instruments, although the majority of my experience comes from the Optos device. Widefield imaging has become an essential part of how I practice retina and take care of patients. Below, I describe several of the major applications for widefield imaging in my practice, by modality.
Widefield pseudocolor images
The red-green pseudocolor SLO images (Optomap) have a different appearance than standard flash white-light fundus photos. As a result, certain lesions can have an altered color that must be accounted for when interpreting images. Borders of some lesions may appear less clear, while others are well demarcated. Overall, I have found these images an excellent tool for documenting lesions, particularly peripheral abnormalities. Pigmented fundus lesions (nevi), hemorrhages, lipid exudates and cotton wool spots are well seen. In addition, because of the enormous depth of field of the Optos device, the posterior pole and the peripheral retina both appear in excellent focus — even in myopes with very long eyes.
Importantly, we can obtain these images through a nondilated pupil and through significant media opacity (as long as a tiny opening can be found). This has proved to be invaluable for patients who cannot be dilated for various reasons, such as occludable angles. I have detected evidence of retinal tears and retinal detachments in several cases in which patients presented with suspicious symptoms but declined dilation.
In addition, widefield imaging can be a useful adjunct to ophthalmoscopy for a patient contemplating cataract surgery, but media opacity somewhat limits the view of the retina. I also routinely use widefield images to document and monitor the level of retinopathy in diabetic patients — particularly in the era of intravitreal pharmacotherapeutics, as they appear to reverse background retinopathy.8 I obtain a widefield pseudocolor image as a tool for documenting fundus findings of most new patients to our office. We are working on methods to integrate these images into our EMR, as it may be more effective and accurate to annotate a widefield image than to perform a detailed retinal drawing.
Widefield fluorescein angiography
I use widefield fluorescein angiography for three main purposes:
1. Identifying non-perfusion in retinal vascular diseases (eg, vein occlusions, diabetic retinopathy)9
2. Identifying and monitoring neovascularization (for the diseases above, but also sickle cell, inflammatory diseases and many others)
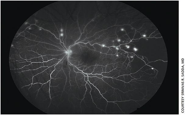
3. Evaluating for peripheral retinal vasculitis (Figure 2).
Figure 2. Widefield fluorescein angiogram of the left eye of a 25 y.o. Asian female who presented with shortness of breath and blurry vision. Some peripheral vessel staining as well as numerous small peripheral microaneurysms were seen. Right eye showed similar findings. Patient was ultimately diagnosed with Takayasu retinopathy.
Now that we treat some proliferative diabetic retinopathy patients with anti-angiogenic therapies, identifying and following areas of neovascularization is of paramount importance (Figure 3). In addition, recognizing peripheral nonperfusion is increasingly important, as the amount of peripheral nonperfusion appears to predict the likelihood of neovascularization development and the extent of macular edema. Laser photocoagulation to these areas of nonperfusion is considered a potential treatment option, especially in patients who seem to be suboptimally responsive to pharmacotherapy. The value of this is still being characterized in ongoing clinical trials.
Figure 3. Widefield fluorescein angiogram of the left eye of a 57 y.o. Latino male with poorly controlled diabetes. Evidence of proliferative diabetic retinopathy with multiple small areas of neovascularization and peripheral nonperfusion (especially temporally) are evident.
Widefield indocyanine green angiography
Indocyanine green (ICG) angiography is a relatively new addition to the widefield platform.5 It is particularly valuable in the diagnosis and management of patients with inflammatory diseases, such as various white-dot syndromes, like birdshot. These diseases can present with early blockage followed by late staining. We have also found it useful in patients with central serous chorioretinopathy in defining the extent of the area of choroidal vascular congestion and hyperpermeability. In my experience, patients with large areas of choroidal alteration seem to have a more protracted course, although this needs further validation in prospective studies. Suspected polypoidal disease is another important application of widefield ICG. The branching vascular networks in these pachychoroid spectrum/polypoidal diseases can be extensive and in some cases extend beyond the arcades. Their full extent and morphology is best depicted by widefield ICG.
Green-light fundus autofluorescence (FAF)
Of the various widefield imaging modalities, I have found that fundus autofluorescence (FAF) is the most transformative in my practice.11,12 Green-light FAF imaging primarily provides an assessment of the amount of lipofuscin in retinal pigment epithelium (RPE) cells. With progressive impairment/dysfunction, lipofuscin and autofluorescence (AF) can increase, and eventually when the RPE and photoreceptors die, the AF is lost. As such, FAF imaging provides a functional assay of the status of the RPE and photoreceptors.
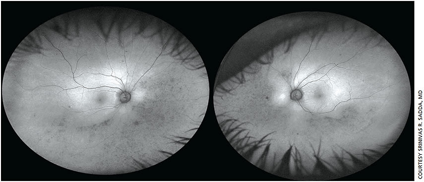
I have found this tremendously useful in the diagnosis and characterization of retinal degenerations and inflammatory diseases. FAF imaging is a great screening tool, as it provides excellent contrast for subtle fundus abnormalities. For example, a recently referred patient complained of some mild visual field loss superiorly that was initially attributed to ptosis. I obtained quick widefield FAF images in each eye through undilated pupils, which revealed AF alterations in the inferior retina of both eyes — we eventually diagnosed this patient with sector retinitis pigmentosa (Figure 4).
Figure 4. Right and left eyes of 42 y.o. white female complaining of superior visual field loss. The referring physician initially attributed the symptoms to ptosis, but non-mydriatic widefield autofluorescence images revealed mottled autofluorescence abnormalities of the inferior fundus in both eyes. Following electrophysiology, a diagnosis of sector retinitis pigmentosa was eventually made.
FAF imaging is also useful for making rapid, “spot” diagnoses. For example, with central serous chorioretinopathy, this modality clearly reveals the long peripheral gutters (Figure 5).
Figure 5. Widefield autofluorescence image of a patient’s right eye that has chronic central serous chorioretinopathy. The typical gravitational “gutters” are observed, allowing the diagnosis to be made immediately.
Conclusion
I use widefield imaging many times every day in my clinical practice. As OCT has proved to be a supplement and enhancement to biomicroscopy, widefield imaging has done the same for our ophthalmoscopy.13 Thus, it is an integral component of my diagnosis and management of patients. OM
REFERENCES
1. Pe’er J, Sancho C, Cantu J, et al. Measurement of choroidal melanoma basal diameter by wide-angle digital fundus camera: a comparison with ultrasound measurement. Ophthalmologica 2006;220:194-197.
2. Staurenghi G, Viola F, Mainster MA, et al. Scanning laser ophthalmoscopy and angiography with a wide-field contact lens system. Arch Ophthalmol 2005;12:244-252.
3. Kemper AR, Wallace DK, Quinn GE. Systematic review of digital imaging screening strategies for retinopathy of prematurity. Pediatrics 2008;122:825-830.
4. Anderson L, Friberg TR, Singh J. Ultrawide-angle retinal imaging and retinal detachment. Semin Ophthalmol 2007;22:43-47.
5. Klufas MA, Yannuzzi NA, Pang CE, et al. Feasibility and clinical utility of ultra-widefield indocyanine green angiography. Retina 2015;35:508-520.
6. Fung TH, Yusuf IH, Xue K, et al. Heidelberg Spectralis ultra-widefield fundus fluorescein angiography in infants. Am J Ophthalmol 2015;159:78-84 e1-2.
7. Witmer MT, Parlitsis G, Patel S, Kiss S. Comparison of ultra-widefield fluorescein angiography with the Heidelberg Spectralis noncontact ultra-widefield module versus the Optos Optomap. Clin Ophthalmol 2013;7:389-394.
8. Kiss S, Berenberg TL. Ultra widefield fundus imaging for diabetic retinopathy. Curr Diab Rep 2014;14:514.
9. Wessel MM, Nair N, Aaker GD, et al. Peripheral retinal ischaemia, as evaluated by ultra-widefield fluorescein angiography, is associated with diabetic macular oedema. Br J Ophthalmol 2012;96:694-698.
10. Singer MA, Tan CS, Surapaneni KR, Sadda SR. Targeted photocoagulation of peripheral ischemia to treat rebound edema. Clin Ophthalmol 2015;9:337-341.
11. Heussen FM, Tan CS, Sadda SR. Prevalence of peripheral abnormalities on ultra-widefield greenlight (532 nm) autofluorescence imaging at a tertiary care center. Invest Ophthalmol Vis Sci 2012;53:6526-6531.
12. Tan CS, Heussen F, Sadda SR. Peripheral autofluorescence and clinical findings in neovascular and non-neovascular age-related macular degeneration. Ophthalmology 2013;120:1271-1277.
13. Kornberg DL, Klufas MA, Yannuzzi NA, et al. Clinical utility of ultra-widefield imaging with the Optos Optomap compared with indirect ophthalmoscopy in the setting of non-traumatic rhegmatogenous retinal detachment. Semin Ophthalmol 2015:1-8.
About the Author | |
| SriniVas R. Sadda, MD, is the president and chief scientific officer of the Doheny Eye Institute, the Stephen J. Ryan – Arnold and Mabel Beckman endowed presidential chair and professor of ophthalmology at the University of California – Los Angeles (UCLA) Geffen School of Medicine. Dr. Sadda has been the principal investigator on more than 30 trials, including phase 3 studies of ranibizumab, preservative-free triamcinolone acetonide, and a dexamethasone posterior segment drug delivery system. |







