Our patient was a 39-year-old, 28-week pregnant African-American female with hypertension and insulin-dependent diabetes, referred by optometry. She reported a two-month history of blurry vision. Her blood sugar was in the 100s and her most recent hemoglobin A1c was 7.3.
THE OCULAR EXAM
During her eye exam, we found the following:
- Distance vision without correction: 20/20 OD, 20/200 OS
- Pupils: briskly reactive without APD
- IOP: 20 OD, 23 OS
- Anterior segment: unremarkable OU
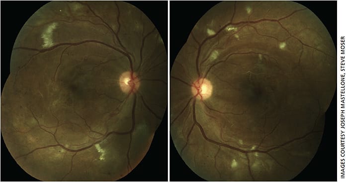
- Posterior segment: indicative of ischemic non-proliferative diabetic retinopathy (NPDR) and vaso-occlusive macular disease OU (Figure 1)
DIABETIC RETINOPATHY IN PREGNANCY
The rate of diabetic retinopathy (DR) progression in pregnancy depends on the pre-pregnancy DR stage. In a study of diabetic women, 6.3% of those with mild NPDR progressed to proliferative diabetic retinopathy (PDR) and 29% of those with moderate-severe NPDR progressed to PDR.1 Risk factors for DR progression during pregnancy include duration of diabetes, hypertension, poor glycemic control and rapid blood glucose changes.2,3
While the exact mechanism for DR progression in pregnancy is not well understood, possible etiologies include pregnancy-induced physiological changes in blood volume and pressure, retinal perfusion alterations and effects mediated by fluctuating hormone levels.4-8 Management of DR during pregnancy includes medical optimization of blood glucose control, as well as focal and grid laser for localized vessel leakage and diffuse permeability, respectively, if required.9-11
There are few reports of therapeutic intravitreal injections of anti-VEGF agents during pregnancy, with three associated fetal deaths documented. The current recommendation, therefore, is to refrain from anti-VEGF injections until after delivery.12
Indications for surgical intervention include tractional retinal detachment, non-clearing vitreous hemorrhage and management of neovascular glaucoma; however, surgical and anesthesia care must be coordinated with the obstetrics-gynecology (OB-GYN) team.13
HYPERTENSIVE RETINOPATHY IN PREGNANCY
Retinal health serves as a reflection of placental health in the pregnant patient, with serious implications for patient and fetus alike. Pre-eclampsia, defined as elevated blood pressure with proteinuria after 20 weeks gestation, can manifest with ocular signs and symptoms of hypertensive retinopathy, such as blurry vision, retinal hemorrhages, macular exudates and cotton wool spots.14-16 A related condition, Purtscher-like retinopathy, is a vaso-occlusive microangiopathy likely due to micro-embolization of retinal vasculature with subsequent tissue infarction.17,18
While laser is a safe therapeutic option for microvascular disease, management of new or worsening hypertensive retinopathy during pregnancy must focus on blood pressure control, seizure prophylaxis and, potentially, the need for early delivery of the infant by the OB-GYN team.19
BACK TO OUR PATIENT
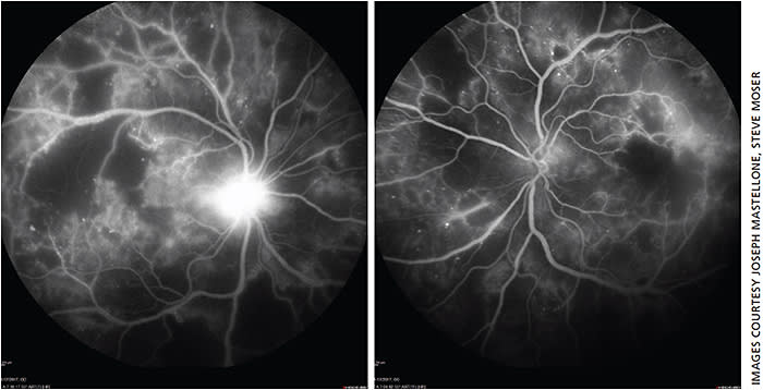
Diagnosed with DR with macular edema, severe ischemia, and probable Purtscher-like retinopathy, we referred our patient to the OB-GYN service for management of underlying pregnancy, diabetes and hypertension, whereupon she met criteria for pre-eclampsia. She was induced at 30 weeks and delivered a healthy infant. Subsequent visits after delivery demonstrated no change in her vision or posterior segment exam. We obtained fluorescein angiogram and optical coherence tomography of the macula (Figures 2 and 3).
The patient then underwent intravitreal Avastin (bevacizumab, Genentech) OS followed by panretinal photocoagulation OU with macular grid treatment of nonperfused areas for treatment of PDR OD and global ischemic disease OU. She was counseled on blood glucose and blood pressure control and continues to be followed closely.
TAKE-HOME POINTS
This case highlights the pivotal role ophthalmology can play in identifying vision- and life-threatening conditions during pregnancy, as well as the importance of effective communication of new and important clinical findings with other health care teams. OM
REFERENCES
- Chew EY, Mills JL, Metzger BE, et al. Metabolic control and progression of retinopathy. The Diabetes in Early Pregnancy Study. National Institute of Child Health and Human Development Diabetes in Early Pregnancy Study. Diabetes Care. 1995;18:631-7.
- Rasmussen KL, Laugesen CS, Ringholm L, et al. Progression of diabetic retinopathy during pregnancy in women with type 2 diabetes. Diabetologia. 2010;53:1076-83. English.
- Klein BEK, Moss SE, Klein R. Effect of pregnancy on progression of diabetic retinopathy. Diabetes Care. 1990;13:34-40.
- Thornburg KL, Jacobson SL, Giraud GD, Morton MJ. Hemodynamic changes in pregnancy. Semin Perniatol. 2000 Feb;24:11-4.
- Mallika P, Tan A, Aziz T, Syed Alwi S, Intan G. Diabetic Retinopathy and the Effect of Pregnancy. Malaysian Family Physician. 2010;5:2-5.
- The Diabetic Retinopathy Study Research Group. Four risk factors for severe visual loss in diabetic retinopathy. The third report from the Diabetic Retinopathy Study. Arch Ophthalmol. 1979;97:654-655.
- Chen HC, Newsom RS, Patel V, Cassar J, Mather H, Kohner EM. Retinal blood flow changes during pregnancy in women with diabetes. Invest Ophthalmol Vis Sci. 1994;35:3199-3208.
- Mackensen F, Paulus W, Max R, Ness T. Ocular Changes during pregnancy. Dtsch Arztebl Int. 2014 Aug; 111(33-34):567-576.
- Singerman L.J., Aiello L.M., Rodman H.M. Diabetic retinopathy: effects of pregnancy and laser therapy. Diabetes. 1980;29(suppl 2):3.
- American Academy of Ophthalmology Retina/Vitreous Panel. Preferred Practice Pattern Guidelines. Diabetic Retinopathy. San Francisco, CA: American Academy of Ophthalmology, 2014.
- Early Treatment Diabetic Retinopathy Study Research Group Treatment techniques and clinical guidelines for photocoagulation of diabetic macular edema. Early Treatment Diabetic Retinopathy Study Report Number 2. Ophthalmology. 1987;94:761-774.
- Peracha Z, Rosenfeld P. Anti-Vascular Endothelial Growth Factor Therapy in Pregnancy: What we know, what we don’t know, and what we don’t know we don’t know. Retina. 2016 Aug;36:1413-1417.
- Cheung A, Scott I, Fekrat S. Ocular Changes During Pregnancy. American Academy of Ophthalmology Eyenet. 2013.
- ACOG Committee on Obstetric Practice, American College of Obstetricians and Gynecologists. ACOG task force report. Hypertension in Pregnancy. November 2014.
- Bartsch E, Medcalf KE, Park AL, Ray JG, High Risk of Pre-eclampsia Identification Group. Clinical risk factors for pre-eclampsia determined in early systematic review and meta-analysis of large cohort studies. BMH. 2016 Apr 19;353.
- Roos N, Wiegman M, Jansonius N, Zeeman G. Visual Disturbances in (Pre)eclampsia. Obstetrical & Gynecological Survey. 2012 April;67:242-250.
- EyeWiki: Purtscher Retinopathy and Purtscher-like retinopathy. San Francisco: American Academy of Ophthalmology; [2015 Oct 28; 4 May 2017]. http://eyewiki.aao.org/Purtscher_retinopathy_and_Purtscher-like_retinopathy
- Medscape. Purtscher Retinopathy Clinical Presentation. Medscape. [2015 Aug 4; 2017 May 4]. http://tinyurl.com/y87oguqo
- Wagner L. Diagnosis and Management of Preeclampsia. American Family Physician. 2004 Dec 15;70:2317-2324.







