While steroid-induced glaucoma is a difficult clinical challenge, we can abate most steroid responses from ocular applications with cessation of the offending medication and as-needed medical therapy. However, functional vision may already be compromised due to the structural damage when the steroid use is less obvious or manifestations do not become apparent until the time of visual symptoms. Thus, treatment and management are aimed at preventing further deterioration of visual capacity.
CASE
About a decade ago, I was referred the case of a 12-year-old Asian female. At the time, she wore contact lenses to correct -5.00 D of myopia. The patient had reported to her treating optometrist irritation from her contact lenses; the optometrist in turn offered palliative measures aimed at reducing the intolerance. Unbeknownst to the treating optometrist, however, the patient’s mother obtained a medication while traveling in Asia that she gave to her daughter. In 2005, the FDA shut down the OTC manufacturer of this formulation, called “Bright Eyes” for numerous infractions, including the safety of some of its products and manufacturing deficiencies.1
The patient subsequently used this formulation for more than a year, likely multiple times a day. Upon further investigation, I discovered that this medication contained three active ingredients: an antibiotic, a vasoconstrictor and dexamethasone.
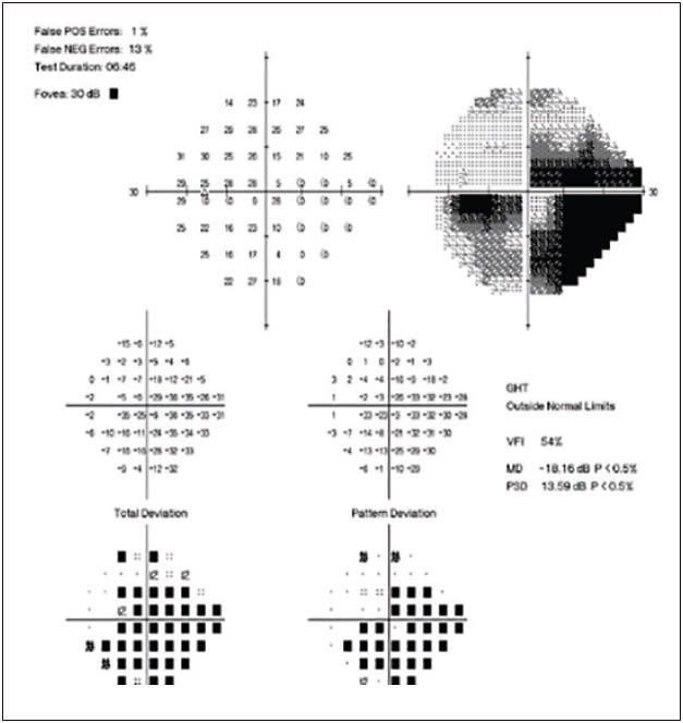
During my initial examination, I found pressures in both eyes over 40 mm Hg, significant optic nerve damage and moderate visual field loss. We immediately discontinued use of the formulation and placed the patient on topical glaucoma therapy. Later in the treatment course, we added an oral medication to attempt to control the pressure. She also underwent a trabeculotomy by internal approach (Trabectome, NeoMedix) after a pressure spike to more than 40 mm Hg. This brought her IOP down to the high teens, but by age 13, she had progressive visual field loss and required a trabeculectomy in both eyes.
Since the initial referral, we have continued to follow this patient. Her pressures are maintained in the low teens, although she recently required the use of a topical medication to maintain the target pressure. During the most recent examination, the patient, now 22 years old, exhibited functioning filtration blebs but with some degree of fibrosis and scarring around the site of the trabeculectomies.
DISCUSSION
This case demonstrates several important points about steroid-induced glaucoma. In addition to the potential severity at first presentation, the case highlights that some patients are very sensitive to steroids. The occult nature of the steroid administration is also notable, as the parents bought an over-the-counter medication with the best of intentions and were uninformed about the steroid component and its implications for the health of the patient’s eyes. This last point leads to two valuable lessons:
- The need to be vigilant in educating patients who use over-the-counter creams, ointments, drops, nasal sprays and inhalers so they understand the active and inactive ingredients.
- Perhaps as a consequence of not understanding the nature of their ocular symptoms (or not having any at all), patients often delay seeing an eye-care provider for their glaucoma, resulting in an often severe first presentation that may require incisional surgery.
UNIQUE CHARACTERISTICS
Steroid-induced glaucoma can be thought of as a secondary open-angle glaucoma, although it has several unique characteristics that require a different approach to its identification and management. The glaucoma and the underlying condition for which the patient uses the steroid often have a complicated interaction, which requires consideration of the secondary glaucoma as well as the initial diagnosis. In the case presented here, the occult steroid use took some investigation to unearth, and the offending agent could be discontinued. In other cases, the relationship is not so clear-cut.
In a case of potential steroid-induced glaucoma, consider several factors:
- The offending steroid. Many patients use steroids to treat systemic conditions, such as inhalers for asthma and nasal inhalers for allergies. The latter, which primary-care personnel prescribe more frequently, may not be accompanied with appropriate warnings. Steroids may also exist in over-the-counter preparations, ointments and oils used on the skin. Understanding the source of the insult may not always be easy. Patients must be questioned rigorously about steroid use in all its forms. It is not enough to ask if they are using steroids, as it may be in forms that the patient does not associate with medications, especially with over-the-counter products. Also, systemic administration or even injections for joint or spinal compression may not be associated in the patient’s mind with eye problems.
- Diagnosis and treatment of the underlying disease. In cases in which patients take an inhaler for allergies, they can likely stop the medication or switch to a nonsteroid treatment such as a bronchodilator. However, for patients with uveitis, who may require local steroids to varying extents, the ability to withdraw the steroid must be carefully considered.
- Nature of the underlying condition: is it acute or chronic in nature? This question will sometimes reveal whether the patient can discontinue or taper the steroid. If it is a chronic condition, the introduction of steroid-sparing immunomodulatory therapy may be warranted.
- Route of steroid administration. Drops, inhalers and topical preparations are easier to discontinue than intravitreal and sub-Tenon injections. Sustained-release steroid implants present an especially confounding issue, as it may be necessary to monitor and treat the patient until the drug’s activity expires. Route of administration may also be a clue to the degree of response and vice versa. An intraocular steroid typically produces the highest degree of response, followed, in order, by topical administration, subconjunctival, systemic and nonocular locally applied steroids. In addition, its route determines how long the steroid is likely to be in the system and therefore, its continued bioavailability. It can take months for the effect of the active drug to wear off, and, in some cases, the effect is chronic.
- Treatment of the glaucoma. Most patients with mild to moderate steroid response can be managed with medical therapies. However, many cases require surgery. Interventions that target the trabecular meshwork specifically may be advantageous, as this is the most relevant site of activity in the steroid glaucoma pathology. MIGS procedures address the physiologic mechanisms of steroid glaucoma, namely increased outflow resistance in the trabecular meshwork and the inner wall of Schlemm’s canal. Laser trabeculoplasty may be helpful, as it also functions at the trabecular meshwork, whereas most medical therapy decreases aqueous production.
- Not all surgeries for steroid-induced glaucoma are effective. Trabecular bypass or removal should theoretically be very effective because it bypasses or removes the site of resistance. However, unless the steroid can be discontinued, IOP may stay elevated after these procedures, possibly due to the steroid exerting an effect on the distal outflow pathway such as the collector channels or aqueous veins. Similarly, tube shunts should provide a predictable benefit, as they use an entirely new outflow pathway. Yet, in my experience, there appears to be a slightly greater likelihood of surgical failure in steroid induced glaucoma with tube versus trabeculectomy. The exact reason for this is unknown, but one theory suggests that steroids may affect the permeability of the capsule around the implant, making it less permeable to aqueous flow. Also, steroids may induce some change in the distal outflow system in addition to changes in the proximal outflow system at the trabecular meshwork.
- Risk factors. Patients who are steroid responders are at higher risk of developing open-angle glaucoma, and patients with open-angle glaucoma are more likely to be steroid-responders. A more complete understanding of this interplay may reveal insights on the natural history and pathophysiology of glaucoma that would benefit management strategies.
CONCLUSION
After a period in ophthalmology in which steroid use waned, the release of new formulations has led to their resurgence. This coincides with the increasing understanding of the importance of inflammation in many ocular diseases, such as retinal vein occlusion, diabetic macular edema, cystoid macular edema and, most prominently, uveitis. Steroids also are a mainstay of therapy in many systemic conditions, and ocular steroids play an important role in many ocular conditions.
The number of patients with these ocular conditions and comorbid glaucoma are likely to be great, thus increasing the chance of steroid response. At the same time, the treatments themselves for these retinal and ocular pathologies may trigger a response with a downstream consequence of glaucomatous optic neuropathy. OM
REFERENCE
- Poor manufacturing calls into question the safety of the firm’s eye drops. Center for Drug Evaluation and Research. Fiscal year 2006. Pp 3-17 to 3-18. http://tinyurl.com/gs3h4or . Accessed Feb. 6, 2017.







