Our patient was a 70-year-old African-American male with noninsulin-dependent diabetes who presented with a two-month history of two episodes of episodic vertical diplopia, each episode lasting 15 to 20 minutes. He denied associated ptosis.
THE WORK-UP
Our differential diagnosis included microvascular nerve palsy, compressive lesion of the orbit, myasthenia gravis, giant cell arteritis (GCA) and skew deviation. Upon further questioning, the patient reported fatigue, right-sided headache, jaw claudication, and joint pain. This led to a focused exam with the following pertinent findings:
Head: +tenderness to palpation of the scalp
Distance visual acuity with correction: 20/15 OD, 20/20 OS
Pupils: briskly reactive without afferent pupillary defect OU
Alignment: 1 PD right hypertropia in primary, up-gaze and left gaze 2 PD right exophoria in primary gaze, 1 PD right exophoria in up-gaze
Motility: Full bilaterally
Dilated fundus exam: Normal nerve, macula, vessels and periphery OU
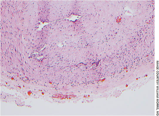
An MRI of the brain/orbits and MRA of the head/neck were negative. The erythrocyte sedimentation rate (ESR) and C-reactive protein (CRP) were elevated to 48 mm/hr and 3.0 mg/L, respectively. The constellation of clinical symptoms including episodic diplopia, constitutional symptoms of headache, scalp tenderness, jaw claudication and fatigue with elevated inflammatory markers pointed to a diagnosis of GCA. The patient was started on high-dose systemic steroids and his symptoms improved within 72 hours. A temporal artery biopsy was performed, demonstrating diffuse mononuclear cell infiltrate with giant cells at the intima-media junction, confirming GCA.
THE DIAGNOSIS
Giant cell arteritis (GCA) is an idiopathic inflammatory disorder leading to vascular obstruction of medium- to large-sized arteries, most often in individuals over 50 years of age. (Figure 1)1,2 While the classic presentation involves arteritic anterior ischemic optic neuropathy, GCA has a wide range of ocular and extraocular manifestations, including diplopia. Incidence of GCA presenting as diplopia varies from 5.9% to 33.3%.3-5 The diagnosis is usually made clinically and confirmed by the presence of elevated ESR, CRP and platelets with a positive and temporal artery biopsy.6 Timely diagnosis is crucial as GCA can threaten both vision and life if left untreated. Treatment involves high-dose systemic steroids for several months with close monitoring of inflammatory markers and recurrence of clinical symptoms. Some studies have shown interleukin-6 blockers to be effective nonsteroidal alternatives in refractory cases.7-9
THE LESSON
Ophthalmologists must maintain a high index of suspicion for GCA in patients over 50 years of age presenting with diplopia, taking care to obtain a thorough review of systems and order appropriate laboratory studies. OM
REFERENCES
- Kale N, Eggenberger E. Diagnosis and management of giant cell arteritis: a review. Curr Opin Ophthalmol. 2010;21:417-422.
- Weyand C, Goronzy J. Giant-cell arteritis and polymyalgia rheumatica. N Engl J Med. 2014; 371:50-57.
- Hayreh SS, Podhajsky PA, Zimmerman B. Ocular manifestations of giant cell arteritis. Am J Ophthalmol. 1998;125:509-520.
- González-Gay MA, García-Porrúa C, Llorca J, et al. Visual manifestations of giant cell arteritis. Trends and clinical spectrum in 161 patients. Medicine (Baltimore). 2000;79:283-292.
- Haering M, Holbro A, Todorova MG, et al. Incidence and prognostic implications of diplopia in patients with giant cell arteritis. J Rheumatol. 2014;4:1562-1564.
- Kermani T, Schmidt J, Crowson C, et al. Utility of erythrocyte sedimentation rate and C-reactive protein for the diagnosis of giant cell arteritis. Semin Arthritis Rheum. 2012;41:866-871.
- Mahr AD, Jover JA, Spiera RF, et al. Adjunctive methotrexate for treatment of giant cell arteritis: an individual patient data meta-analysis. Arthritis Rheum. 2007;56:2789-2797.
- Yates M, Loke YK, Watts RA, Macgregor AJ. Prednisolone combined with adjunctive immunosuppression is not superior to prednisolone alone in terms of efficacy and safety in giant cell arteritis: meta-analysis. Clin Rheumatol. 2014;33: 227-236.
- Unizony S, Arias-Urdaneta L, Miloslavsky E et al. Tocilizumab for the treatment of large-vessel vasculitis (giant cell arteritis, Takayasu arteritis) and polymyalgia rheumatica. Arthritis Care Res (Hoboken). 2012;64:1720-1729.







