The incidence of post-vitrectomy macular edema can range anywhere from 5% to 47%,1-3 but determining whether the vitrectomy itself causes cystoid macular edema (CME) is a different story. The edema could be related to preexisting conditions, such as retinal vein occlusions, diabetic retinopathy or epiretinal membranes.
The most accurate data comes from patients undergoing PPV for vitreous floaters. In these cases, we can clearly link any postoperative CME to the surgical procedure. Indeed, de Nie et al showed that CME after PPV for floaters occurred in 5.5% of cases.3
Vitrectomy is done for multiple indications, like retinal detachments, epiretinal membranes and retained lens fragments. Below is a discussion of the incidence of CME and treatment options for these common indications.
Incidence of CME
After retinal detachment surgery
Berrod et al reported that the incidence of CME was 7% after vitrectomy. Risk factors noted for CME were a smaller axial length (p < 0.005), a higher duration of macular detachment (p < 0.029), a lower visual acuity at presentation (p < 0.022), a history of posterior capsular rupture (p < 0.01) and the use of cryopexy during surgery (p = 0.035).4 Also, Banker et al reported a 15.2% incidence of CME after retinal detachment repair.5
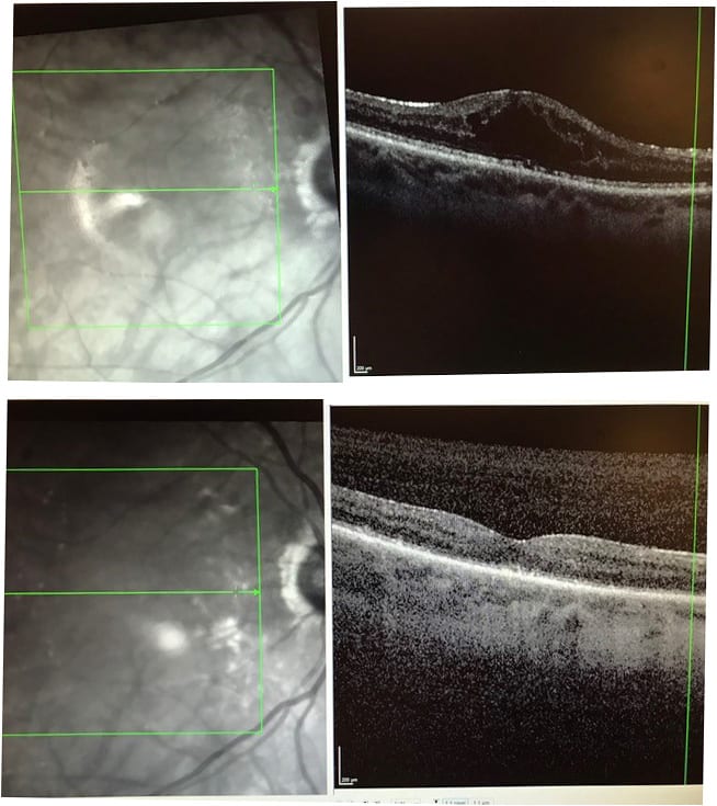
The use of silicone oil has been associated with CME as well. A study by Bae et al reported that under silicone oil tamponade CME was seen in 19.6% of cases.6 Silicone impurities, such as the oil’s low molecular weight components and residual catalysts, were thought to be responsible for the ocular inflammation. In most cases, however, visual acuity significantly improved after oil removal in correlation with the decrease in CME (Figure 1).
After PPV for epiretinal membrane (ERM)
The cause for edema is unclear. One theory is that peeling off the membrane causes mechanical trauma leading to accumulation of fluid.
Alam et al showed that the incidence of CME after PPV and ERM peel was 12.8%. They also showed that intravitreal triamcinolone acetonide resulted in a significant decrease in macular edema with a significant gain in vision 1 month after treatment. These were cases of recalcitrant CME after PPV.7
A study by Hattenbach et al evaluated the outcome of a 0.7-mg sustained-release intravitreal dexamethasone implant (Ozurdex, Allergan) for postoperative CME after PPV and ERM peel. Results of 39 eyes with chronic CME resistant to prior topical NSAID therapy showed a statistically significant decrease in central retinal thickness and improvement in vision.8
Chen et al evaluated the effects of intravitreal bevacizumab (Avastin, Genentech) for persistent CME after ERM surgery. They did not find a statistically significant improvement in central macular thickness or vision between the treatment and control groups.9
After PPV for retained lens fragments
Scott et al noted CME in up to 28% of eyes after PPV for retained lens fragments; the CME became chronic in about 20% of these eyes. After vitrectomy, inflammatory mediators can probably more easily diffuse from the iris and anterior chamber to the macula, causing CME.10
Management of post-vitrectomy macular edema
Prevention
No studies have validated the benefit of prophylactic NSAID drops in reducing the incidence of post-vitrectomy macular edema (Naithani et al).1 Tight blood sugar and blood pressure control can play an important role in decreasing the severity and occurrence of CME. In high-risk cases, 1 ml of sub-Tenon’s Kenalog (Bristol-Myers Squibb) or 0.05 ml intravitreal Triesence (Alcon) can be injected at the end of the surgery.
Treatment
A stepwise approach to treatment is recommended. I start with topical NSAIDs (bromfenac 0.07% [Prolensa, Bausch + Lomb] q.d. or, if this is not covered by insurance, generic ketorolac 0.5% q.i.d.) and difluprednate 0.05% (Durezol) q.i.d. — do not use difluprednate if the patient has a history of glaucoma or suspicious optic nerves. I check IOP after two weeks if on Durezol.
OCT scan is repeated four weeks after initiation of topical therapy (Figure 2). If CME is persistent, I give 1 ml of sub-Tenon’s kenalog and continue topical NSAIDs while stopping topical difluprednate.
If CME is still present when I see the patient a month later, I perform 0.05 ml of intravitreal Triesence while continuing topical NSAIDs. Occasionally, the CME will recur after the effect of Triesence wears off as vitrectomized eyes can have faster clearance of intravitreal medications (due to absence of vitreous which usually acts as a depot for the medications). Such patients do well with Ozurdex 0.7 mg. If the patient has glaucoma, I inject Avastin rather than an intravitreal steroid along with topical NSAIDs
Conclusion
A stepwise approach can lead to resolution of postoperative CME with good visual outcomes.
References
- Naithani P, Puranik S, Vashisht N, Khanduja S, Kumar S, Garg S. Role of topical nepafenac in prevention and treatment of macular edema after vitreoretinal surgery. Retina. 2012 Feb;32:250-255.
- Kim SJ, Martin DF, Hubbard III GB, et al. Incidence of postvitrectomy macular edema using optical coherence tomography. Ophthalmology. 2009;116:1531–1537.
- de Nie KF, Crama N, Tilanus MA, Klevering BJ, Boon CJ. Pars plana vitrectomy for disturbing primary vitreous floaters: clinical outcome and patient satisfaction. Graefes Arch Clin Exp Ophthalmol. 2013;1373–1382. Epub 2012 Dec 19.
- Berrod JP, El Kouhen N, Leroy BP, Conart JB. Incidence and risk factors of cystoid macular edema after retinal detachment surgery. Acta Ophthalmologica. 2016;94.
- Banker TP, Reilly GS, Jalaj S, Weichel ED. Epiretinal membrane and cystoid macular edema after retinal detachment repair with small-gauge pars plana vitrectomy. Eur J Ophthalmol. 2015;25:565-570.
- Bae SH, Hwang JS, Yu HG. Comparative analysis of macular microstructure by spectral-domain optical coherence tomography before and after silicone oil removal. Retina. 2012; 32:1874-1883.
- Alam MR, Arcinue CA, Mendoza NB, Freeman WR. Recalcitrant cystoid macular edema after pars plana vitrectomy. Retina. 2016;36:1244-1251.
- Hattenbach LO, Springer-Wanner C, Hoerauf H, et al. Intravitreal sustained-release steroid implants for the treatment of macular edema following surgical removal of epiretinal membranes. Ophthalmologica. 2017;237:232-237. Epub 2017 May 3.
- Chen CH, Wu PC, Liu YC. Intravitreal bevacizumab injection therapy for persistent macular edema after idiopathic macular epiretinal membrane surgery. J Ocul Pharmacol Ther. 2011;27:287-292.
- Scott IU, Flynn HW Jr., Smiddy WE, et al. Clinical features and outcomes of pars plana vitrectomy in patients with retained lens fragments. Ophthalmology. 2003;1567–1572.
Pseduophaikic cystoid macular edema
Pseudophakic cystoid macular edema (PCME), also known as Irvine-Gass syndrome, is one of the most common causes of visual loss after cataract surgery1,2. Clinical CME (ie.. visual decline due to edema) after phacoemulsification ranges from 0.1% to 2.35%3,4 while OCT evidence of CME after phacoemulsification ranges from 4%5 to 11%,6 but also reported to be as high as 41%.7
Although the exact pathogenesis of PCME remains unclear, it is thought to be trigged by intraocular surgery, generating a wide range of inflammatory responses with the formation of prostaglandins, leading to the blood aqueous/retinal barrier breakdown and cystic accumulation of extracellular intraretinal fluid.
Although PCME can occur in healthy eyes with no surgical complications, risk factors increase the likelihood of it occurring. Risk factors include PCME in the contralateral eye and anything that may disrupt the blood retinal barrier such as diabetes, uveitis, retinal vein occlusion, retinal degenerations, radiation retinopathy, epiretinal membranes, choroidal tumors and aging. Surgical complications like posterior capsule rupture with vitreous loss and retained lens material also increase the risk.
Prevention of PCME
For routine cataract surgery patients who don’t have the above risk factors, there is no standardized prophylactic protocol because there is a lack of large, randomized clinical trials. This is probably due to the fact that most cases of acute PCME spontaneously resolve. No ophthalmic NSAID has a clinical indication for this use. Studies have shown a decrease in PCME from an angiographic or OCT basis but not using a prospective design examining clinically significant loss of vision.
Diabetic patients are at a higher risk for PCME and prevention is key.
Preoperatively, besides tight systemic control of blood sugar and blood pressure they should be examined for any evidence of diabetic macular edema (DME) with a dilated fundus examination and OCT testing.
Injections
If DME is present, they need to be referred to a retinal specialist for consultation. My approach in such cases is to perform intravitreal anti-VEGF injections every 4 weeks.
The goal is complete resolution of DME before cataract surgery, however some patients need intravitreal injections for a year or longer to achieve this result. In such cases, and especially if they have a dense cataract, I will not delay the cataract surgery but perform at least 2 anti-VEGF injections every 4 weeks before the surgery and inform the patient and cataract surgeon that I will continue the injections every 4 weeks after the cataract surgery till DME resolves.
Another option is to inject Ozurdex (dexamethasone intravitreal implant, Allergan) 0.7 mg, which besides treating DME also has a longer duration of action (approximately 4 months) and might also negate the need for post-operative steroid drops.
Treatment of PCME
The management is similar to treatment of post-vitrectomy macular edema described elsewhere in this article.
References
- Flach AJ. The incidence, pathogenesis and treatment of cystoid macular edema following cataract surgery. Trans Am Ophthalmol Soc. 1998;96:557-634.
- Yonekawa Y, Kim IK. Pseudophakic cystoid macular edema. Curr Opin Ophthalmol. 2012;23:26-32.
- Henderson BA, Kim JY, Ament CS, et al. Clinical pseudophakic cystoid macular edema. Risk factors for development and duration after treatment. J Cataract Refract Surg. 2007;33:1550-1558.
- Loewenstein A, Zur D. Postsurgical cystoid macular edema. Dev Ophthalmol. 2010;47:148-159.
- Belair ML, Kim SJ, Thorne JE, et al. Incidence of cystoid macular edema after cataract surgery in patients with and without uveitis using optical coherence tomography. Am J Ophthalmol. 2009;148:128-135.
- Perente I, Utine CA, Ozturker C, et al. Evaluation of macular changes after uncomplicated phacoemulsification surgery by optical coherence tomography. Curr Eye Res. 2007;32:241-247.
- Shelsta HN, Jampol LM. Pharmacologic therapy of pseudophakic cystoid macular edema: 2010 update. Retina. 2011;31:4-12.







