Bilateral diffuse uveal melanocytic proliferation (BDUMP) is a rare paraneoplastic disorder frequently associated with gynecological malignancies. It presents with rapid-onset vision loss, cataracts and chorioretinal changes, and suggests an overall poor prognosis.
THE CASE
A 72-year-old female presented with complaints of bilateral flashes and floaters occurring for several weeks. Past medical history included low-grade papillary urothelial bladder cancer in remission. Social history was significant for a 20 pack-year history of cigarette smoking. Review of systems revealed unintentional weight loss of 40 pounds over the past 12 months. Visual acuities were 20/100 OD and 20/100 OS. Ophthalmological exam revealed 2+ nuclear sclerotic cataracts and posterior vitreous detachments OU. The view to the fundus of both eyes was significantly hazy. The remainder of the ophthalmological exam was unremarkable.
She subsequently underwent cataract evaluation for possible surgery with the intent to improve her vision and facilitate examination of the posterior segment. At the time, she continued to have flashes and floaters. She endorsed an interval increase in blurry vision and “darkness” of both eyes. Ophthalmological exam revealed visual acuities of light perception OD and hand motion OS. The anterior segment exam revealed worsening cataracts; posterior segment examination revealed macular thickening and multiple focal pigmented lesions in all four fundus quadrants OU.
Several weeks later, she was evaluated by the retina service. Visual acuities were light perception OU. Fundus exam revealed optic nerve hyperemia and deep, midperipheral hyperpigmented patches scattered in a nummular, giraffe-pattern throughout the macula and fundus, with bilateral inferior serous retinal detachments without retinal breaks (Figures 1 and 2).
Fluorescein angiography was obtained (Figures 3 and 4), which showed hyper-fluorescence corresponding to the deep hyper-pigmented lesions in the macula and periphery OU. Spectral domain-OCT showed areas of irregularly thickened RPE adjacent to areas of RPE dropout OU.
Serum studies revealed normal syphilis IgG, elevated ACE and normal lysozyme levels. QuantiFERON-TB Gold was positive. Chest X-ray and further workup for tuberculosis was negative. She was admitted for further workup and management. Due to high suspicion for malignancy-related eye findings, Urology was consulted due to her history of bladder cancer. However, the patient was found to have no evidence of bladder cancer recurrence.
Lumbar puncture with cerebral spinal fluid studies revealed 93% lymphocytosis but was otherwise unremarkable. MRI of the brain and orbits was unremarkable. CT showed adenopathy of the chest, abdomen and pelvis. In addition, she had evidence of right-sided pulmonary emboli and a right femoral deep venous thromboses (DVT). Lower extremity ultrasound showed further evidence of multiple additional DVTs in her lower extremities.
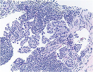
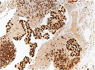
Pathology of an inguinal lymph biopsy was consistent with metastatic carcinoma with clear cell features of gynecological origin (Figure 5). Immunohistochemistry studies were positive for PAX8, a marker used to test for gynecological malignancies (Figure 6). Serum anti-enolase and anti-recoverin antibodies were positive, confirming the presence of paraneoplastic BDUMP as the cause of her recent eye findings.
The patient received six out of seven cycles of carboplatin and paclitaxel every three weeks under the care of the Gynecology-Oncology service. She also received oral steroids as part of her chemotherapy regimen. She underwent cataract extraction and IOL placement of the right eye with minimal improvement in her visual acuity. Plans for plasmapheresis were attempted but were not completed due to significant logistical difficulties and inadequate social support. The patient expired from cardiac arrest seven months after her initial presentation to the University of Chicago Eye Center.
DISCUSSION
BDUMP is a rare paraneoplastic disorder that was first reported in 1966.1 To date, at least 50 case reports describe BDUMP. The most commonly associated malignancies are gynecological carcinomas in women and pancreatic cancers in men.2,3 Other malignancies that have been associated with BDUMP include B-cell lymphoma, gallbladder carcinoma, renal carcinomas and gastrointestinal cancers.4-6 Interestingly, a case of cervical leiyomyoma,7 a benign tumor, has been reported in associated with BDUMP. There have also been several case reports of BDUMP with no associated active systemic malignancies.8 In these rare cases, it may be possible that the underlying malignancy was not recognized.
The cardinal signs of BDUMP include: 1) multiple, round or oval, subtle, red patches at level of the RPE, 2) multifocal areas of early hyperfluorescence corresponding to those patches, 3) multiple, slightly elevated, pigmented and nonpigmented uveal melanocytic tumors and diffuse uveal thickening, 4) exudative retinal detachments and 5) rapidly progressing cataracts.9 Paraneoplastic retinopathy must be considered in any patient with these signs and otherwise unexplained rapid vision loss, especially if the person has risk factors or exhibit signs concerning for malignancy.
A recent study by Miles et al. showed that a specific protein in isolated IgG fraction of serum of patients with BDUMP selectively causes melanocytes — but not other types of cells — to proliferate.2 This factor has been named cultured melanocyte elongation and proliferation (CMEP) factor.2 Early plasma exchange in an attempt to clear the serum of CMEP factor, with subsequent systemic chemotherapy and radiation to treat the underlying malignancy, has been shown to help visual prognosis in select cases of BDUMP.10,11 However, in most cases, few treatments improve visual outcome and prognosis is dismal, with rapid-onset vision loss and ultimately death within a few months to years from the time of diagnosis.
CONCLUSION
This case initially presented with common, nonspecific visual complaints, but the patient’s clinical exam rapidly deteriorated in an atypical manner, which was a red flag for a paraneoplastic condition.
Due to the rapid progression of BDUMP, early recognition of the syndrome and diagnosis of the underlying malignancy is paramount. Proper history taking, review of systems, clinical exam, ancillary imaging and early consultation of appropriate services, both within and outside of ophthalmology, are all useful considerations in the diagnosis and management of this disease. OM
REFERENCES
- Machemer R. On the pathogenesis of the flat malignant melanoma. Klin Monbl Augenheilkd 1966;148:641–652.
- Miles Sl, Niles RM, Pittock S, et al. A factor found in the IgG fraction of serum of patients with paraneoplastic bilateral diffuse uveal melanocytic proliferation causes proliferation of cultured human melanocytes. Retina 2012;32:1959-1966.
- O’Neal KD, Butnor KJ, Perkinson KR, Proia AD. Bilateral diffuse uveal melanocytic proliferation associated with pancreatic carcinoma: A case report and literature review of this paraneoplastic syndrome. Surv Ophthalmol 2003;48:613–625.
- Pefkianaki M, Agrawal R, Desai P, et al. Bilateral Diffuse Uveal Melanocytic Proliferation (BDUMP) associated with B-cell lymphoma: report of a rare case. BMC Cancer 2015;15-23.
- Rahimy E, Coffee RE, McCannel TA, et al. Bilateral Diffuse Uveal Melanoytic Proliferation as a Precursor to Multiple Systemic Malignancies. Seminars in Ophthalmol 2015;30:206-209.
- Ritland JS, Eide N, Tausjo J. Bilateral diffuse uveal melanocytic proliferation and uterine cancer. A case report. Acta Ophthalmol Scand 2000;78: 366-368.
- Chen YC, Li CY, Kuo YH, et al. Bilateral diffuse uveal melanocytic proliferation in a woman with uterine leiyomyoma: a case report. Chang Gung Med J. 2001 Apr;24:274-279.
- Alrashidi S, Aziz AA, Krema H, et al. Bilateral diffuse uveal melanocytic proliferation: a management dilemma. BMJ Case Rep 2014;May 22;2014.
- Gass JD, Gieser RG, Wilkinson CP, et al. Bilateral diffuse uveal melanocytic proliferation in patients with occult carcinoma. Arch Ophthalmol 1990;110:49-56.
- Jansen JC, VanCalster J, Pulido JS et al. Early diagnosis and successful treatment of paraneoplastic melanocytic proliferation. Br J Ophthal 2015;99:943-948.
- Jaben EA, Pulido JS, Pittock S et al. The Potential Role of Plasma Exchange as a Treatment for Bilateral Diffuse Uveal Melanocytic Proliferation: A Report of Two Cases. Journ of Clin Apheresis 2011;26:356-361.







