Our patient, a 68-year-old African-American female, presented for visual field testing — along with her glaucoma, ulcerative colitis, type 2 diabetes mellitus and hypertension. She felt that her vision had deteriorated since her last visit. Her IOP had been maintained between 12-14 mm Hg OU over the last year with latanoprost and timolol.
THE WORKUP
Worsening vision in a patient with multiple comorbidities could be due to pathology in any number of locations within the visual system. Common etiologies include cataracts, diabetic retinopathy, progressive glaucoma or a primary or secondary optic neuropathy. A complete ophthalmic evaluation and visual field testing were performed.
Here are the pertinent exam findings:
- Vision: 20/20 OD CC, 20/25 OS CC
- Pupils: Equal round and reactive, no afferent pupillary defect
- IOP: 14 mm Hg OU
- Anterior segment: Nuclear sclerosis 1+, cortical cataracts, anterior vacuoles OU, otherwise unremarkable
- Posterior segment: Posterior vitreous detachment; bilateral myopic disc tilt with cup-to-disc ratio 0.5 OU; normal macula, vessels and periphery OU
Humphrey visual fields 30-2 were obtained on presentation. The visual field pattern (Figure 1) was reliable and showed vision loss predominantly in the temporal region respecting the vertical meridian. These findings were highly suggestive of bitemporal hemianopia due to pathology at the optic chiasm; however, a small nasal component and lack of other neurologic symptoms such as headache confounded the clinical picture. A previous optic nerve GDx test (Zeiss) showed near-total thinning OD and diffuse thinning OS (Figure 2).
Considering her visual field deficits, IOP in the low teens and previously noted optic nerve thinning on GDx despite minimal optic nerve cupping on exam, we had to consider the possibility of intracranial pathology in this patient. Computed tomography (CT) and magnetic resonance imaging (MRI) were ordered to rule out lesions at the optic chiasm.
ARRIVING AT THE DIAGNOSIS
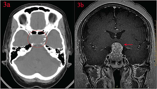
CT head and MRI brain studies were significant for 2.1 x 2.7 cm pituitary mass with suprasellar extension consistent with pituitary adenoma (Figures 3A and 3B).
First, some background on sellar masses. Roughly 80% of sellar masses are non-functioning pituitary adenomas (NFAs) and functional prolactinomas derived from the pituitary.1-3 Rathke’s cleft cysts (RCCs) and craniopharyngiomas (CPs) are the most common non-pituitary sellar masses.1
The presenting features and patient’s age at diagnosis for sellar masses depend on the subtype. For patients with prolactinomas, systemic effects of hyperprolactinemia dominate, making these patients less likely to present initially to the ophthalmologist.1 Non-functional pituitary adenomas, RCCs and CPs, on the other hand, are more likely to present to the ophthalmologist with symptoms such as vision loss or neurological dysfunction secondary to mass effect.1,4
Non-functional pituitary adenomas and RCCs typically present in patients at the fifth decade of life and older. Craniopharyngiomas show a bimodal age distribution, with the patients presenting in childhood and again in late adulthood.5
Comanagement with the endocrinology and neurosurgical services is crucial in caring for these patients. Prolactinomas are treated medically with dopamine agonists; very few lesions require surgical resection.3 For patients who do require surgery, trans-sphenoidal sellar mass resection can be performed.1,4,6 The patient is then monitored with serial imaging and hormone levels by the neurosurgery and endocrinology services, respectively.1,3,7,8
Visual prognosis in patients with sellar masses varies depending on the subtype. For patients with prolactinomas, the prognosis is favorable: Most tumors regress with dopamine agonist therapy as directed by endocrinology, which leads to resolution of compressive symptoms.1,3 Similarly, NFAs and RCCs have a good prognosis, with nearly 80% ultimately regaining lost vision after resection.6,9 Patients with craniopharyngiomas, on the other hand, have a worse visual prognosis, with approximately a third of patients experiencing further loss of vision after resection and only a minority experiencing visual improvement.10-12
Regardless of the sellar mass subtype, visual fields may continue to change for years after surgery or at any point during the course of medical therapy. Therefore, regular visual examinations and visual field testing by an ophthalmologist is recommended.4,7
THE LESSON
Back to our patient. She was referred to neurosurgery, where she was diagnosed with a non-functional pituitary adenoma and deemed a good candidate for trans-sphenoidal resection. Surgical planning is underway.
Sellar masses are relatively common across the general population. The ophthalmologist should have a high index of suspicion for intracranial pathology, such as sellar mass in patients presenting with vision changes accompanied by visual field defects respectful of the vertical meridian.
Management of patients with sellar masses requires a multidisciplinary approach involving the services of ophthalmology, endocrinology and neurosurgery. OM
REFERENCES
- Al-Dahmani K, Mohammad S, Imran F, et al. Sellar Masses: An Epidemiological Study. Canadian Journal of Neurological Sciences/Journal Canadien des Sciences Neurologiques. 2015;43:291-297.
- Tjornstrand A, Gunnarsson K, Evert M, et al. The incidence rate of pituitary adenomas in western Sweden for the period 2001-2011. European Journal of Endocrinology. 2014;171:519-526.
- Casanueva FF, Molitch ME, Schlechte JA, et al. Guidelines of the Pituitary Society for the diagnosis and management of prolactinomas. Clinical Endocrinology. 2006;65:265-273.
- Müller HL. Risk-adapted, long-term management in childhood-onset craniopharyngioma. Pituitary. 2016;20:267-281.
- Bunin GR, Surawicz TS, Witman PA, et al. The descriptive epidemiology of craniopharyngioma. J Neurosurg.1998;89:547-551.
- Kim E. Symptomatic Rathke Cleft Cyst: Clinical Features and Surgical Outcomes. World Neurosurgery. 2012;78:527-534.
- Cortet-Rudelli C, Bonneville J-F, Borson-Chazot F, et al. Post-surgical management of non-functioning pituitary adenoma. Annales dEndocrinologie. 2015;76:228-238.
- Schlechte J. Long-term management of prolactinomas. Journal Of Clinical Endocrinology & Metabolism. 2007;92:2861-2865.
- Mortini P, Barzaghi R, Losa M, Boari N, Giovanelli M. Surgical treatment of giant pituitary adenomas: Strategies and results in a series of 95 consecutive patients. Neurosurgery. 2007;60:993-1002.
- Jacobsen M, Thomsen A, Siersma V, et al. Predictors of visual outcome in patients operated for craniopharyngioma – a Danish national study. Acta Ophthalmologica. 2018;96:39-45.
- Wan M, Zapotocky M, Bouffet E, Bartels U, Kulkarni A, Drake J. Long-term visual outcomes of craniopharyngioma in children. Journal Of Neuro-Oncology. 2018;137:645-651.
- Caldarelli M, Massimi L, Tamburrini G, Cappa M, Di Rocco C (2005) Long-term results of the surgical treatment of craniopharyngioma: the experience at the Policlinico Gemelli, Catholic University, Rome. Childs Nerv Syst. 2005;21:747-757.







