Our case began in clinic when a 6-year-old Caucasian male presented with a two-day history of progressive worsening “black spot” in his right eye field of vision. Two weeks prior to this new right eye central scotoma, our patient had presented to his primary care provider with right eye redness and periorbital edema. He was diagnosed with conjunctivitis and prescribed an antibiotic drop and told to follow up in 1 month. At the time of this diagnosis, he denied any matting of lids or purulent discharge.
While his orbital symptoms improved, his mother sought a specialist evaluation due to his reported “black spot” OD. During the history taking, it was revealed that the patient’s parents were divorced and that he split time between his mother’s and father’s houses. Per the mother, 1 month prior to the patient’s presentation to his primary care provider, he was scratched by a cat on the right side of his face.
THE EXAMINATION
Examination was notable for a well-behaved 6-year-old. He did not have a noticeable red eye from across the room. His ophthalmic examination was as follows:
- General: No preauricular, cervical or axillary lymphadenopathy
- Retinoscopy: +2.25 sphere OD, +2.00 sphere OS
- Distance visual acuity without correction: 20/80 OD, 20/20 OS with no improvement with pinhole OD
- Pupils: Reactive, 4-2 mm both eyes with an afferent pupillary defect OD
- IOP: 19 mm Hg OD, 20 mm Hg OS
- Adnexa: Within normal limits OU
- Extraocular movements: Full OU
- Conjunctiva/sclera: Trace injection OD, white/quiet OS
- Slit lamp examination: Clear cornea OU. Anterior chamber deep and quiet OU. Iris round and flat with no abnormalities OU. Lens clear OU.
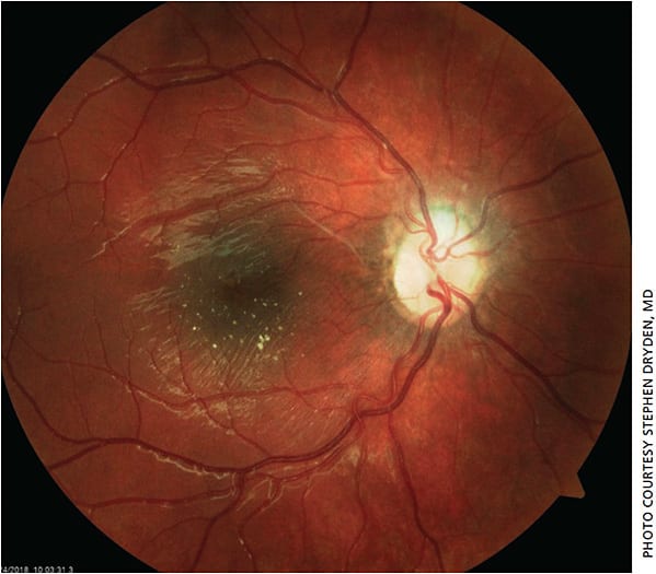
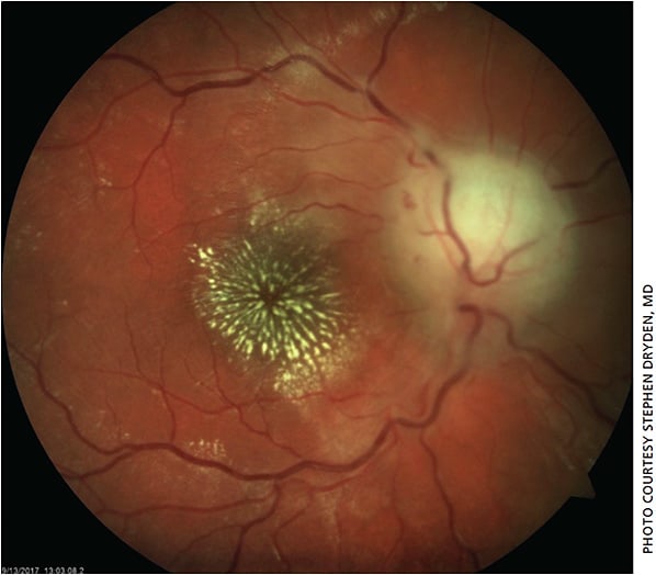
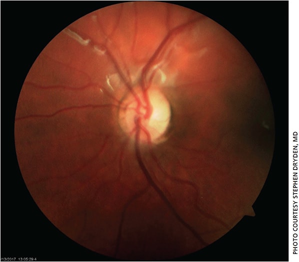
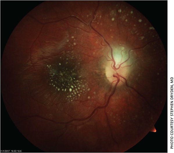
- Dilated examination: Vitreous clear OU. Optic nerves: Cup-to-disc ratio 0.2 OU with 3+ optic nerve head edema with blurring of disc margin OD (Figure 1), normal-appearing OS (Figure 2). Macula: Exudates in star pattern OD (Figure 3), without lesion OS (Figure 4). Vessels normal-caliber OU. Periphery normal with retina flat/attached, and no acute findings appreciated OU.
THE DIAGNOSIS
Our differential diagnosis included ocular bartonellosis (Bartonella henselae, Bartonella quintana), Lyme disease, toxoplasmosis and tularemia. Blood was drawn and sent for serologic study. B. henselae IgG screen was positive with an IgG Titer of 1:512. B. henselae IgM screen was negative. B. quintana IgM and IgG screen were negative. Infectious disease and pharmacy were consulted to assist with management of ocular bartonellosis. After discussion, our patient was prescribed azithromycin 200 mg/5 ml: 11 ml for 1 day followed by 5.5 ml per day for 4 days. Our patient was followed up at 1 week, 1 month, 2 months and 4 months, all with stable examination.
After his 1-week follow up, our patient was treated with a second course of azithromycin (10-day course this time). At his 2-month follow-up, our patient’s visual acuity improved to 20/40 OD with absent optic nerve head swelling OD (Figure 5). At his 4-month follow-up, our patient was 20/25 OD with resolved macular exudates (Figure 6). Incidentally, during his follow-up course, our patient was diagnosed with croup and prescribed a 7-day course of prednisone.
THE DISCUSSION
B. henslae, a gram-negative rod carried by fleas and excreted in their feces, is the causative organism responsible for cat scratch disease. Most cases are pediatric, resulting from a cat scratch or a bite. One to 2 weeks after initial exposure, patients develop a lymphadenopathy. This can resolve spontaneously over a period of weeks to months or progress/disseminate. Cat scratch disease can have ocular involvement in 5% to 10% of cases.
Ocular involvement usually presents in one of two ways:
- Parinaud oculoglandular syndrome, a granulomatous conjunctivitis with ipsilateral preauricular lymphadenopathy
- Bartonella neuroretinitis, a stellate maculopathy with optic nerve head edema, focal chorioretinitis and visual field defects
Either may be preceded by a viral- or influenza-type prodrome illness with lymphadenopathy. Both can have an associated anterior uveitis.
Treatment for ocular bartonellosis is usually observed in immunocompetent patients, as no evidence has shown that antibiotics or steroids have a beneficial effect on the final visual outcome. Macrolides and tetracyclines (with or without rifampin in immunocompromised patients) may help speed resolution of symptoms. Azithromycin and erythromycin have been used in pediatric populations to the same effect. While doxycycline has classically been shown to cause dental staining and enamel hypoplasia in pediatric populations, a dose of 100 mg b.i.d. for a total of 4 to 6 weeks has been reported as well.
THE TAKE-HOME
While most red eyes that present to the emergency room or primary care physician are ultimately diagnosed as conjunctivitis, treated with drops and never evaluated by an ophthalmologist, the provider should always take a careful history. While our patient was eventually evaluated by a pediatric ophthalmologist and his visual acuity and scotoma ultimately resolved, some patients who are misdiagnosed initially may not have as good an outcome. OM
REFERENCES
- Cunningham ET, Koehler JE. Ocular bartonellosis. Am J Ophthalmol. 2000;130:340-349.
- Golnick KC, Marotto ME, Fanous MM, et al. Ophthalmic manifestations of Rochalimaea species. Am J Ophthalmol. 1994;118: 145-151.
- Ahmad Z, Hynes A. Treatment of ocular bartonellosis. Invest Ophthalmol Vis Sci. 2007 May;48:705.
- Farid S, Sohail MR. Ocular bartonellosis. Mayo Clin Proc. 2017;92:1319-1320.
- Neuroretinitis. Basic and clinical science course (BCSC) Section 5: Neuro-ophthalmology. San Francisco: American Academy of Ophthalmology; 2017-2018.
- Cat scratch disease. Basic and clinical science course (BCSC) Section 12: Retina and vitreous. San Francisco: American Academy of Ophthalmology; 2017-2018.







