Corneal ulcers are a leading cause of blindness worldwide with at least 1.5 to 2 million cases estimated annually. Because progression can lead to significant corneal melt, perforation, endophthalmitis, and corneal blindness, diagnosis and management are time-sensitive.
As most corneal ulcer cases are microbial, this article will provide an overview of infectious keratitis, in terms of its epidemiology, diagnosis, and treatments.
Epidemiology
Infectious keratitis is particularly prevalent in developing countries that have difficult access to medical care, risk for trauma related to agricultural work, and worse health at baseline.
In more developed countries, the incidence of microbial keratitis is increasing from the prevalence of contact lens use, due to poor contact lens hygiene.
The specific pathogens of infectious keratitis have geographic differences based on climate-related flora and type of trauma, including contact lens wear. In Europe, North America, and Australia, as examples, microbial keratitis is typically Staphylococcus epidermidis, Staphylococcus aureus or Pseudomonas aeruginosa.1 In contrast, the Asia Corneal Society Infectious Keratitis Study reports a predominance of fungal keratitis, Fusarium, in India and China. The worldwide prevalence of Acanthamoeba is about 1% to 3% of infectious keratitis.2
Diagnosis
The definitive diagnosis of infectious keratitis can be achieved via the following:
Certain causes of infectious keratitis are more clinically distinguishable, facilitating diagnosis. Acanthamoeba and herpes simplex virus (HSV) both start with irregular epithelia and photophobia. For Acanthamoeba, the photophobia and pain are out of proportion with what is seen upon the clinical exam, meaning the patient’s pain is worse than what is seen clinically. In more advanced stages, a pathognomonic ring-shaped infiltrate or perineuritis can develop. The risk factors for Acanthamoeba keratitis are contact lens use, freshwater exposure, and trauma. For HSV, the uncommon necrotizing stromal keratitis can mimic bacterial keratitis. A history of hypoesthesia, cold sores, recurrent unilateral eye infections, and a history of dendritic or geographic epithelial defects are characteristic of herpetic keratitis.
Fungal keratitis can be subdivided into filamentous and yeast. The former initially presents with dull, gray infiltrates that have feathery borders and satellite lesions. Yeast typically presents in the setting of immunocompromise and pre-existing ocular surface conditions. Early stages appear as a small epithelial defect.
Both etiologies of mycotic keratitis can eventually develop dense infiltrates similar to bacterial keratitis. One study shows that corneal specialists correctly distinguished bacterial from fungal keratitis clinically in less than 70% of cases.3 This emphasizes the importance of microbial identification for more severe, refractory, and vision-threatening keratitis, since a large portion will be clinically indistinguishable.
Specimen for stains and cultures are obtained at the leading edge of infiltrates. Ways to maximize yield: specimen collection with a broth-moistened calcium alginate swab, Dacron swab, or a sterile metallic instrument. Tetracaine and BAK use should be avoided to preserve the viability of the pathogen. Careful sample collection prevents contact with lashes and the conjunctiva where the normal flora can confound the results.
Microbial culture can often times confirm the diagnosis.4 The susceptibility profile may not alter treatment, since frequent topical dosing can exceed the minimal inhibitory concentration of most pathogens, regardless of their “resistance” to individual antibiotics. Clinical progression should be our main guide. Another challenge with cultures is their limited yield. The sensitivity of using blood, chocolate, thioglycolate, and mannitol bacterial media is approximately 42% to 58%. Fungal culture with Sabouraud dextrose agar takes 2 to 10 days for results, with a sensitivity of 25% to 59%. Sensitivity is even more limited for Acanthamoeba at about 33% to 60%, in either buffered charcoal yeast extract or E. Coli overlay on non-nutrient agar.
The low sensitivity of cultures and prolonged incubation periods warrant adjunctive methods to quickly identify pathogens with staining methods. Gram stains can be used to visualize bacteria, fungi and Acanthamoeba. The sensitivity for identifying bacteria ranges from 36% to 75%. KOH wet mounts are 68% to 99% sensitive for fungal species, whereas it is higher at 84% to 91% for Acanthamoeba.5 Special stains to consider include acid fast for mycobacterium and Nocardia.
Polymerase chain reactions (PCR) and PCR-based assays have a sensitivity of 73% to 90%, with a specificity of 94.7% to 98% for both bacteria and fungi. PCR can also help to identify Acanthamoeba.
Confocal microscopy can aid in identifying atypical organisms and in assessing the depth of corneal involvement. Using this technology, Acanthamoeba appears as a hyper-reflective, spherical, and well-defined double-walled cyst.6 Fungal elements are identified by hyphae branching patterns. Bacteria are too small and obscured by a sea of inflammatory cells to be detectable. One exception is Nocardia.
Treatment
Treatment is targeted to the etiology to reduce ocular morbidity and visual impairment. Empiric therapy for bacterial ulcers involves frequent dosing of broad-spectrum antibiotics. Loading doses can be applied initially, followed by hourly dosing while awake, until clinical improvement. Then, the dose can decrease to q2h until re-epithelialization of the cornea, followed by further reduction to q.i.d. until resolution.
Fluoroquinolones, such as besifloxacin 0.6% (Besivance, Bausch + Lomb), moxifloxacin 0.5% (Moxeza, Novartis) and gatifloxacin 0.5% (Zymaxid, Allergan) can be used off-label as monotherapy. However, methicillin-resistant S. aureus and multi-drug-resistant strains, particularly with sight-threatening and severe ulcers, can benefit from more potent broad-spectrum coverage using a combination of fortified antibiotics, such as cephalosporins, glycopeptides, and/or an aminoglycoside.
The Steroids for Corneal Ulcer Trial (SCUT) addressed the benefit of limiting corneal melt and neovascularization versus the risk of potentiating the infection and further complications from delayed epithelial healing.7 The double-masked, randomized and placebo-controlled study shows clinically significant benefit in visual outcomes using steroids when: 1) used early, 2 to 3 days, after antibiotic pretreatment; 2) severe ulcers presented with acuity of counting fingers regardless of depth of involvement or thinning; and 3) there were invasive rather than cytotoxic strains of P. aeruginosa. The visual gains were 1 to 2 lines, 3 lines, and 2.5 lines, respectively.8-11
Evidence-based management of filamentous mycotic keratitis is derived from the mycotic ulcer treatment trial (MUTT I and II). Specifically, for smear-positive ulcers presenting in eyes that have vision between 20/40 and 20/400, topical natamycin 5% (Natacyn, Alcon) was found effective.12 For more severe mycotic ulcers presenting with 20/400 visual acuity or worse, the management of topical natamycin 5% (Natacyn, Alcon) was combined with voriconazole 1%.13 They demonstrated worse outcomes with oral voriconazole.
Treatment for Acanthamoeba keratitis requires clearance of both cystic and trophozoite forms of the parasite. Early amoebic keratitis is mainly intraepithelial, and debridement reduces the microbial burden while facilitating antibiotic penetration. First-line therapy is biguanides, chlorhexidine gluconate 0.02% to 0.2%, or polyhexamethylene biguanide (PHMB) 0.02% to 0.06%, with monotherapy a consideration for early cases. For chronic or later stages, dual therapy with propamidine isetionate 0.1% (Brolene, Sanofi-Aventis), or oral or topical voriconazole 1% may be needed to reduce resistance to therapy. Dosing is hourly for a continuous 48 hours, followed by hourly while awake for the next 72 hours, then q2h to q3h for 3 to 4 weeks. Dosing for the oral anti-fungal agent is 200 mg twice a day. Response to therapy may not be apparent for up to 2 weeks. For refractory cases lasting 3 to 4 months, miltefosine (Impavido, Profounda, Inc.) is an FDA-approved oral medication for Acanthamoeba keratitis dosed at 50 mg t.i.d. and continued until resolution of the keratitis.14
Concomitant severe inflammation can present as a sterile hypopyon, synechiae formation, and scleritis (most commonly inflammatory instead of infectious scleritis). Adjunctive use of oral NSAIDs, immunosuppressive drugs, and judicious use of steroids may be indicated. Case reports reveal some success with PTK and corneal cross-linking, but further studies are needed to demonstrate efficacy. The duration of treatment is prolonged from 3 to 12 months, and recurrences have been reported up to 3 months after treatment cessation. Acanthamoeba eradication is difficult to assess because it is indistinguishable by PCR, and dead and viable cysts are both visible on confocal microscopy. Therefore, repeat cultures, scrapings and biopsy may be needed. Of note: There are a minority of cases in which Acanthamoeba are polymicrobial with concomitant HSV or fungal keratitis, so clinical suspicion should remain high when assessing response to therapy.
HSV necrotizing stromal keratitis management requires antiviral therapy responsible for the epithelial breakdown. Dosing is similar to that for herpes zoster with oral acyclovir 800 mg 5x/day (Zovirax, GlaxoSmithKline), valacyclovir 1 g t.i.d. (Valtrex, GlaxoSmithKline), or famciclovir 500 mg (Famvir, Novartis) b.i.d. for 7 to 10 days. Necrosis requires judicious anti-inflammatory treatment, such as close monitoring on prednisolone acetate 1% (Pred Forte, Allergan) b.i.d. When ulceration resolves, Pred Forte can be slowly tapered, and antiviral use reduced to prophylactic dosing. Oral antiviral prophylaxis with 400 mg of Zovirax b.i.d., 500 mg of daily Valtrex, or 250 mg of Famvir b.i.d. is recommended as long as possible. Caution is advised because of potential nephrotoxicity, and renal dosing is used when antivirals are required.
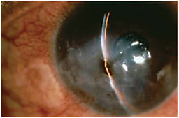
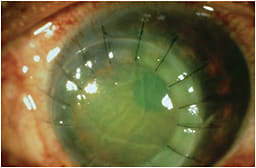
Close monitoring is required to assess response to empiric antibiotic use. Up to 94% of ulcers will resolve.5 If there is no clinical stability by 48 hours or improvement within 4 to 7 days, further evaluation is recommended. A lack of clinical stability could be medication non-compliance, incorrect empiric drug choice or frequency, or a polymicrobial infection. Repeat stain and culture can be performed while on the current regimen or after cessation of antibiotics for 12h to 24h. To obtain specimen that might be embedded deeper in the cornea, a braided (e.g., 7-0 or 8-0 vicryl or silk) suture can be passed through the abscess. A biopsy of the cornea may be needed to submit specimen for histology and microbiology. With this technique, a 2 mm to 3 mm diameter dermatic punch is used to construct a partial thickness trephination to extract a strip of affected corneal stroma.
Achieving Success
Infectious keratitis is an ophthalmic emergency that can progress to significant visual impairment from corneal melt and scarring. Even worse, endophthalmitis, perforation, and loss of intraocular contents can occur. For these severe cases, temporizing measures during this infectious and inflammatory phase are required to delay deep anterior lamellar keratoplasty, or optical PK should be performed to avoid graft failure. Adjunctive measures to secure the structure of the cornea may require cyanoacrylate sealant, amniotic membrane grafting, tectonic or therapeutic PK. With high suspicion, immediate introduction of treatment, judicious guidance from the microbiology laboratory, and excellent follow up and patient compliance to management, complications from microbial keratitis can be mitigated. CP
References
- Ung L, Bispo PJM, Shanbhag SS, Gilmore MS, Chodosh J. The persistent dilemma of microbial keratitis: Global burden, diagnosis, and antimicrobial resistance. Surv Ophthalmol. 2019;64(3):255-271.
- Khor W-B, Prajna VN, Garg P, et al. The Asia Cornea Society Infectious Keratitis Study: a prospective multicenter study of infectious keratitis In Asia. Am J Ophthalmol. 2018;195:161–170.
- Dalmon C, Porco TC, Lietman TM, et al. The clinical difference of bacterial and fungal keratitis: a photographic survey. Invest Ophthal Vis Sci. 2012;53(4):1787-1791.
- Lin A, Rhee MK, Akpek EK, et al; American Academy of Ophthalmology Preferred Practice Pattern Cornea and External Disease Panel. Bacterial keratitis preferred practice pattern. Ophthalmology. 2019;126(1): P1-P55.
- Moshirfar M, Hopping GC, Vaidyanathan U, et al. Biological staining and culturing in infectious keratitis: controversy in clinical utility. Med Hypothesis Discov Innov Ophthalmol. 2019;8(3):145-151.
- Hau SC, Dart JK, Vesaluoma M, et al. Diagnostic accuracy of microbial keratitis with in vivo scanning laser confocal microscopy. Br J Ophthalmol. 2010;94(8):982-987.
- Srinivasan M, Mascarenhas J, Rajaraman R, et al. The steroids for corneal ulcer trial study design and baseline characteristics. Arch Ophthmal. 2012;130(2):151-157.
- Ni N, Srinivasan M, McLeod SD, , Acharya NR, Lietman TM, Rose-Nussbaumer J. Use of adjunctive topical corticosteroids in bacterial keratitis. Curr Opin Ophthalmol. 2016;27(4):353-357.
- Srinivasan M, Mascarenhas J, Rajaraman R, et al. The steroids for corneal ulcers trial (SCUT): secondary 12-month clinical outcomes of a randomized controlled trial. Am J Ophthalmol. 2014;157:327-333.
- Borkar DS, Fleiszig SM, Leong C, et al. Association between cytotoxic and invasive Pseudomonas aeruginosa and clinical outcomes in bacterial keratitis. JAMA Ophthalmol. 2013;131(2):147-153.
- Ray KJ, Srinivasan M, Mascarenhas J, et al. Early addition of topical corticosteroids in the treatment of bacterial keratitis. JAMA Ophthalmol. 2014;132(6):737–741.
- Prajna NV, Krishnan T, Mascarenhas J, et al; Mycotic Ulcer Treatment Trial Group. The mycotic ulcer treatment trial: a randomized trial comparing natamycin vs voriconazole. JAMA Ophthalmol. 2013;131(4):422-429.
- Prajna NV, Krishnan T, Rajaraman R, et al; Mycotic Ulcer Treatment Trial II Group. Effect of oral voriconazole on fungal keratitis in the Mycotic Ulcer Treatment Trial II (MUTT II): a randomized clinical trial. JAMA Ophthalmol. 2016;134(12):1365-1372.
- Hirabayashi KE, Lin CC, Ta CN. Oral miltefosine for refractory Acanthamoeba keratitis. Am J Ophthalmol Case Rep. 2019;16:100555.15. Lorenzo-Morales J, Khan NA, Walochnik J: An update on Acanthamoeba keratitis: diagnosis, pathogenesis and treatment. Parasite. 2015; 22:10.







