For some patients with retinal disease, sometimes the best a physician can do is cause minimal harm (ie, damage) when the preference would be to cause, of course, no harm at all. Conventional thermal laser therapy is one method that can leave patients with permanent vision disturbances.
However, micropulse lasers offer an attractive alternative to the burning of tissue caused by conventional lasers. In this article, we’ll look at how micropulse lasers works for retinal issues, conditions where it is effective and some specific treatment methods.
ON/OFF PULSES
With a subthreshold laser, the physician reduces the laser’s power so that he or she can’t see the burn mark, according to Jose Agustin Martinez, MD, Austin Retina Associates in Texas and affiliate faculty member at the University of Texas at Austin Dell Medical School. Micropulse laser, he notes, uses the same concept, but, instead of a thermal laser that continuously shoots a laser beam in the eye for half a second without interruption, this next iteration of subthreshold laser “was actually shooting that laser in millisecond increments that would reduce even moreso the chances of this secondary thermal damage,” he says.
“Instead of a continuous thermal application, it’s broken up into tiny on/off pulses,” adds Edward Marcus, MD, SightMD, Brentwood, N.Y.
The result: the surgeon has virtually no chance of leaving a permanent scar in the retina. Thus, the surgeon, Dr. Martinez notes, can apply the laser more indiscriminately and closer to the fovea without fear of causing a permanent scotoma in the patient’s vision.
“That the same kind of end goal of focal laser could be achieved without creating scars in the retina appealed to me, and the fact that it seemed to be backed by research and evidence appealed to me even more,” says Dr. Marcus. He was able to “accomplish something without the side effects and consequences” that had accompanied conventional laser therapy for the past 30 or 40 years.
When Dr. Martinez treated patients with micropulse laser, it was notable that patients found the procedure more comfortable than it had been with the traditional, continuous thermal laser. Second, he notes, they didn’t get focal laser scars. A significant subset of his patients had results similar to conventional laser therapy, but with minimal downside.
More specifically, subthreshold laser, says Dr. Martinez, resulted in the “tickling” of retinal pigment epithelium and provoking the release of certain growth factors that are important for the functioning of the eye.
PATIENT PROFILE
Dr. Marcus uses his micropulse laser to treat patients with retinal vascular disease, encompassing diabetic macular edema (DME), edema from vein occlusions, central serous chorioretinopathy (CSCR) and choroidal vascular membranes in wet AMD.
“The most noticeable, profound and immediate effects are in CSCR,” he says. He sees fluid resolve noticeably within 4 to 6 weeks. “Also,” he adds, “I see pretty noticeable changes right away in DME.”
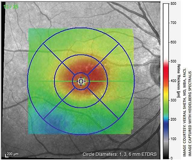
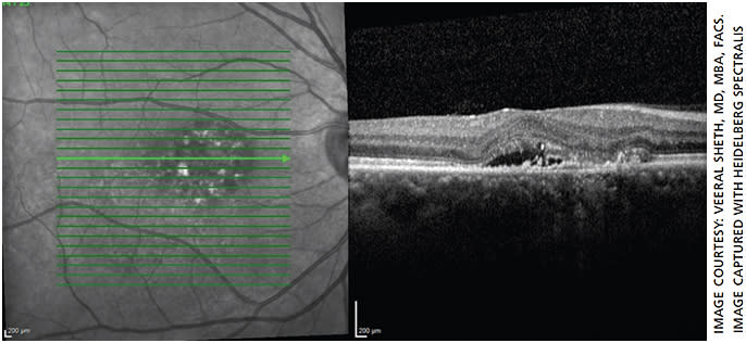
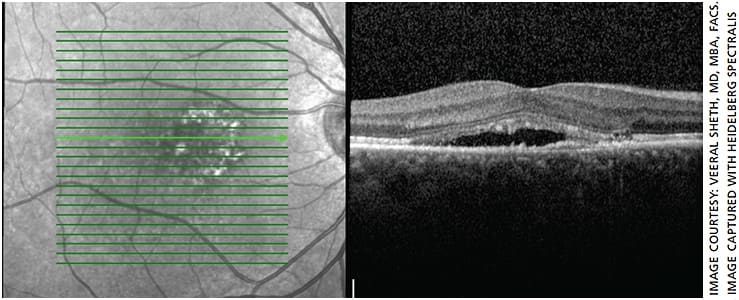
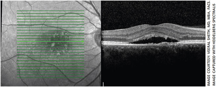
Similarly, Veeral Sheth, MD, MBA, FACS, partner & director of clinical trials, University Retina, with offices in the Chicago area, has used micropulse laser to treat patients with DME and CSCR (Figures 1-7). However, he notes, over the past decade he has used micropulse laser somewhat less for patients with DME and more for patients with CSCR. That’s because of the efficacy and safety profile of intravitreal injections for DME.
However, “for CSCR, there are really no other great alternatives other than photodynamic therapy (PDT) laser, and PDT laser is not easily available to all practices in all clinics,” says Dr. Sheth. “It is much easier to use micropulse laser for these central serous retinopathy cases than it is to use PDT in our practice.”
Meet your micropulse laser options
- Ellex 2RT
- Iridex IQ 532, IQ 577
- Lumenis Smart 532
- Quantel Easyret
“It’s a specific patient that this is a really great therapy for,” adds Dr. Sheth “There’s a patient selection process that matters with these therapies. I think experience matters, being patient with this therapy matters. Those are key things that drive success with this type of therapeutic approach.”
Irene Rusu, MD, Ophthalmology Associates of Bay Ridge, Brooklyn, N.Y., uses subthreshold laser on two sets of patients. First are patients “with mild central macular edema confirmed by imaging and with excellent vision who do not want to be exposed to the risks associated with intravitreal injections.” These patients have macular edema from diabetes and retinal vein occlusions or they have CSCR that does not resolve on its own.
The second set are patients with significant, chronic macular edema from diabetes or retinal vein occlusions that do not respond to other therapies. Dr. Rusu may have treated these patients with therapies such as anti-VEGF injections and steroid injections without success. In patients with recalcitrant edema and very advanced disease, she uses subthreshold laser therapy as an adjuvant therapy while also continuing monthly injections and even administering steroids.
As to when not to use micropulse therapy, “I don’t think it’s reasonable to use in diffuse wet macular degeneration, where there’s leakage all over the central macula not coming from a particular focal lesion,” says Dr. Marcus. “I think that it’s more reasonable to use when you have a more specific, noticeable choroidal net.”
Dr. Martinez says that micropulse laser is not beneficial for wet AMD, macroaneurysms, central retinal vein occlusions and center-involved DME. Anti-VEGF therapy, he notes, has largely replaced laser treatments in managing these diseases.
“It’s important to think of it as an adjuvant therapy rather than a therapy in itself most of the time,” says Dr. Marcus.
DUTY CYCLE
As to specific laser settings, a 5% duty cycle seems to be common. Dr. Martinez notes that he uses 400 mW on 5% duty cycle with confluent 100-μm burns. Dr. Marcus also uses a 5% duty cycle, as do Dr. Rusu and Dr. Sheth.
Dr. Martinez finds that he can administer micropulse therapy using a 90-D lens on a slit lamp instead of a contact lens. This, he notes, is easier for the physician and more comfortable for the patient.
NO FAST FEEDBACK
While the prevention of scarring is a significant advantage, the lack of immediate treatment feedback represents one downside in micropulse laser, according to these surgeons.
“Because there’s not any identifiable effect of doing the micropulse laser — in other words you don’t see a spot — there’s no way you know you did anything,” Dr. Marcus explains. “So, we don’t have a way to determine if we actually effected a change — we just assume that we do. We’ll see outcomes over time, but we have no way of clearly having that satisfaction at the end of the treatment that we’ve done it, because there’s no identifiable change at the end of treatment.”
“The only quantification you have is when they follow up and you do an OCT and you see that there’s been improvement,” says Dr. Sheth.
CONFLUENT TREATMENT
One key to success is administering confluent treatment, notes Dr. Sheth. In traditional laser, he points out, you’re burning tissue and thus need to keep the spots fairly separated. With micropulse laser, “you’re able to actually cover an area more confluently and therefore treat more densely without the concern of burning or damaging tissue.”
“This dense or confluent treatment I think is critical,” he adds. “I think it’s something that physicians, especially early on with their use, don’t do, because they’re fearful, because it’s not traditionally how we do focal laser. The problem is, then you run the risk of not having optimal results. If you do a little bit more of this confluent type of treatment, you’re going to get better results.”
AVOIDING LONG-TERM EFFECTS
“We have the ability to look at people who have had decades of traditional focal laser that have just nasty looking scars and scotomas, and knowing that kind of outcome is just not acceptable anymore or is just unnecessary,” says Dr. Marcus. Thanks to micropulse laser, retinal specialists now have an effective way to treat patients without causing such damage.
“I think that’s a way to convince some physicians to give this a try, because traditional focal laser is not without significant long-term side effects that we’d really like to avoid. This gives us hope that people can be treated for ocular disease repeatedly over long periods of time and not have these kinds of disastrous, permanent side effects.” OM







