OCT-A and retina
By Kareem Moussa, MD
Optical coherence tomography angiography (OCT-A) is an emerging, non-invasive imaging technique that generates angiographic images of the retina and choroid within seconds. First available commercially in 2014, OCT-A relies on motion contrast to produce an image of blood flow. The machine takes multiple sequential A-scans of the part of the retina and/or choroid of interest. Because the retina itself is static, differences in the light reflected back are due to movement of blood through choroidal and retinal vessels. A map representing blood flow is then generated.
Two types of OCT-A machines are commercially available: spectral domain (SD-OCT-A) and swept source (SS-OCT-A). These types differ in the light source used. SD-OCT-A utilizes near-infrared light (wavelength approximately 840 nm), whereas SS-OCT-A relies on a wavelength around 1050 nm. The increased wavelength of SS-OCT-A permits faster scanning, larger scan areas, improved penetration through the retinal pigment epithelium and better visualization of the choroid.1-3
COMPARISON TO CONVENTIONAL ANGIOGRAPHY
Conventional angiography in the retina clinic relies on fluorescein angiography (FA) and indocyanine green angiography (ICG), two commonly used imaging modalities to image the vascular structures in the retina and choroid. Generally, FA provides excellent visualization of the retinal vasculature, and ICG provides excellent visualization of the choroidal vasculature.
There are some key differences between FA/ICG and OCT-A. FA/ICG typically requires placement of an intravenous cannula, and possible side effects include nausea, vomiting, skin rash and, in extremely rare circumstances, anaphylaxis. OCT-A is non-invasive and can obtain images within seconds, whereas FA/ICG requires the use of a dye, most commonly through an intravenous injection, and the images are captured over approximately 10-15 minutes. Dye that leaks out of the vasculature may obscure the images captured on FA/ICG, which is not a concern with OCT-A. Images of the deep capillary plexus and vascular networks in the choroid are generally of higher definition than those obtained using FA/ICG.
There are certain drawbacks to OCT-A. As OCT-A relies on motion contrast to generate images, the patient must remain as still as possible to capture the highest quality images and reduce artifact. While absence of dye leakage may permit improved visualization of the vasculature, the presence of dye leakage is important to note as a diagnostic and prognostic feature in certain conditions, such as uveitis. Last, in its current form, OCT-A does not have the ability to generate ultra-widefield images that include the far periphery of the retina and choroid. Thus, areas of interest that exist outside of the areas that OCT-A can capture will not be imaged.
VISUALIZING ABNORMAL VASCULAR PATHOLOGY
Original research on OCT-A in retina has seen explosive growth since it became available in the last decade — a search on the NIH’s PubMed Central of the terms “optical coherence tomography angiography” and “retina” yields more than 1,400 results. OCT-A has provided useful diagnostic information for a plethora of diseases seen in the retina clinic.
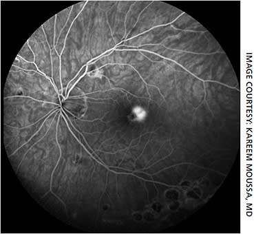
Pathology in the macula is most accessible to imaging by OCT-A. Take the example of a 39-year-old woman with multifocal choroiditis who presented with metamorphopsia in the left eye. SD-OCT showed disruption of the outer retinal structures and accumulation of abnormal material (Figure 2). Meanwhile, OCT-A revealed an abnormal network of vessels in the outer retina and choriocapillaris (Figure 4), consistent with neovascularization. OCT-A in this case localizes the neovascularization to the outer retina and choriocapillaris.
Multiple reports have described the imaging characteristics of CNV in AMD using OCT-A.4-6 In diabetic retinopathy, OCT-A can identify microaneurysms, an enlarged foveal avascular zone, neovascularization and capillary non-perfusion.7-10 In retinal artery occlusions, OCT-A shows decreased perfusion in retinal capillary plexuses, and in retinal vein occlusions OCT-A shows decreased perfusion as well as collaterals and enlargement in the foveal avascular zone.11,12
OCT-A’S UTILITY
There is considerable discussion in the retina community regarding the utility of OCT-A technology in modern retina practice and whether OCT-A can serve as a replacement for conventional dye-based angiography.
Dye-based angiography remains the gold standard for evaluating retinal pathology. In its current form, OCT-A is likely not an all-encompassing replacement for FA and ICG due to the limitations discussed above. However, over the coming years, it is likely that OCT-A will continue to improve, allowing greater visualization of the retina and choroid in more detail.
Rather than seeing OCT-A as a potential replacement for dye-based angiography, it is best to view OCT-A as an adjunct imaging modality that can provide additional information regarding the pathophysiology of diseases affecting the retina and choroid. For example, OCT-A provides higher definition images of the deeper layers in the retina than FA. This helps us better understand pathology that affects these layers such as acute macular neuroretinopathy, paracentral acute middle maculopathy and disorganization of the retinal inner layers in diabetic retinopathy.13-15 Recently, OCT-A has allowed us to identify nonexudative macular neovascularization (MNV), an asymptomatic finding that may play a protective role against geographic atrophy. Further, eyes with nonexudative MNV may be at higher risk of converting to exudative AMD. An awareness of these findings may influence how the retina specialist chooses to monitor a patient at risk for conversion to exudative AMD.16 Our knowledge of disease processes has evolved considerably in recent years and will continue to evolve as OCT-A is more widely adopted and as the technology improves.
CONCLUSION
OCT-A is an exciting technology, and many studies have demonstrated how it enhances our understanding of the pathophysiology of many diseases affecting the retina and choroid. Compared to conventional angiography, it is fast and non-invasive, which may help improve clinic flow and enhance patient safety. While it is not a replacement for conventional angiography in its current form, we will likely see expanding indications for its use in the coming years as the technology improves and as it becomes more widely adopted in modern retina practices. OM
REFERENCES
- Miller AR, Roisman L, Zhang Q, et al. Comparison Between Spectral-Domain and Swept-Source Optical Coherence Tomography Angiographic Imaging of Choroidal Neovascularization. Invest Ophthalmol Vis Sci. 2017;58(3):1499-1505.
- Lane M, Moult EM, Novais EA, et al. Visualizing the Choriocapillaris Under Drusen: Comparing 1050-nm Swept-Source Versus 840-nm Spectral-Domain Optical Coherence Tomography Angiography. Invest Ophthalmol Vis Sci. 2016;57(9):OCT585-OCT590.
- Novais EA, Adhi M, Moult EM, et al. Choroidal Neovascularization Analyzed on Ultrahigh-Speed Swept-Source Optical Coherence Tomography Angiography Compared to Spectral-Domain Optical Coherence Tomography Angiography. Am J Ophthalmol. 2016;164:80-88.
- Jia Y, Bailey ST, Wilson DJ, et al. Quantitative optical coherence tomography angiography of choroidal neovascularization in age-related macular degeneration. Ophthalmology. 2014;121(7):1435-1444.
- Moult E, Choi W, Waheed NK, et al. Ultrahigh-speed swept-source OCT angiography in exudative AMD. Ophthalmic Surg Lasers Imaging Retina. 2014;45(6):496-505.
- de Carlo TE, Bonini Filho MA, Chin AT, et al. Spectral-domain optical coherence tomography angiography of choroidal neovascularization. Ophthalmology. 2015;122(6):1228-1238.
- Zhang Q, Rezaei KA, Saraf SS, Chu Z, Wang F, Wang RK. Ultra-wide optical coherence tomography angiography in diabetic retinopathy. Quant Imaging Med Surg. 2018;8(8):743-753.
- Motulsky EH, Liu G, Shi Y, et al. Widefield Swept-Source Optical Coherence Tomography Angiography of Proliferative Diabetic Retinopathy. Ophthalmic Surg Lasers Imaging Retina. 2019;50(8):474–84.
- Laíns I, Wang JC, Cui Y, et al. Retinal applications of swept source optical coherence tomography (OCT) and optical coherence tomography angiography (OCTA) [published online ahead of print, 2021 Jan 28]. Prog Retin Eye Res. 2021;100951.
- Hirano T, Kakihara S, Toriyama Y, Nittala MG, Murata T, Sadda S. Wide-field en face swept-source optical coherence tomography angiography using extended field imaging in diabetic retinopathy. Br J Ophthalmol. 2018;102(9):1199-1203.
- Bonini Filho MA, Adhi M, de Carlo TE, et al. OPTICAL COHERENCE TOMOGRAPHY ANGIOGRAPHY IN RETINAL ARTERY OCCLUSION. Retina. 2015;35(11):2339-2346.
- Adhi M, Filho MA, Louzada RN, et al. Retinal Capillary Network and Foveal Avascular Zone in Eyes with Vein Occlusion and Fellow Eyes Analyzed With Optical Coherence Tomography Angiography. Invest Ophthalmol Vis Sci. 2016;57(9):OCT486-OCT494.
- Scarinci F, Nesper PL, Fawzi AA. Deep Retinal Capillary Nonperfusion Is Associated With Photoreceptor Disruption in Diabetic Macular Ischemia. Am J Ophthalmol. 2016;168:129-138.
- Onishi AC, Ashraf M, Soetikno BT, Fawzi AA. MULTILEVEL ISCHEMIA IN DISORGANIZATION OF THE RETINAL INNER LAYERS ON PROJECTION-RESOLVED OPTICAL COHERENCE TOMOGRAPHY ANGIOGRAPHY. Retina. 2019;39(8):1588-1594.
- Chu S, Nesper PL, Soetikno BT, Bakri SJ, Fawzi AA. Projection-Resolved OCT Angiography of Microvascular Changes in Paracentral Acute Middle Maculopathy and Acute Macular Neuroretinopathy. Invest Ophthalmol Vis Sci. 2018;59(7):2913-2922.
- Laiginhas R, Yang J, Rosenfeld PJ, Falcão M. Nonexudative Macular Neovascularization - A Systematic Review of Prevalence, Natural History, and Recent Insights from OCT Angiography. Ophthalmol Retina. 2020;4(7):651-661.
About the Author
OCT-A and glaucoma
By Nevin W. El-Nimri, OD, PhD, Sasan Moghimi, MD, and Robert N. Weinreb, MD
Glaucoma is a multifactorial optic neuropathy1 characterized by retinal ganglion cell loss and damage to the optic nerve head (ONH).2 Although the pathophysiology of glaucoma remains unclear, it is hypothesized that vascular factors have a critical role in its pathogenesis.3-5
Optical coherence tomography angiography (OCT-A) is a non-invasive imaging modality that enables retinal microvasculature visualization using the dynamic motion of red blood cells.6-9 OCT-A has been used to assess vessel density (VD) measurements specified as the area (%) occupied by blood flowing vessels. Several studies illustrated that retinal VD loss is associated with glaucoma development and progression.9-13 Furthermore, OCT-A was demonstrated to have good intra-visit repeatability and inter-visit reproducibility and can distinguish between glaucomatous and healthy eyes.14-17 Thus, OCT-A has the potential to provide new information about the pathophysiology of glaucoma. As a result, OCT-A may supplement clinicians’ skills and help their decisions in diagnosing, monitoring and treating glaucoma.
APPLICATIONS FOR GLAUCOMA
In glaucoma, VD in the ONH, peripapillary retinal nerve fiber layer (RNFL) and macula are reduced (Figure 5). VD is significantly correlated with visual field (VF) damage severity defined by VF mean deviation.18,19 In general, VD has similar diagnostic performance and is strongly correlated with OCT-measured RNFL thickness.20,21 Further, OCT-A can identify dropout of the retinal microvasculature in some eyes that do not yet have detectable VF loss.22,23
OCT-A can be helpful in detecting early stages of glaucoma. In early OCT-A studies, peripapillary and macular VD in glaucoma patients with a single hemifield was reduced in the intact hemiretinae of these eyes.23 Likewise, VD loss in eyes with unilateral glaucoma was detected prior to VF damage in the unaffected eyes.22 Although ganglion cell complex (GCC) loss might be on average greater than macular VD loss in early glaucoma, one-third of the eyes had greater VD loss.24
Similarly, in longitudinal studies some glaucoma eyes showed a significant decrease in VD over time without any decrease in GCC thickness.25 For instance, Hou et al evaluated OCT-A measured macular VD and OCT measured GCC thickness longitudinally.26 In this study, they showed significant macular VD loss and GCC thinning in healthy, pre-perimetric glaucoma as well as glaucoma eyes. However, more than 60% of glaucoma eyes showed a faster rate of macular VD loss than GCC thinning, which was associated with the severity of the disease. In this study, IOP significantly affected GCC thinning rate but had no association with the rate of macular VD loss.
OCT-A VD measurement is particularly useful in monitoring the progression of moderate and advanced disease, because it lacks a detectable measurement floor when compared to OCT structural measurements. With OCT measurements, structural change is detectable to a certain extent; it reaches a floor value in moderate glaucoma that no longer decreases in advanced glaucoma. This may partially explain why OCT-A VD measures correlate better to VF parameters than RNFL and GCC thickness parameters measured by OCT.9,18 This also implies that OCT-A is capable of detecting change that is not detectable with OCT in moderate and late-stage glaucoma. However, OCT-A has less steps within the dynamic range than with OCT.27 This limitation is particularly important, because more steps can detect a significant glaucomatous change before reaching the measurement floor.28-30
Assessment of ONH and macular VD using OCT-A adds significant information to the evaluation of the risk of glaucoma progression and prediction of rates of disease worsening. In a prospective study, lower baseline macula and ONH VD was associated with the rate of RNFL thinning.24 Similarly, deep microvascular drop-out — defined as sectorial loss of choriocapillaris around the ONH — was associated with VF progression.31 Therefore, OCT-A measured macular VD might be useful not only in early diagnosis but also in prediction of risk of glaucoma progression and monitoring of the disease, especially in severe glaucoma.
BENEFITS AND LIMITATIONS
A great advantage of OCT-A is the ease of performing a noninvasive and dye-free assessment of the ONH and macula microvasculature to screen for glaucoma patients and follow their progression.32 OCT-A can also provide a supplementary information to OCT devices. Besides assessing the VD, OCT-A can be helpful in identifying focal RNFL microvasculature defects that can support the diagnosis of glaucoma, which may not be necessarily evident on OCT or during a clinical examination. Further, high quality OCT scans can be obtained from OCT-A scans. Thus, using the same piece of equipment, RNFL thickness and perfusion measurements can be provided.
The main limitation of OCT-A is the presence of artifacts, such as motion (10.6%), defocus (9.6%), segmentation error (7.6%), shadow (5.4%) and decentration (4.1%) in up to one-fourth of images.33 These artifacts are more present in OCT-A than OCT images.34 Therefore, elder people with mobility issues and patients with media opacities, such as corneal opacity, dense cataracts or central floaters, may be more challenging to image with OCT-A.
CONCLUSION
OCT-A is a rapidly evolving, non-invasive imaging technology that detects microvascular changes in glaucoma. It has the potential for improving early diagnosis, identifying and predicting progression and evaluating late-stages of the disease. Moreover, improving the OCT-A analytical software and building a normative database will continuously enhance the efficiency of imaging time, accuracy of available data and quality of captured scans. OM
REFERENCES
- Halpern DL, Grosskreutz CL. Glaucomatous optic neuropathy: mechanisms of disease. Ophthalmol Clin North Am. 2002;15(1):61-68.
- Weinreb RN, Aung T, Medeiros FA. The pathophysiology and treatment of glaucoma: a review. JAMA. 2014;311(18):1901-1911.
- Flammer J, Orgül S, Costa VP, et al. The impact of ocular blood flow in glaucoma. Prog Retin Eye Res. 2002;21(4):359-393.
- Weinreb RN. Ocular blood flow in glaucoma. Can J Ophthalmol. 2008;43(3):281-283.
- Schmidl D, Garhofer G, Schmetterer L. The complex interaction between ocular perfusion pressure and ocular blood flow – Relevance for glaucoma. Exp Eye Res. 2011;93(2):141-155.
- Shahlaee A, Samara WA, Hsu J, et al. In vivo assessment of macular vascular density in healthy human eyes using optical coherence tomography angiography. Am J Ophthalmol. 2016;165:39-46.
- You Q, Freeman WR, Weinreb RN, et al. Reproducibility of vessel density measurement with optical coherence tomography angiography in eyes with and without retinopathy. Retina. 2017;37(8):1475-1482.
- Venugopal JP, Rao HL, Weinreb RN, et al. Repeatability of vessel density measurements of optical coherence tomography angiography in normal and glaucoma eyes. Br J Ophthalmol. 2018;102(3):352-357.
- Liu L, Jia Y, Takusagawa HL, et al. Optical coherence tomography angiography of the peripapillary retina in glaucoma. JAMA Ophthalmol. 2015;133(9):1045.
- Lee EJ, Lee KM, Lee SH, Kim TW. Oct angiography of the peripapillary retina in primary open-angle glaucoma. Investig Ophthalmol Vis Sci. 2016, 57(14):6265-6270.
- Geyman LS, Garg RA, Suwan Y, et al. Peripapillary perfused capillary density in primary open - Angle glaucoma across disease stage: An optical coherence tomography angiography study. Br J Ophthalmol. 2017;101(9):1261-1268.
- Yarmohammadi A, Zangwill LM, Diniz-Filho A, et al. Optical Coherence tomography angiography vessel density in healthy, glaucoma suspect, and glaucoma eyes. Investig Opthalmology Vis Sci. 2016;57(9):OCT451.
- Rao HL, Kadambi SV, Weinreb RN, et al. Diagnostic ability of peripapillary vessel density measurements of optical coherence tomography angiography in primary open-angle and angle-closure glaucoma. Br J Ophthalmol. 2017;101(8):1066-1070.
- Venugopal JP, Rao HL, Weinreb RN, et al. Repeatability of vessel density measurements of optical coherence tomography angiography in normal and glaucoma eyes. Br J Ophthalmol. 2018;102(3):352-357.
- Manalastas PIC, Zangwill LM, Saunders LJ, et al. Reproducibility of optical coherence tomography angiography macular and optic nerve head vascular density in glaucoma and healthy eyes. J Glaucoma. 2017;26(10):851-859.
- Holló G. Intrasession and Between-Visit Variability of Sector Peripapillary Angioflow Vessel Density Values Measured with the Angiovue Optical Coherence Tomograph in Different Retinal Layers in Ocular Hypertension and Glaucoma. PLoS One. 2016;11(8):e0161631.
- Lei J, Pei C, Wen C, Abdelfattah NS. Repeatability and reproducibility of quantification of superficial peri-papillary capillaries by four different optical coherence tomography angiography devices. Sci Rep. 2018;8(1):17866.
- Yarmohammadi A, Zangwill LM, Diniz-Filho A, et al. Relationship between optical coherence tomography angiography vessel density and severity of visual field loss in glaucoma. Ophthalmology. 2016;123(12):2498-2508.
- Wang X, Jiang C, Ko T, et al. Correlation between optic disc perfusion and glaucomatous severity in patients with open-angle glaucoma: an optical coherence tomography angiography study. Graefe’s Arch Clin Exp Ophthalmol. 2015;253(9):1557-1564.
- Yarmohammadi A, Zangwill LM, Diniz-Filho A, et al. Optical coherence tomography angiography vessel density in healthy, glaucoma suspect, and glaucoma eyes. Investig Opthalmology Vis Sci. 2016;57(9):OCT451.
- Mammo Z, Heisler M, Balaratnasingam C, et al. Quantitative optical coherence tomography angiography of radial peripapillary capillaries in glaucoma, glaucoma suspect, and normal eyes. Am J Ophthalmol. 2016;170:41-49.
- Yarmohammadi A, Zangwill LM, Manalastas PIC, et al. Peripapillary and macular vessel density in patients with primary open-angle glaucoma and unilateral visual field loss. Ophthalmology. 2018;125(4):578-587.
- Yarmohammadi A, Zangwill LM, Diniz-Filho A, et al. Peripapillary and macular vessel density in patients with glaucoma and single-hemifield visual field defect. Ophthalmology. 2017;124(5):709-719.
- Moghimi S, Zangwill LM, Penteado RC, et al. Macular and optic nerve head vessel density and progressive retinal nerve fiber layer loss in glaucoma. Ophthalmology. 2018;125(11):1720-1728.
- Shoji T, Zangwill LM, Akagi T, et al. Progressive macula vessel density loss in primary open-angle glaucoma: a longitudinal study. Am J Ophthalmol. 2017;182:107-117.
- Hou H, Moghimi S, Proudfoot JA, et al. Ganglion cell complex thickness and macular vessel density loss in primary open-angle glaucoma. Ophthalmology. 2020;127(8):1043-1052.
- Moghimi S, Bowd C, Zangwill LM, et al. Measurement Floors and Dynamic Ranges of OCT and OCT Angiography in Glaucoma. Ophthalmology. 2019;126(7):980-988.
- Mwanza JC, Kim HY, Budenz DL, et al. Residual and dynamic range of retinal nerve fiber layer thickness in glaucoma: Comparison of three OCT platforms. Investig Ophthalmol Vis Sci. 201556(11):6344-6351.
- Bowd C, Zangwill LM, Weinreb RN, Medeiros FA, Belghith A. Estimating optical coherence tomography structural measurement floors to improve detection of progression in advanced glaucoma. Am J Ophthalmol. 2017;175:37-44.
- Miki A, Endo T, Morimoto T, Matsushita K, Fujikado T, Nishida K. Retinal nerve fiber layer and ganglion cell complex thicknesses measured with spectral-domain optical coherence tomography in eyes with no light perception due to nonglaucomatous optic neuropathy. Jpn J Ophthalmol. 2015;59(4):230-235.
- Kwon JM, Weinreb RN, Zangwill LM, Suh MH. Parapapillary deep-layer microvasculature dropout and visual field progression in glaucoma. Am J Ophthalmol. 2019;200:65-75.
- Spaide RF, Klancnik JM, Cooney MJ. Retinal vascular layers imaged by fluorescein angiography and optical coherence tomography angiography. JAMA Ophthalmol. 2015;133(1):45.
- Kamalipour A, Moghimi S, Hou H, et al. OCT Angiography Artifacts in Glaucoma. Ophthalmology. 2021;S0161-6420(21)00241-4.
- Moghimi S, Hou H, Rao H, Weinreb RN. Optical Coherence Tomography Angiography and Glaucoma: A Brief Review. Asia Pac J Ophthalmol (Phila). 2019;10.22608/APO.201914.







