Case Presentation
A 77-year-old male patient initially presented to his general ophthalmologist with a complaint of decreased vision in the right eye for approximately 2 weeks. He was subsequently referred with the diagnosis of multilobulated choroidal detachment with dark pigmentation temporally. Upon clinical examination and optical coherence tomography (OCT), findings were consistent with choroidal infiltration around the optic nerve and an amelanotic lesion was observed in the macula extending into the nasal periphery. Ultrasound showed diffuse choroidal thickening with a lumpy-bumpy profile and no vascularity.
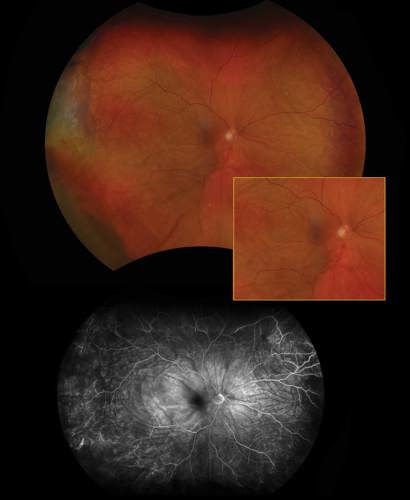
Image Findings
Given the location of the lesion, ultra-widefield (UWF™) imaging (Optos) was conducted to capture the full extent of the pathology. The true color, optomap® RGB retinal image generated by our California device (Optos) supported a high-resolution visualization of the macular amelanotic lesion, choroidal folds, and diffuse thickening extending into the far temporal periphery. UWF fluorescein angiography (optomap FA) further captures the significance of the choroidal folds and showed increased hyperfluorescence. Late leakage from the optic nerve was also observed on optomap FA.
The patient had an extensive oncological history including history of a melanoma removed from the chest 7 to 8 years previously, a squamous cell removed from the forehead 5 to 6 years previously, and a basal cell removed from the leg 1 month prior to initial presentation. The patient was referred for computed tomography (CT) of the head, chest, and abdomen as well as magnetic resonance imaging (MRI) of the brain and orbits. CT scan showed a right hepatic lobe liver lesion. MRI of the liver was then performed which was consistent with flash-filling hemangioma. MRI of the brain and orbits showed thickening of the uveal structures of the right globe with no extraocular extension.
A choroidal biopsy was performed to test for lymphoma, and the patient currently awaits results with a suspected ocular diagnosis of diffuse large B-cell lymphoma.
----------------
Submit your interesting UWF optomap cases here:
https://optos.is/StoriesInOphthalmology
----------------
This content is sponsored by 







